1、什么是垂体
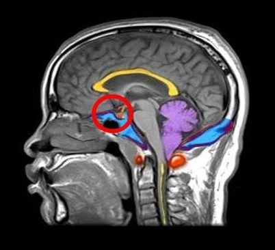
垂体是位于脑部正中央的⼀个器官(图1),它虽然体积小如黄豆,重不到1克,却控制着人体内其他所有内分泌腺体,是内分泌的司令部。

垂体能产生多种激素,发挥着重要作用(图2):
1:促肾上腺皮质激素(ACTH) — 促进肾上腺释放⼀种叫“皮质醇”的激素,可以调控制人体的血糖、血压、体重并平衡电解质。
2:促甲状腺激素(TSH) – 促进甲状腺释放“T3”和“T4”的激素,这些激素控制着机体对能量的使用和储存。
3:促性腺激素(FSH和LH)– 在女性中,促性腺激素可促进卵巢释放雌激素和黄体酮,也可促进卵巢产生和释放卵子;在男性中,这些激素可促进睾丸产生睾酮和精子。
4:生长激素(GH)– 它有助于儿童长到正常的身高。在成人中,它有助于维持体内的脂肪和肌肉处于恰当的平衡。
5:催乳素(PRL)– 催乳素(泌乳素)有助于控制女孩的乳房发育,也可在女性分娩后促进乳房产生乳汁。

2、什么是垂体功能减退
垂体功能减退是指垂体不能产生足量激素,从而造成对应的靶腺也出现分泌激素减少。常发生于垂体炎症,垂体瘤,另外垂体手术或放疗也可能伤害垂体。有些⼈先天性缺乏1种或几种垂体激素。
当垂体不能产生足量激素时,垂体功能减退的症状各不相同,具体取决于此病影响最显著的激素。⼀般来说,症状可包括:


3、我需要接受检查吗?
如果医生怀疑您有垂体功能减退,您将需要⾎液检测以测定不同激素的水平。您还需要行垂体MRI影像学检查,明确是否有东西压迫或破坏垂体。
4、如何治疗垂体功能减退症?
一般使用激素药物以补充身体缺失的激素。垂体功能减退的患者通常需要终生使用这些药物,定期进行血液检查以测定激素水平,只要治疗得当,这些激素不导致副作用。
垂体长有肿瘤的患者可能需要手术或其他治疗以去除或破坏肿瘤。
5、如果想生小孩怎么办?
如果您想要生育小孩,应告知医生。备孕(育)阶段,您的部分治疗可能需要调整。例如,您可能需要采用某些促进女性怀孕或促进男性让女性怀孕的激素进行治疗。只要治疗得当,大多数患垂体功能减退的男性和女性都能生育小孩。
Tips:
垂体疾病并不少见,近些年大家对垂体疾病的关注也越来越多了。然而,因为各种渠道信息不对称,各医院水平参差不齐,很多非专科医生对垂体疾病认识的不一致,为想了解这一疾病的朋友们造成了一定困扰。
因为垂体在脑中央,很多人一听说垂体有问题,就如临大敌,或伤心绝望,或焦虑难眠。其实,产生这样的情绪主要原因是对这个疾病的不了解,垂体疾病并不可怕,只要我们正确认识它,对待它,完全可以避免很多不必要的伤害,也可以做到让这个疾病不影响我们的生活质量。
本人今年开设“垂体专病”门诊,希望可以更好地帮助大家正确认识垂体疾病,规范这一疾病的诊治。