
“医生快来,我妈被人下药了!!!”
“啊?你别急,慢慢说。”
经过耐心的问诊,终于了解了事情的经过。
李女士,63岁,早上起床吃完早餐后,照常去跳了一会广场舞,随后和一位广场舞同伴去附近公园逛逛,这一逛就到中午了。正当广场舞同伴要和李女士道别时,李女士就像是突然从梦中惊醒一样,问:“你怎么和我在一起啊?我来这里干嘛?”广场舞同伴被吓到了,赶紧把她送回家且跟家属表明情况,家属以为李女士被下了网传那种【听话水】的药,火急火燎地带她上医院。
在对李女士的仔细询问下知道,她忘记了从起床到公园这段时间发生的所有事情,除此之外,目前的即刻记忆和远久记忆保持良好,且认知能力正常。对于消失的那段记忆,她很恐慌,不知道发生了什么。
到底是什么原因导致这几个小时的记忆缺失呢?难道真的是家属所说的“听话药水”所致?还是生理疾病引起的?医生更倾向于生理疾病,经过初步的问诊,考虑【短暂性全面遗忘】的可能性较大。
什么是短暂性全面遗忘?
在教科书中这样描述短暂性全面遗忘:发作时出现短时间记忆丧失,对时间、地点定向障碍,但谈话、书写和计算能力正常,一般症状持续数小时,完后完全好转,不遗留记忆损害。
是不是很符合李女士的情况?那问题来了,李女士为什么会出现短暂性全面遗忘呢?
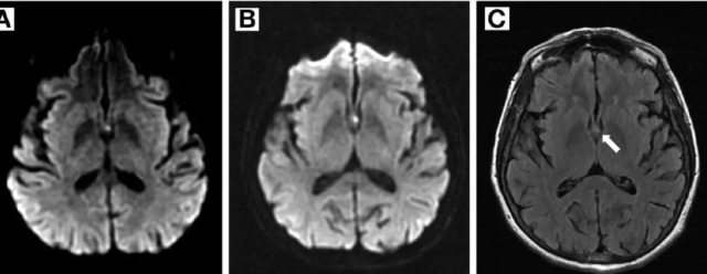
为了更好的了解病情,医生建议李女士做个头颅MRI检查,没想到还真的把原因给揪出来了--急性梗死灶。
到这里,病情就很清楚了,因为脑内发生了梗死灶,这个梗死灶阻断了海马体的血液供应,导致短暂性全面遗忘的出现。这次“乌龙”就诊,不仅解决了“乌龙”事件,还把隐藏的危险疾病揪出来,真是“塞翁失马,焉知非福啊”!
据了解,短暂性全面遗忘容易发生在头部受到撞击或有癫痫史、脑病史的人身上,发作时间可持续1~24小时。而且短暂性全面遗忘发作通常是一次性的,很少会出现第二次发作。
蔡医生建议大家,如果发生短暂失忆的情况,即便忘记的时间较短,过后就恢复了,也要前往医院检查确认病因,避免产生其他问题。