幼儿园小朋友突然喊头痛,一检查发现脑中有瘤!父母决定相信医生赌一把!

蔡坤皓医生 发布于2020-08-17 15:31 阅读量7183

本文由蔡坤皓原创

6岁小女孩怡怡,乖巧懂事,文静礼貌,是家里的独生女。半年前在幼儿园上课的时候突然感到头痛头晕,老师让她休息一会后症状仍然没有缓解,老师就赶紧打电话叫家长过来带着孩子去医院看看。


       

     

去到当地医院检查发现怡怡的右眼视力下降得很厉害,左眼视力0.4,右眼视力仅能看清眼前40cm的东西。CT结果显示孩子的颅内神经上长了一个肿瘤,怡怡的视力下降、头痛头晕都和这个肿瘤有关系,当地医院建议怡怡爸妈带孩子去大医院看看。


       

     

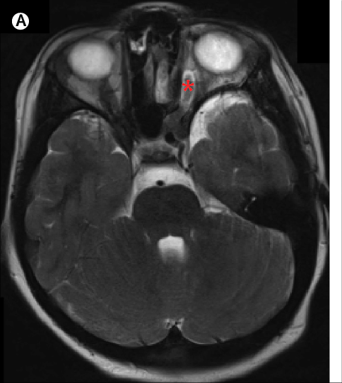
去到医院后做进一步检查发现,怡怡的颅内肿瘤长在两侧视神经交叉的部位上,这种肿瘤学名叫【视神经胶质瘤】,这是一种良性肿瘤,如果能全切就能达到治愈的目的,但是全切谈何容易。

 

如果全切势必会伤到视神经,孩子的视力就没了;如果不切,其他治疗办法效果不佳,不但视力会越来越差,而且肿瘤要是继续进展的话孩子命都没了。所以手术的难点就是把握一个“度”,一个既能最大限度切了大部分肿瘤,又能保住视力的“度”,这个手术有50%会失败,有50%会成功。

 

医生把一切风险都告知怡怡父母,让他们决定是否要做这个手术,深思熟虑后,他们决定相信医生赌一把。最后,手术成功了,怡怡颅内的肿瘤近全切,而且左眼视力由0.4提升到0.6,右眼视力由40cm到1m,怡怡顺利出院了。


       

     

视神经胶质瘤是发生在视神经内胶质细胞的良性肿瘤,多发于学龄前儿童,这个病最典型最早期的表现就是视力下降,但由于患儿年龄较小,不太会表达,以至于家长没有注意到孩子的异常,最后延误了病情。当肿瘤越来越大的时候,孩子会有眼球突出、视盘水肿、眼底出血等症状,家长这才觉得不对劲,这时手术的话具有一定的风险,可能会损害视神经导致孩子全盲。所以各位家长要警惕孩子的异常行为和语言,不止视神经胶质瘤,任何疾病在早期的预后都比中晚期好。


       

     

视神经胶质瘤有遗传倾向,如果你的家族史中有该类患者的亲属,请一定要注意异常症状。

 

我是三叉神经专家蔡医生,想要了解更多科普知识就关注我吧!


相关疾病: