徐庆福

徐庆福  主治医师

+ 关注

第一执业上海交通大学医学院附属新华医院

已开通
评分 :8.1 预约量 :0 粉丝量 :3
扫码进入医生网络诊室

医生排班

执业点
  • 11/23
    周日
  • 11/24
    周一
  • 11/25
    周二
  • 11/26
    周三
  • 11/27
    周四
  • 11/28
    周五
  • 11/29
    周六
  • 医生擅长
  • 医生简介
  • 医生动态
疾病
颅缝早闭 脑积水 小脑扁桃体下疝畸形 脊髓栓系综合征 烟雾病 蛛网膜囊肿 神经源性膀胱 髓母细胞瘤 室管膜瘤
项目
脑损伤 脑室腹腔分流术 颅骨修补术 微创颅内血肿清除术

神经外科医学博士、博士后,美国约翰霍普金斯大学医学院联合培养。从事神经外科基础与临床工作。目前主持国家自然基金1项,主持中国博士后面上项目1项。

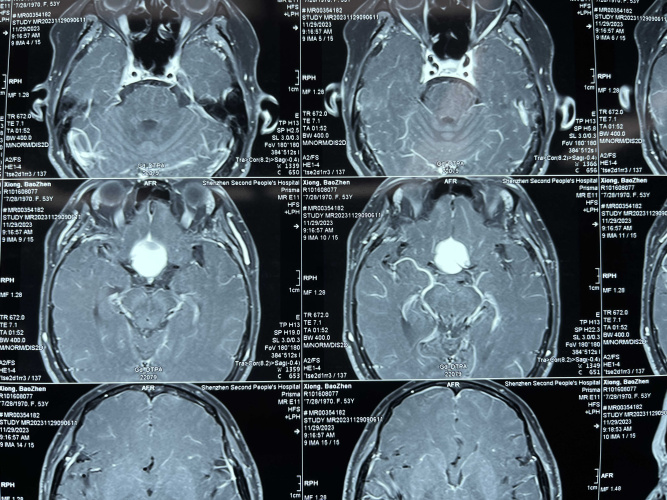
53y,Female,TS meningioma 展开>
2023-12-04 14:31:34
更多医生动态请下载健康160APP

扫码关注,咨询客服