肝脾联合消融治疗肝癌并脾亢案例分享

吴宇旋医生 发布于2024-03-20 15:54 阅读量277

本文由吴宇旋原创

患者男性53岁,多年乙肝肝硬化门脉高压脾功能亢进病史,2018年发现右肝小肝癌。血小板35*10^9/L,行经肝动脉化疗栓塞术加脾动脉主干栓塞术,后续序贯肝癌微波消融及脾消融,随诊一年余肝癌完全灭活,无复发,脾亢基本纠正,血小板85*10^9/L。

该图片可能引起不适

继续查看

1584695702.png

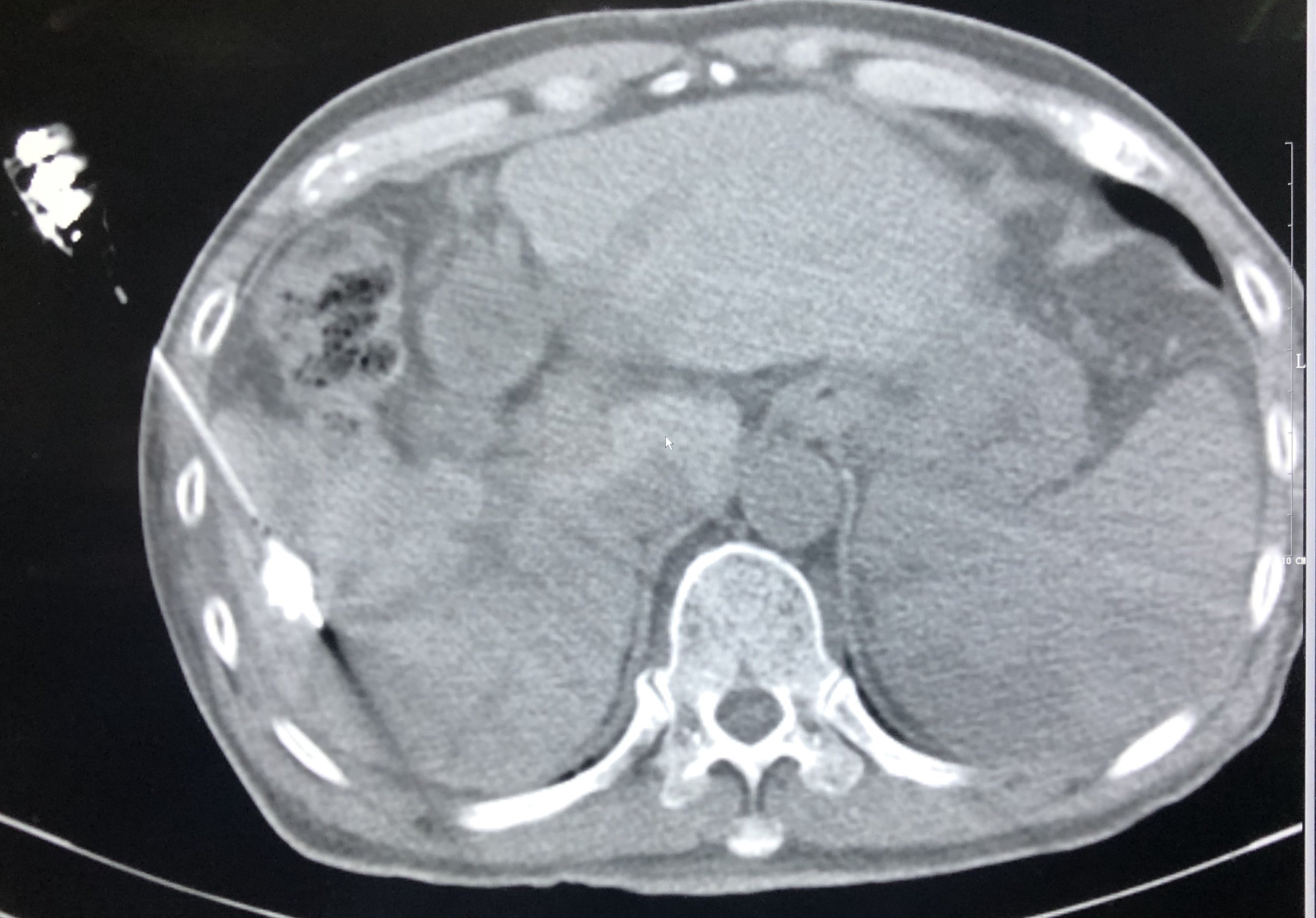
