氩氦刀冷冻消融治疗肺癌案例分享

吴宇旋医生 发布于2024-04-07 11:44 阅读量132

本文由吴宇旋原创

患者男性八十岁,发现右肺肿瘤行氩氦刀冷冻消融治疗同时肺活检,病理提示鳞癌,半月后复查,提示肿瘤基本坏死。七个月后复查,发现肿瘤进展,患者拒绝再次消融或者粒子植入治疗,建议靶向治疗。

该图片可能引起不适

继续查看

1546843606.png

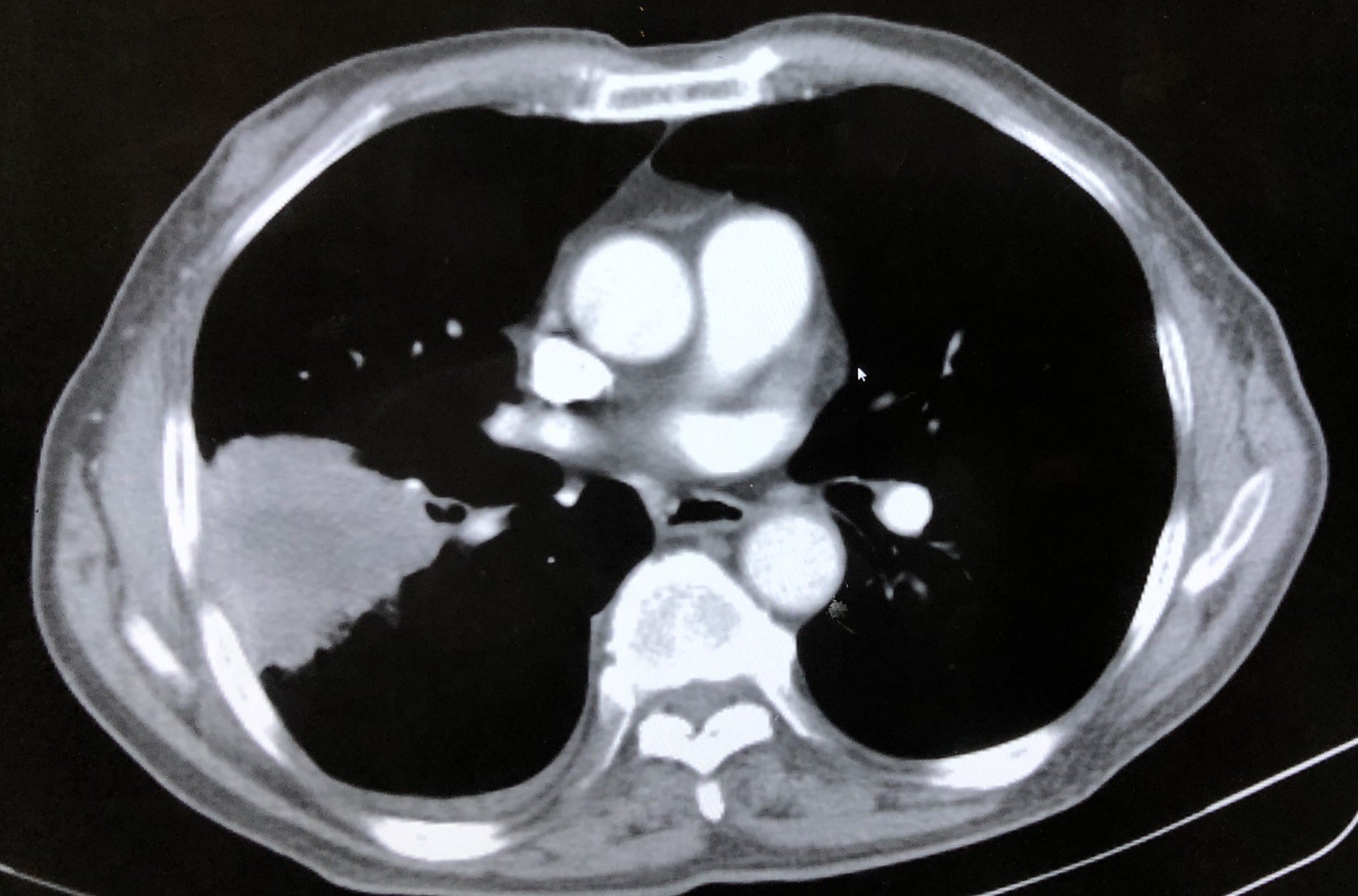
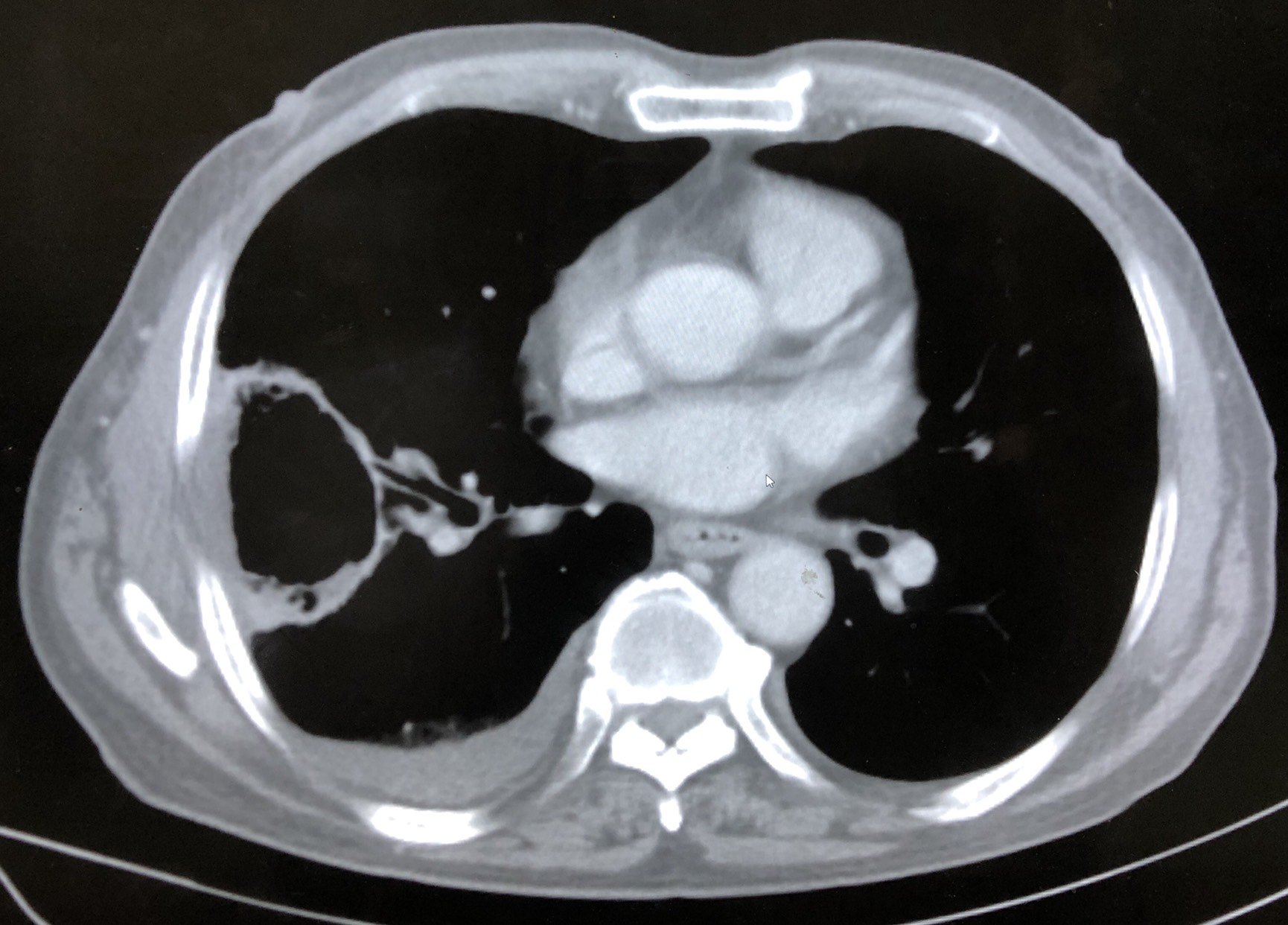
图1 右肺占位

