2020年似乎以一场“特殊”的打开模式跟大家见面,新冠肺炎疫情令全国人民陷入焦虑中,而医院作为广大群众解除病痛的“救命绳”更是变成了一面多面镜。在坚决贯彻国家防控政策下,各家医院不但要为战胜这场疫情的情况下,还要顾及其他病患的诊疗。深圳市龙华区人民医院脊柱外科张昊主任团队也时刻保持警惕,对来院就诊的每位脊柱病患都非常重视,因为心里明白,这样的患者在这样的疫情仍然需要到医院接受治疗都是因为伤病导致的痛苦影响日常生活了。因此医务人员顶着压力接收承受病伤的患者前来治疗,而张昊主任医师对每个患者做出详细和缜密的治疗方案设计,本着“效果好、微创化、恢复快”的目标让患者缩短住院时间,减少医患的压力,最终解除患者病痛,顺利度过,改善生活质量。
自疫情以来截止至3月底,深圳市龙华区人民医院脊柱外科张昊主任团队,在落实国家防疫制度和医院严格科学的防控措施下,通过微创多样化手段顺利的、高效的治疗了52名患者,其中包括脊柱内镜技术、椎体(后凸)成形术、神经阻滞术、射频消融术等,病患年龄从15岁到91岁均有,住院时间在3-7天,所有患者均获得良好的效果,对手术治疗效果也非常满意。以下介绍几个在微创理念下获益的病例:
病例一:
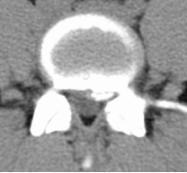
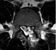
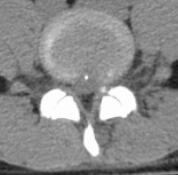
15岁的小王同学,在其母亲陈女士的陪同下来就诊。小王说,最近1月余来总感觉腰痛和左腿痛,一走路就加重,根本无法正常走路,呈跛行步态,陈女士见自己儿子小小年纪就这般难受,现在又是疫情期间,不知道如何是好,焦虑之际,经介绍,前来我院就诊,张昊主任医师予仔细、全面的查体,并阅读了相关影像学资料,经过团队的讨论,首先明确诊断为 “腰椎间盘突出症(L4/5 左侧)”。
针对该患者的诉求,张昊主任与其团队进行了反复的讨论并分析小王的问题,首先,小王才15岁,但腰椎间盘突出明确并伴有椎体后缘离断,神经受压明显,导致下肢疼痛、麻木,严重影响日常生活和学习,经过一段时间保守治疗,仍反复,并且越来越明显了,因此针对青少年的腰椎间盘突出症患者治疗方面该如何定夺呢?张昊主任分析,结合该患者的特殊性,又要考虑患者以后的影响,把相关治疗方案以及相应的风险等事宜详细告知陈女士,最终在微创理念下采用脊柱内镜下腰椎间盘摘除技术为小王进行手术,手术切口1cm,术后症状缓解,恢复良好,效果非常满意,第二天顺利出院。
术前影像



术后影像




病例二:
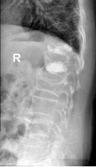
70岁的梁奶奶,家人说老人家因提重物导致腰背疼痛,正因疫情期间,在家休息仍无缓解,因疼痛无法正常生活,迫于为梁奶奶解除痛苦,居家7天后家人带其来到我院就诊,张昊主任医师阅读了相关影像学资料,经过团队的讨论,首先明确诊断为 “1.胸12、腰1椎体压缩性骨折 2.重度骨质疏松症”。针对老年人骨质疏松导致椎体压缩性骨折的治疗,把相关治疗方案以及相应的风险等事宜详细告知家属,最终采用经皮穿刺椎体后凸成形术为梁奶奶进行手术,术后疼痛明显缓解,效果非常满意,第二天顺利出院。
术前影像


术后影像


特殊情况下,有些病患仍是迫不得已来医院就医,而在个性化治疗的前提下,把握好适应症,采取合适的手术方案为患者提供创伤小、效果好、恢复快的治疗,那么微创技术是非常重要的一种。
我科脊柱内镜微创技术开展多年,为目前深圳市各医院该技术领先单位之一,作为龙华区重点科室和“三名工程”支持科室,我们将继续不断努力为更多病患提供更优质、更安全的医疗服务!