右肝肿瘤门脉期低密度,为肝癌典型表现。

该图片可能引起不适

继续查看

1584695704.png

腹腔动脉造影见脾动脉粗大,肝动脉细小,提示脾动脉盗血综合症。

该图片可能引起不适

继续查看

1584695705.png

行脾动脉主干栓塞部分阻断脾动脉血流。

该图片可能引起不适

继续查看

1584695707.png

同时行tace术,注射碘化油化疗药乳剂栓塞右肝肿瘤。

该图片可能引起不适

继续查看

1584695708.png

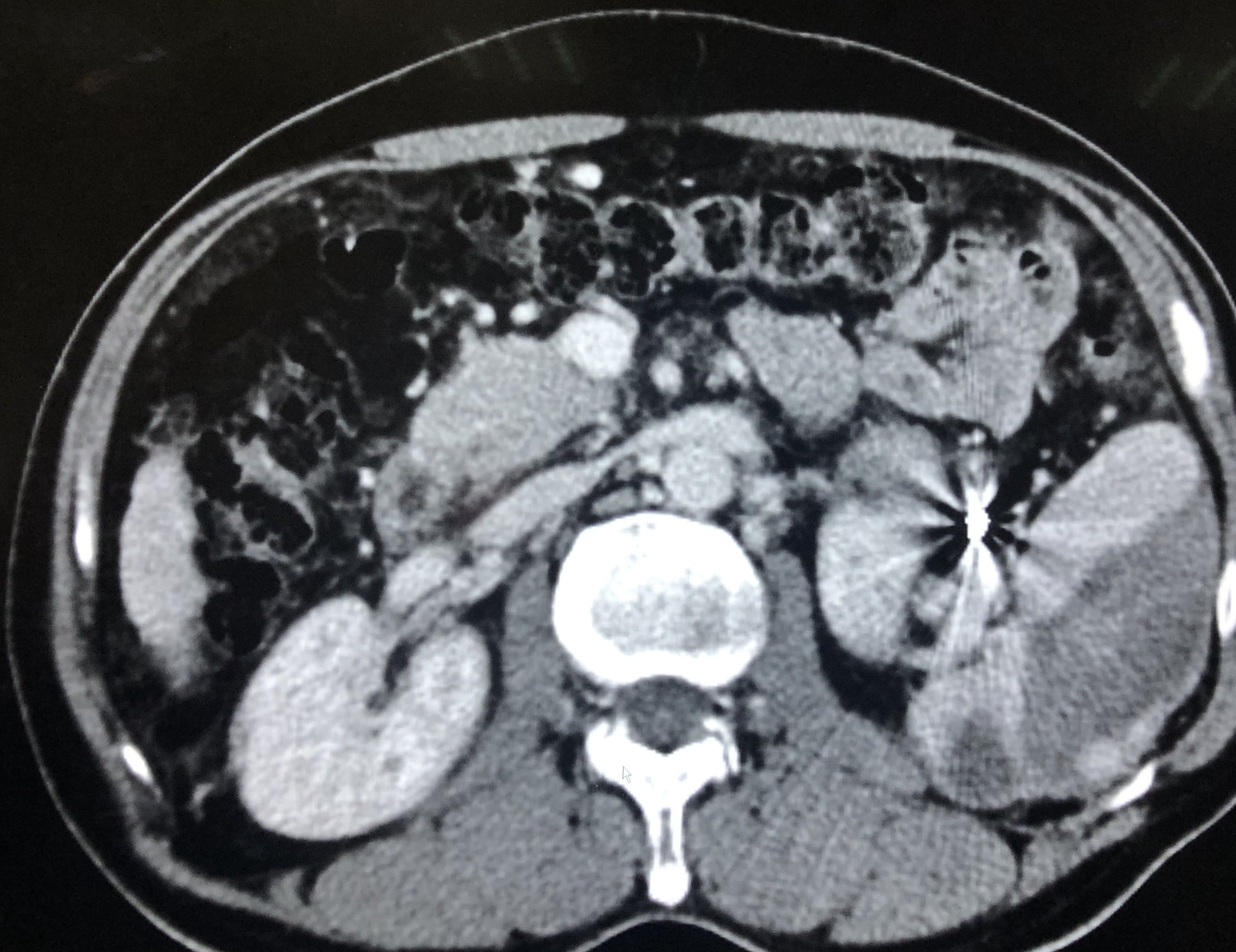