该图片可能引起不适

继续查看

1546843610.png

图2 氩氦刀冷冻消融治疗同时肺活检术,见冰球基本覆盖肿瘤。

该图片可能引起不适

继续查看

1546843614.png

图3半月后复查,肿瘤基本坏死,呈空洞改变。

该图片可能引起不适

继续查看

1546843617.png

图4

该图片可能引起不适

继续查看

1546843620.png

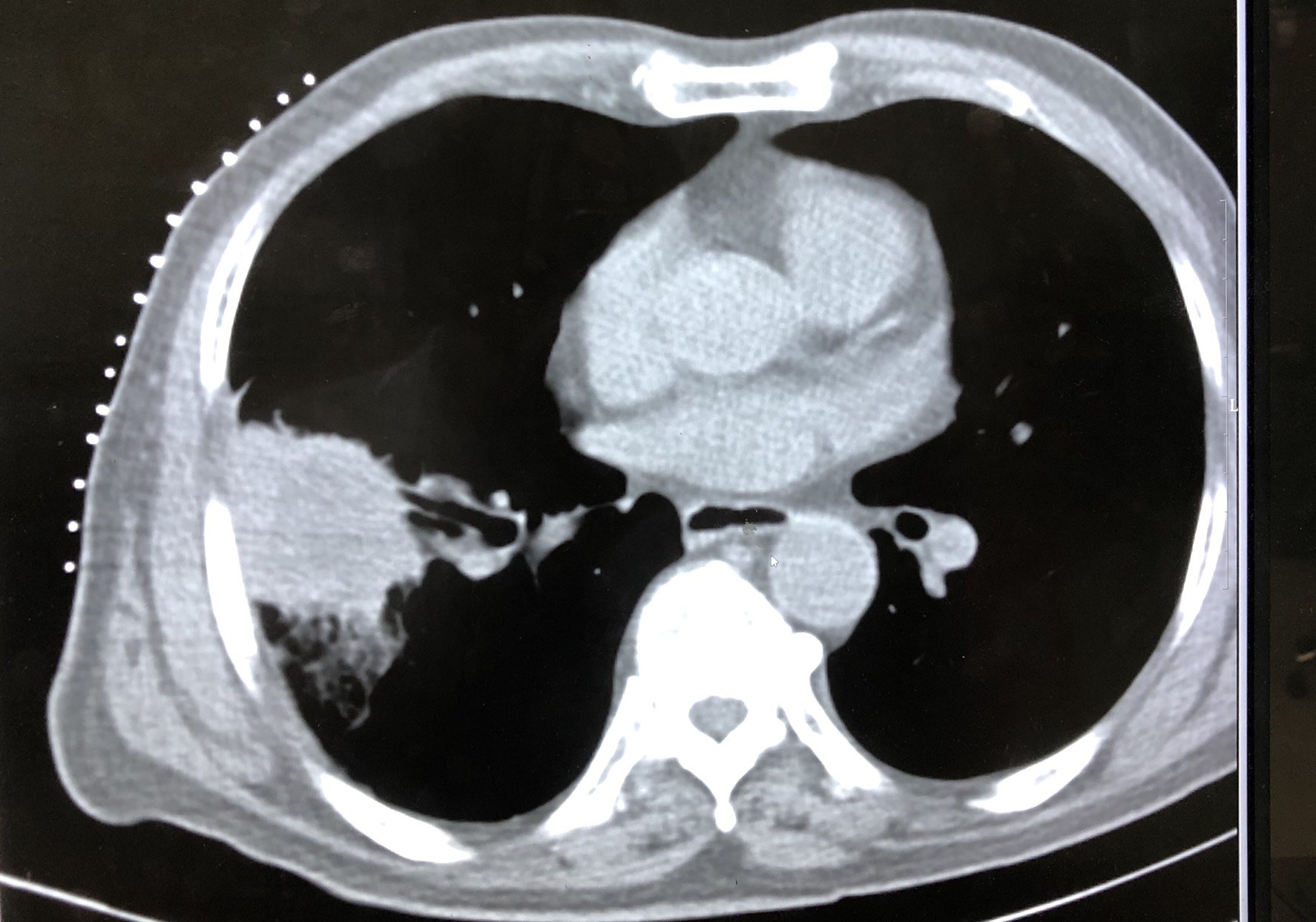
图5氩氦刀后七个月,肿瘤进展。

点评:肺肿瘤的消融治疗做到有效不难,但是要达到局部根治的目的却不容易。肺肿瘤的治疗和肝癌的消融治疗比较更加需要强调和化疗靶向治疗及免疫治疗等多种技术的配合才能获得更加好的效果。


相关疾病: