
当今社会,人人都是谈“瘤”色变,今天蔡主任就跟大家讲一种脑内的“瘤”--颅内海绵状血管瘤。这个“瘤”不是我们理解的常规意义的“瘤”,但却凶险万分,一不留神,就在脑中爆炸了。
16岁的中学生强强,玩了6个小时手机游戏后,感到头部疼痛难忍,伴恶心呕吐,紧急送医后,强强被确诊为颅内海绵状血管瘤破裂出血,病情十分危急,医生紧急开通绿色通道为其行开颅手术治疗。目前强强各方面康复良好,医生解释强强的海绵状血管瘤破裂出血的主要原因是,长时间玩手机劳累造成血管收缩紧张,导致破裂出血。
无独有偶,54岁的老尹1个月前感到头晕,并行走不稳,在当地医院治疗,病情不见好转,反而进行性加重,出现言语不清、恶心呕吐等症状,家里人见此情况后立刻把老尹转到上级医院就诊。
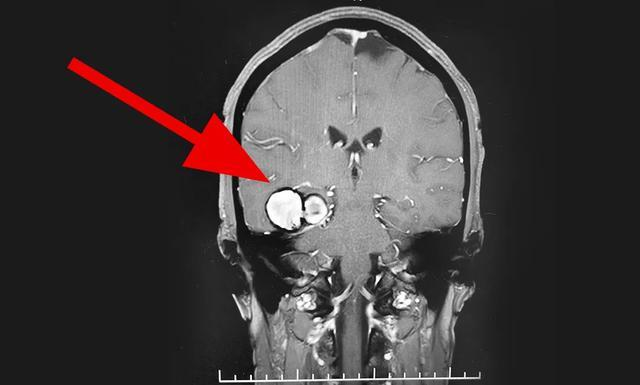
经检查发现,老尹的脑内有个海绵状血管瘤,这个瘤不仅破裂出血,还压迫了脑干,医生紧急安排手术。手术做的很漂亮,过程也很顺利,老尹术后恢复良好。
颅内海绵状血管瘤虽然名字里有一个“瘤”,但并非肿瘤!它是一种脑血管畸形病,指在正常的脑部(通常为脑干、延髓部位)血管附近长出非正常的分支血管,经过这些毛细血管的血流量很大,压力高,如果因为情绪激动、熬夜、外力冲击等原因,特别容易挤破血管,造成致命性的颅内出血,被称为脑内的“定时炸弹”。
该病可发生于任何年龄,青壮年为多,高峰年龄为30-40,由于血管造影检查时常常不能发现异常的血管团,故医学上将其归类于隐匿型血管畸形。但随着医学影像学的发展,有关该病的报告也日渐增多。
颅内海绵状血管瘤主要临床表现依次为癫痫(35.8%)、颅内出血(25.4%)、神经功能障碍(20.2%)和头痛(6.4%)。无临床症状者占12.1%,有的患者有一种以上的临床表现。如病变发生出血,则引起相应临床症状。有的海绵状血管瘤逐渐增大,产生占位效应而导致神经功能障碍逐渐加重。临床病程变异较大,可以有急性或慢性神经功能障碍,可出现缓解期或进行性加重。
手术切除病变是治疗海绵状血管瘤的根本治疗方法。病灶反复小量出血、癫痫和重要功能区的占位效应,是海绵状血管瘤手术适应证的主要考虑因素。对于很小的病灶,也无症状的病例可以随访观察。对于一部分病例病灶部位不宜进行切除、无法耐受切除性手术的可以采用伽玛刀治疗。
蔡主任提醒大家,因为颅内海绵状血管瘤的发病比较隐匿,早期往往没有症状,多在成年后发病,有家族史的人群要提高警惕,可以进行必要的筛查。