邓建清

邓建清  主治医师

+ 关注

第一执业中山大学附属第八医院(深圳福田)

已开通
评分 :9.9 预约量 :7730 粉丝量 :4483
扫码进入医生网络诊室

医生排班

执业点
  • 12/28
    周日
  • 12/29
    周一
  • 12/30
    周二
  • 12/31
    周三
  • 01/01
    周四
  • 01/02
    周五
  • 01/03
    周六
  • 医生擅长
  • 医生简介
  • 医生动态
疾病
牙列不齐 错颌畸形 下颌后缩 地包天 牙列缺损 多生牙 前牙反合牙 错合畸形 阻生牙
项目
下颚前突/地包天 矫正方案设计 颌面正畸 成瘾矫正 儿童正畸 隐形矫正 自锁托槽矫正

擅长儿童错合畸形预防性矫治,青少年及成人固定矫正、无托槽隐形矫正。

主治医师,口腔临床医学硕士,毕业于中山大学。
擅长各种类型错合畸形的诊断及治疗,如牙齿不齐、地包天、龅牙畸形、阻生牙等,擅长儿童错合畸形预防性矫治,青少年及成人固定矫治、无托槽隐形矫治,在直丝弓矫治及自锁托槽矫治技术等方面有丰富的临床经验。隐适美、时代天使、正雅等系统隐形矫治认证医生,Insignia数字化正畸矫治认证医生。
国际正畸联盟(World Federation of Orthodontists)会员,中华口腔医学会会员,中华口腔正畸协会会员,深圳医师协会会员,深圳女医师协会口腔专委会青年委员。已于核心期刊发表论文多篇,参与国家、省级课题项目多个。

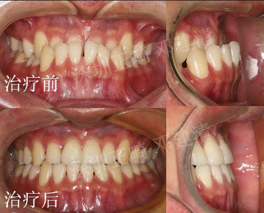
骨性地包天掩饰矫正 展开>
2025-12-05 13:06:53
更多医生动态请下载健康160APP

扫码关注,咨询客服