刷牙时发现牙龈出血?吃东西时感觉牙龈肿痛?小心啦,这可能不只是你以为的“上火”问题,当心是牙周病!

什么是牙周病?
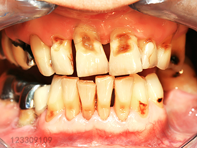
牙周病指的是发生在牙周组织的疾病,包括发生在牙龈组织的牙龈病和殃及深层牙周组织的牙周炎两大类。它不仅会使牙龈、牙槽骨萎缩,最后还会使牙齿松动、脱落。但它的早期症状不易被人察觉,发展比较缓慢,等到发现问题不对了,为时已晚。因为牙周组织被破坏后是不可逆的,所以对于牙周病,预防和早发现非常重要。

说到预防牙周病,有几类人需要格外注意,因此牙周病会更“青睐”他们。
吸烟者
吸烟时,烟草中的尼古丁、烟碱等有毒化学成分刺激牙龈组织并进入血液循环,会导致局部免疫功能下降,诱发牙结石,牙龈出血、萎缩等问题。

糖尿病患者
糖尿病患者血糖比较高,给牙龈内的细菌提供了养分,造成牙周组织微循环障碍,容易引发口腔感染,导致牙周炎症状加重。
孕妇
受妊娠激素影响,孕妇在孕前期3个月和孕后期3个月都容易诱发牙周病。
长期熬夜的人
长期熬夜会使人体免疫力下降,口腔内细菌滋生并入侵,容易导致龋齿、牙龈炎、牙周炎、口腔溃疡等症状的发生。

如何预防牙周病?
1、注意控制和消除牙菌斑,也就是每天坚持用正确的方式刷牙,同时使用牙线清洁牙缝隙等牙刷难以清洁的位置。

2、定期看牙,不要觉得自己的牙齿没问题就不需要看牙,定期的口腔检查和洗牙不仅可以帮助去除牙结石对牙龈的刺激,还可以及时发现其他口腔问题。
3、多吃富含维生素C的食物,不挑食偏食,以确保牙周组织有足够的营养。
4、少抽烟,尽量早日戒烟。在学习或工作之余适量运动,可以增强体质。

牙周病初期的症状和对人的影响都比较微小,但如若在此时发现并积极治疗,很大程度上可以恢复牙周健康,拖得越晚,治疗就会越复杂。