术后右肝肿瘤碘油沉积良好。脾脏少许低密度灶为栓塞后改变。

该图片可能引起不适

继续查看

1584695709.png

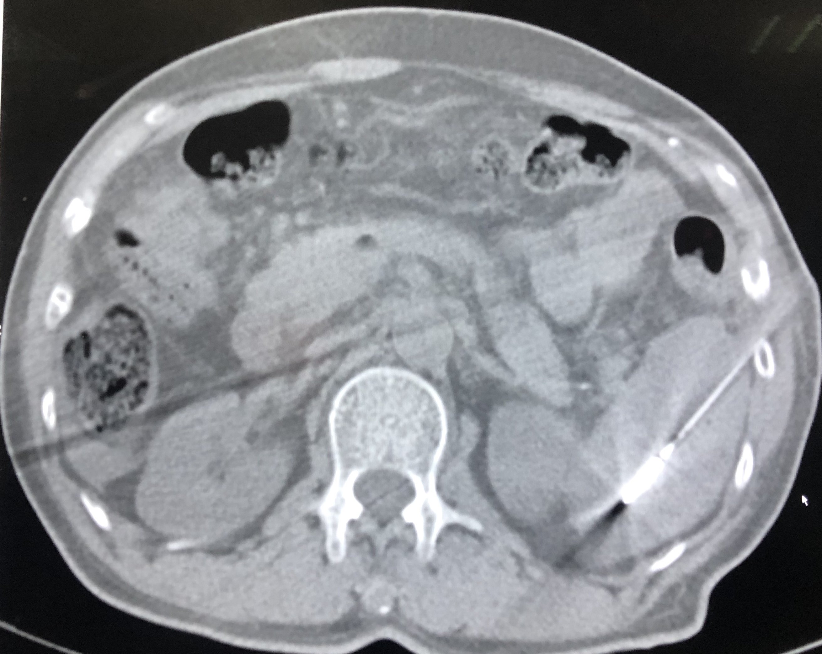
微波消融针准确穿刺肿瘤并进行消融治疗。

该图片可能引起不适

继续查看

1584695711.png

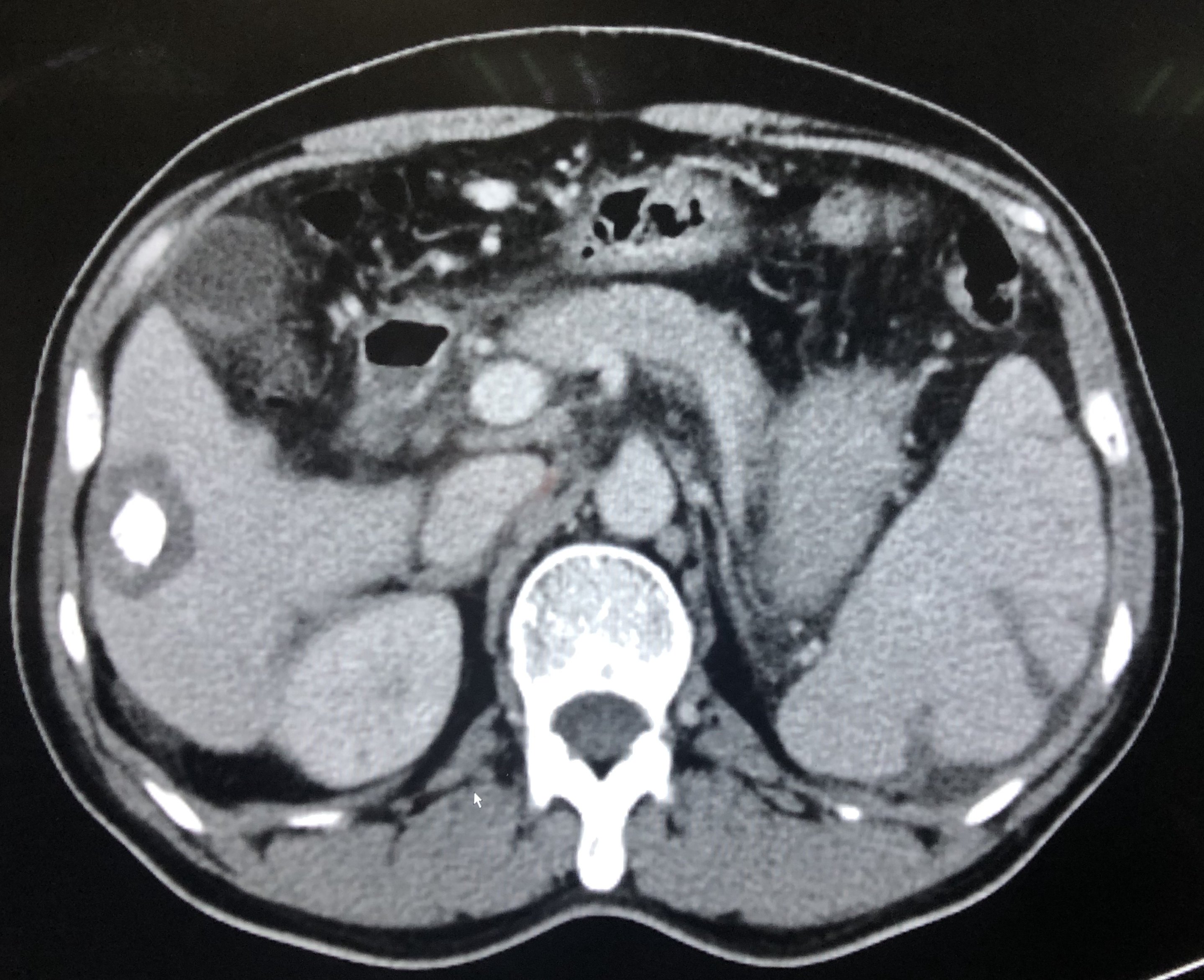
一月后复查见右肝肿瘤完全灭活。

该图片可能引起不适

继续查看

1584695713.png

