腺泡状软组织肉瘤肺转移的栓塞治疗4案例分享

吴宇旋医生 发布于2024-03-20 15:54 阅读量129

本文由吴宇旋原创

患者腺泡状软组织肉瘤术后肺转移,行支气管动脉栓塞治疗后肿瘤血供基本消失。

该图片可能引起不适

继续查看

1545873839.png

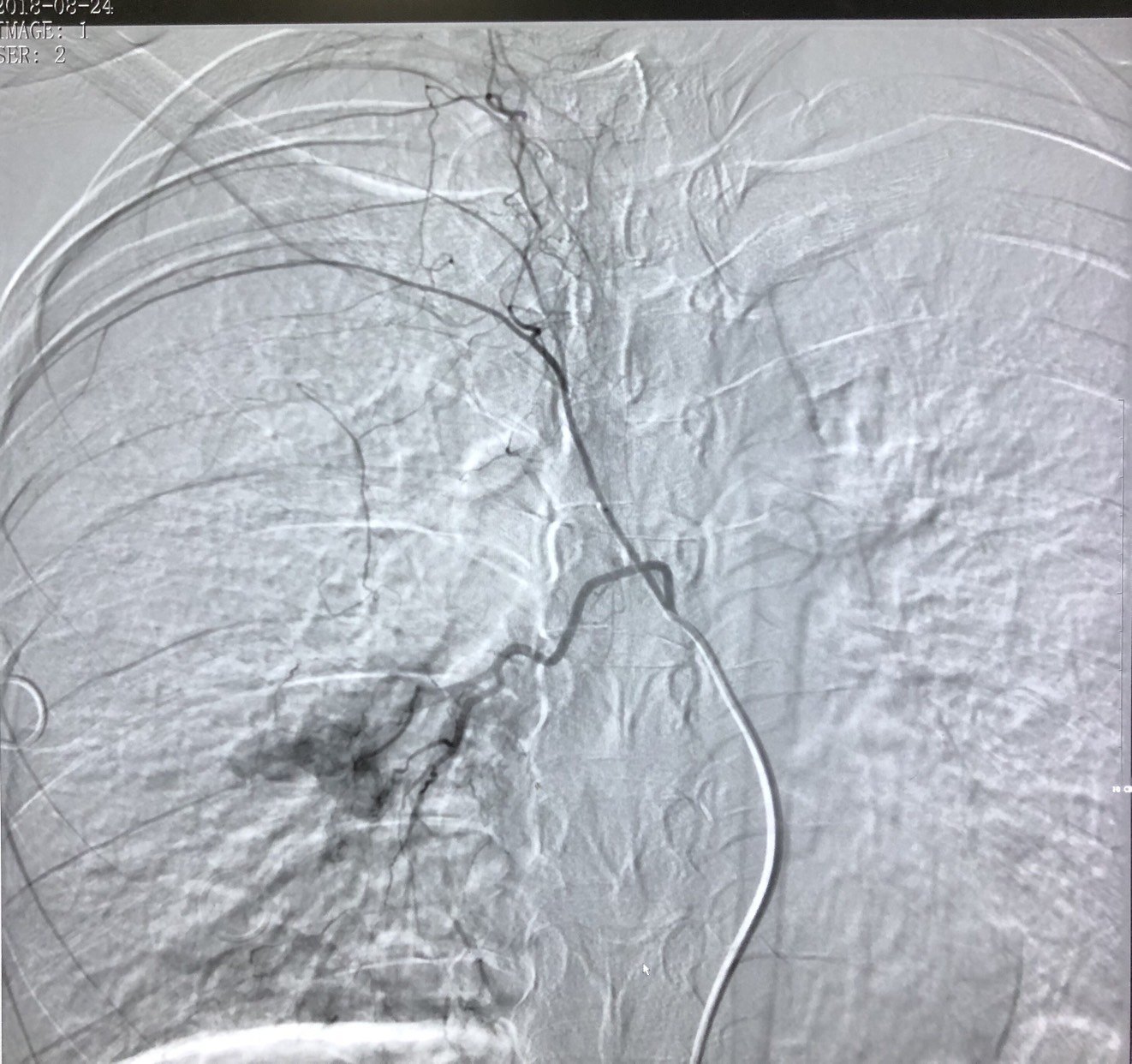
右侧支气管动脉造影见右侧肺门肿瘤染色明显。

该图片可能引起不适

继续查看

1545873840.png

微球栓塞治疗后再次造影右肺肿瘤染色基本消失。

电点评:部分血供丰富的肺转移瘤行经支气管动脉栓塞治疗可减少肿瘤血供,控制肿瘤生长,也可提高后续消融治疗的疗效和安全性,值得大家关注和更多案例的积累。


相关疾病: