
“医生,我最近经常头痛,看东西越来越模糊了,经常撞到别人或是被别人撞,到底怎么回事啊?”
“医生,为什么我好像越来越丑了,还像个男人一样,手大脚大的,以前的鞋子衣服都穿不下了。”
“医生,我才28岁,怎么就突然闭经了?”
“医生,我近一年痘痘越长越多,而且越来越胖,我也没吃很多啊,而且身上还有一条一条的横纹,我这是得了什么病啊?”
“医生,我结婚六年,备孕三年了,一直都怀不上,为什么?”
…………
朋友,如果你有以上困扰,可能是得了垂体瘤,请尽快到医院就诊。
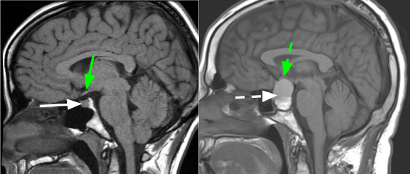
垂体,是我们大脑中一个小小小东西,它虽小,但却绝对不弱,小小的身体有大大的能量。它可以分泌多种内分泌激素,参与正常生活活动,凭着过硬的实力,它走上C位--人体“内分泌腺”之首。而垂体瘤就是来源于垂体本身的一种肿瘤。
当出现这些信号时,警惕垂体瘤。
临床上把垂体瘤分为两类:无功能性垂体瘤和功能性垂体瘤。
无功能性垂体瘤
这类垂体瘤不分泌激素,一般情况下无明显症状,但随着肿瘤体积的增大,肿瘤向上生长可压迫视神经,引起视力下降,视野缺损,一般老年人极易被误诊为老花眼、白内障等眼病,但经眼科治疗后症状一般无改善;若是肿瘤向两侧生长可压迫海绵窦,引起眼球运动障碍,眼睑下垂等,除此之外,还可能有头痛、记忆力下降、反应迟钝等症状。
功能性垂体瘤
这类垂体瘤能分泌激素,根据分泌的激素不同有不同的症状:
1、泌乳素分泌型垂体瘤
多数为女性患者,主要表现为闭经、泌乳、不育;男性患者主要表现为男性性功能低下,如性欲下降、阳痿或不育。
2、生长激素分泌型垂体瘤
儿童期生长激素型垂体瘤患者,可因过量的生长激素导致身材异常高大,即为巨人症。成年期的患主要表现为前额隆起、鼻翼宽平、下颌突出、口唇及舌头肥厚、夜间打鼾、牙缝增宽、手足增大、鞋码增大等“肢端肥大症”表现。
3、促肾上腺皮质激素分泌型垂体瘤
该类垂体瘤多见于青年女性,主要表现为向心性肥胖(头面颈部肥胖而四肢相对较为瘦小)、满月脸(脸部潮红变圆)、痤疮、水牛背(颈背部有肥厚脂肪堆积)、多毛、紫纹(身上紫红色的皮纹)等。
4、促甲状腺激素分泌型垂体瘤
该类垂体瘤比较罕见,主要表现为高代谢的症状怕热、多汗、体重下降、心慌房颤等症状。
蔡医生提醒大家,如果有上述症状,要及时就医,垂体瘤一般多为良性,治疗效果较好。该类疾病因症状没有特异性,往往首诊于眼科、妇科等相关科室,极易被误诊。如果首要就诊方案无效,就要引起重视了,可去内分泌或神经内外科找专业医生进行诊治。
想了解更多医学科普知识,请关注三叉神经专家蔡医生。