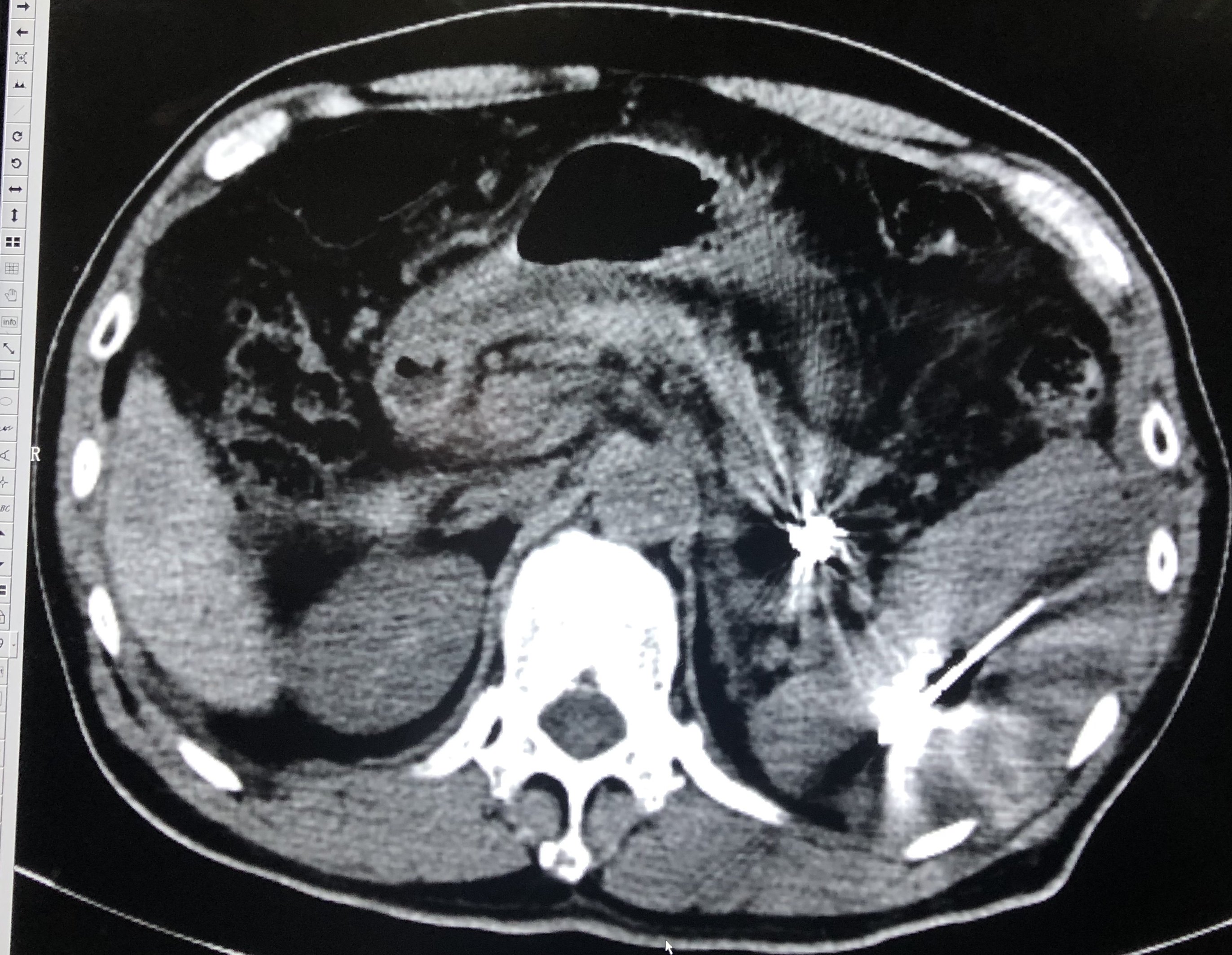
行脾脏多点消融治疗,以15g微波消融针穿刺脾脏,并进行大功率多位点消融治疗。

该图片可能引起不适

继续查看

1584695714.png

行脾脏多点消融治疗,以15g微波消融针穿

刺脾脏,并进行大功率多位点消融治疗。

该图片可能引起不适

继续查看

1584695716.png

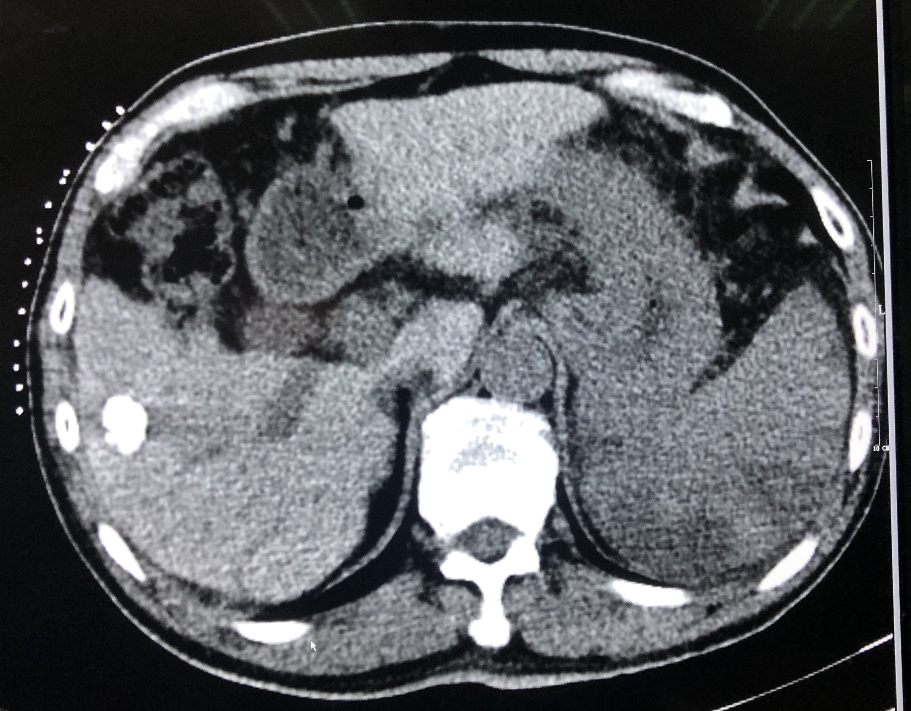
脾消融后复查脾脏见大片状低密度坏死区为消融术后改变。

点评:

患者小肝癌并脾亢,治疗可以考虑肝移植或者外科手术切除,但患者顾虑手术创伤故选择更加微创的介入治疗。我们采取肝癌脾亢同步干预的策略,第一次治疗即行脾动脉主干栓塞降低门脉压力及部分纠正脾亢,同时用碘化油栓塞肿瘤,让肿瘤基本灭活,然后轻松对肝癌进行消融治疗,把肝癌局部彻底灭活。两月后行脾微波消融治疗,术后患者血小板基本正常,且体质明显改善,腹腔积液完全消失。脾动脉主干栓塞联合脾消融可以有效纠正脾亢,降低门脉高压,部分纠正脾动脉盗血综合症,改善肝功能,而且安全性高,患者术后反应轻微,值得我们推广应用。


相关疾病: