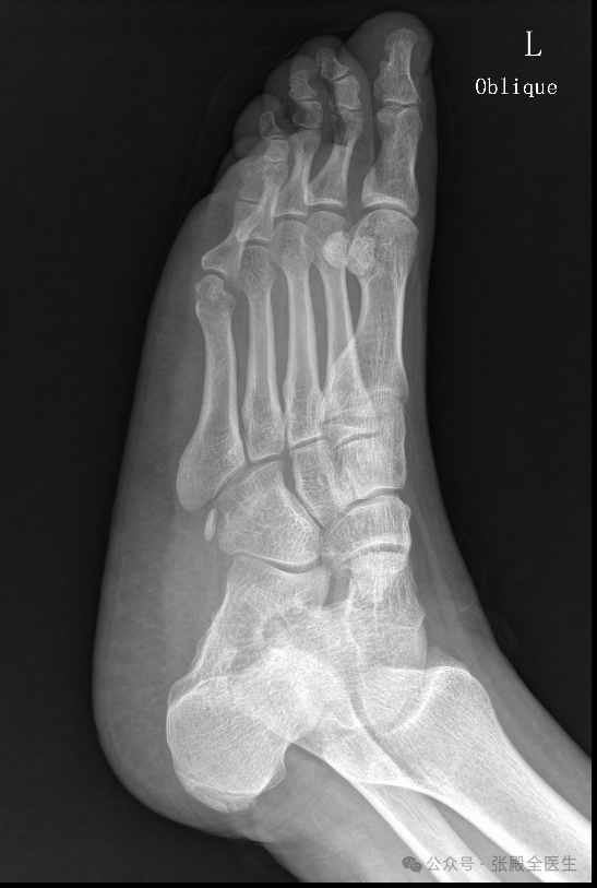
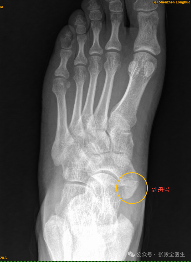
患者XX,男,35岁,左足疼痛不适半年。患者无诱因出现左足疼痛,受凉后明显,连及小腿,无力感。平素口干、口苦,时大便稀,睡眠差,诉经常喝可乐。查足X片提示:左足副舟骨。左足跟骨质增生。化验尿酸:451μmol/l。这位患者足痛部位为足背及脚趾,考虑主要为痛风性关节炎,非副舟骨导致。

一、含糖饮料可能升高尿酸
临床发现长期喝可乐等含糖饮料会引起尿酸升高。喝可乐可能会导致尿酸水平升高,尤其是如果您已经有高尿酸的问题。可乐中含有的果糖会增加尿酸的生成,并抑制肾脏对尿酸的排泄。此外,磷酸成分可能影响钙的代谢,从而间接影响尿酸的排泄。因此,如果您尿酸水平较高,建议限制或避免饮用可乐等含糖饮料,并选择更健康的饮品,如白开水或淡茶水。同时,注意调整饮食结构,避免高嘌呤、高果糖的食物,并适量增加运动,以帮助控制尿酸水平。
二、介绍一下副舟骨

副舟骨(Accessory Navicular Bone)是一个先天性骨变异,主要位于内侧舟骨的后方,通常被认为是一种附加骨。并不是每个人都有这种骨骼,大约5%到15%的人群可能会存在副舟骨。对于大多数人来说,副舟骨不会引起任何问题,但在一些情况下,它可能会导致疼痛和其他不适症状。副舟骨的分型通常依据其形态和与舟骨的连接方式进行分类,目前最广泛使用的是Geist分型,分为三种类型:

I型副舟骨(籽骨型):
副舟骨呈圆形或卵圆形,小而圆,位于胫后肌腱内,相当于胫后肌腱内的籽骨。与舟骨之间没有直接接触,与其分开最大可达5毫米。占副舟骨的30%,通常无症状。
II型副舟骨(假关节型):
呈三角形或心形,大小约10-12mm。通过1-2毫米厚的纤维软骨或透明软骨与舟骨相连,形成微动关节。约占副舟骨的50-60%,最终可能会与舟骨骨性融合。
III型副舟骨(角型舟骨):
副舟骨与舟骨体已融合,关节面消失,形成延长的弧形舟骨。被认为是II型副舟骨的融合型,由于在骨性突起上形成疼痛,偶尔会出现症状。
副舟骨若无临床症状的患者不需治疗。有临床症状如疼痛者,早期应给予保守治疗,包括口服药物、物理治疗。如有扁平足,配用专用鞋垫等。当保守治疗无效,也可考虑手术治疗。具体治疗方式需专业医师评估。