什么是智齿?
智齿又叫第三磨牙,是从前往后数的第八颗牙。智齿是人类恒牙中最后长出的牙,位于上下左右牙弓的最后方。大约80%的人有1-4颗智齿。智齿正常萌出的年龄为18-25岁,但也有少数人在中年以后才萌出,还有人终生埋藏在骨内长不出来。智齿萌出时正值人的生理、心理发育成熟期,于是被看作是“智慧到来”的象征,故称它为“智齿”——“智慧之齿”,又称之为“定根牙”、“尽头牙”、“立事牙”等。
一、智齿需要拔除吗?
1、并不是所有的智齿都需要拔除;
2、有的智齿本身已有症状或病变,对周围牙、牙龈或骨组织已产生或将产生不良影响和病变,通常情况下需要拔除;有的正畸需要,建议拔除;



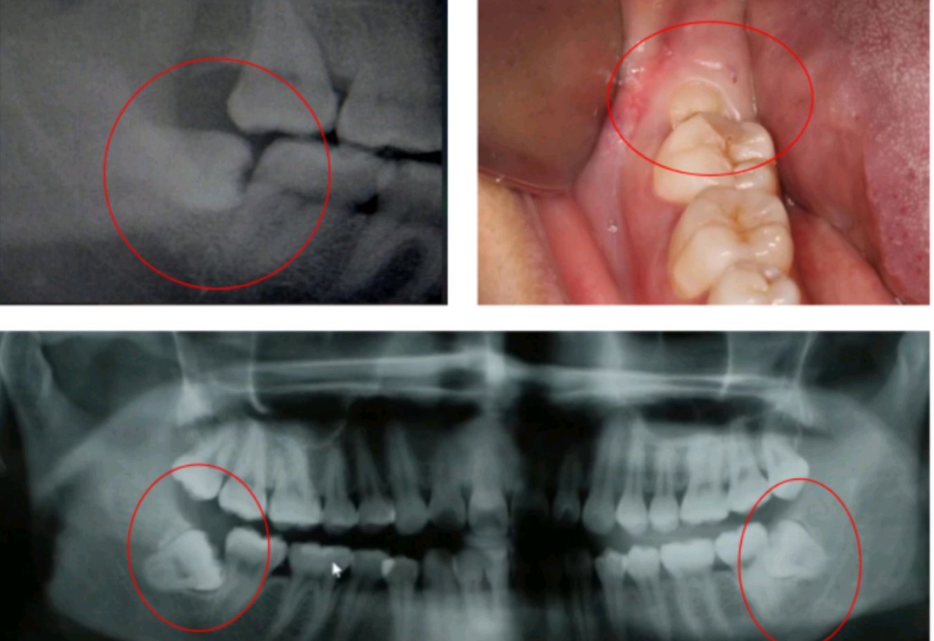
举例的图示智齿都要建议及早拔除
3、有的智齿本身没有任何症状及病变,对邻近组织也可能无任何不良影响,可以保留。
二、智齿疼痛应该立即拔除吗?
1、不能正常萌出的智齿(阻生智齿)容易反复引起炎症、疼痛(冠周炎),或者已经引起了一些其他临床症状者,应该在炎症控制后尽快拔除;
2、对一些应该拔除的智齿,如拔除难度大、拔牙后并发症严重,或受医疗场所器械配备的限制,或患者年龄较大、患者全身情况较差等,也可以暂缓拔除;
3、智齿是否应该拔除,或应该在什么时候拔除,应由医生综合考虑患者各方面因素,并结合医师自身的经验、临床技术水平等条件,权衡利弊后做出决定,仅在利大于弊时才会拔除智齿。