肺小结节微波消融案例分享

吴宇旋医生 发布于2024-03-20 15:54 阅读量115

本文由吴宇旋原创

1.患者肝癌术后,出现右肺结节,考虑肝癌肺转移,行微波消融灭活肺部病灶。

该图片可能引起不适

继续查看

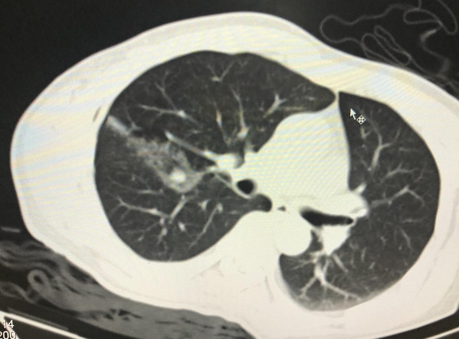
右肺结节直径约1厘米

该图片可能引起不适

继续查看

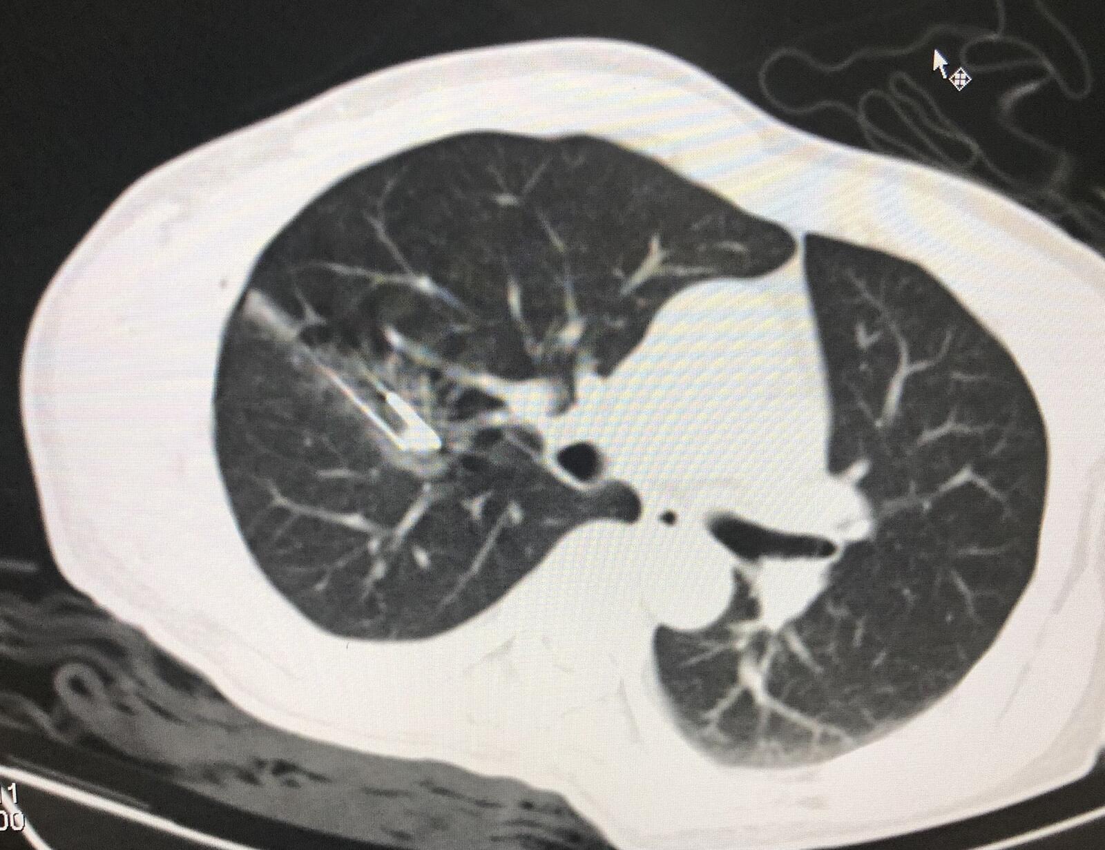
先22g细针穿刺病灶,然后在细针参照下穿刺微波消融针并就行消融治疗。

该图片可能引起不适

继续查看

消融结束拔针后扫描提示消融范围完全覆盖病灶,提示病灶完全灭活。

2.患者女性31岁,腺泡状软组织肉瘤术后肺转移,行微波消融治疗。

该图片可能引起不适

继续查看

右肺转移瘤直径约1.3厘米,患者侧卧位。

该图片可能引起不适

继续查看

见微波消融针穿刺病灶并就行消融治疗。

该图片可能引起不适

继续查看

消融结束未见明显气胸,消融治疗覆盖病灶。



点评:肺结节微波消融微创高效,但是要做到完全灭活肿瘤其实有时候并不容易,为了确保肿瘤完全灭活,有时候即使小结节也需要多点消融,才能保证消融范围完全覆盖病灶从而避免肿瘤残余,如果使用氩氦刀冷冻消融则手术把握性更加大,但是手术费用会有所提高。

相关疾病: