
2011年,《权力的游戏》主角龙妈在运动时突然出现剧烈头痛,在医院诊断为动脉瘤性蛛网膜下腔出血,实施手术并成功。2周后发现大脑另一下侧有一个小动脉瘤,采取观察模式,但2年后发现动脉瘤长大了一倍,再次实施手术,手术成功,术后恢复较长,完全康复,这是一个很幸运的结果。
很多患者会问,脑动脉瘤是不是大脑里长了肿瘤?其实不是,脑动脉瘤是脑里血管上鼓起的一个包,就像轮胎上鼓起的一个包,未必能及时发现,也就没什么异常,若是在高速上行驶鼓包破裂,往往车毁人亡。
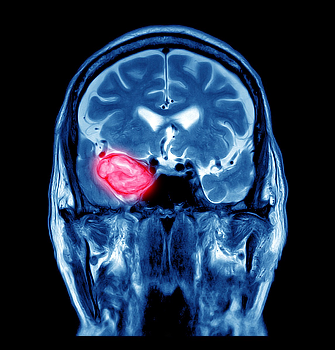
脑动脉瘤是指脑动脉内腔的局限性异常扩张(脑底动脉环,大脑中动脉分叉处,颈内动脉系统为多发部位)造成动脉壁的一种瘤状突出。脑动脉瘤未破裂时,患者基本上没什么症状,部分患者会有头疼,看东西模糊看不清有重影,侧脸麻木等;当脑动脉瘤破裂并出血时,患者可能会突然间头痛,意识模糊不清,看不清东西严重者甚至会失明,癫痫,眼睑下垂,此时就要去医院就医,以免造成终生残疾或危及生命。
接下来给大家科普一些关于脑动脉瘤的知识。
一,造成脑动脉瘤的原因有哪些呢?
1. 先天性因素
先天性脑动脉发育不全,对于正常人的血管,脑动脉瘤患者的血管更薄,在长期血流的冲击下,逐渐变成动脉瘤。
2. 动脉粥样硬化
动脉粥样硬化导致动脉壁内弹力纤维断裂甚至消失,在长期的血流冲击下更容易形成动脉瘤。
3. 感染
感染性小栓子随着血液流动到达脑动脉处,留在了动脉壁表面,慢慢的腐蚀血管壁,使其变薄,从而形成动脉瘤。
4. 外伤
因为出车祸造成脑外伤的病例也很多,这样的情况会直接损伤颅内血管壁,导致损伤部位形成动脉瘤。
二,脑动脉瘤的高危因素有哪些?
1. 高血压
脑血管内的比较脆弱较薄的部位长期受到高压血流的冲击,容易导致动脉瘤,所以高血压患者一定要坚持服药,控制好自己的血压。
2. 家族患病史
当和你有血脉关系的亲属患上脑动脉瘤,意味着你也有患上动脉瘤的可能。
3. 抽烟
抽烟不止引发肺癌,还能导致脑动脉瘤的发生促进其生长。
4. 先天性结缔组织发育不完全综合征
这种患者的皮肤与血管比较脆弱,常伴发脑动脉瘤。
5. 年纪过了40岁的女性更易得脑动脉瘤。
三,高度怀疑自己患上脑动脉瘤应该做什么检查?
1. 头颅CTA
叫做CT血管造影,是指静脉注射含碘造影剂后,经过计算机对图像进行处理,三维显示颅内血管系统,在脑动脉瘤的诊断和治疗中有很大的作用。
2. DSA
是指血管造影(含碘造影剂)的影像通过数字化处理,把不需要的组织影像删除掉,只保留血管影像,数字减影技术特点是图像清晰,分辨率高,对观察血管病变,血管狭窄的定位测量,诊断及介入治疗提供了真实的立体图像,为各种介入治疗提供了必备条件。
3. MRA
又叫做磁共振血管造影,失败利用电磁波产生身体二维或三维结构图像。经常用于脑肿瘤的筛选,对于不适合用碘的患者,可以采用这个方式检查。
四,脑动脉瘤患者平时饮食应该注意什么?
食物主要以低盐,低脂,清淡易消化为主,可以吃一些鱼,豆类,牛奶,瘦肉等高蛋白食品。