神经眼科学是介于眼科学和神经病学之间的一门学科,其范畴盖于眼科和神经病学两方面的知识。人脑约45%与视觉系统有关,神经科常遇到的视觉障碍的患者,也牵涉到眼科的诊断及治疗。常见疾病包括传入视觉系统疾病(例如,视神经病变,视网膜血管疾病,视盘水肿,高级皮质功能障碍或脑肿瘤)和传出视觉系统疾病(例如,闭孔症,复视,眼眶综合征、海绵窦和眼眶的血管疾病、眼球震颤及其他类型的眼球震荡、眼睑疾病等)。

常见的神经眼科疾病有哪些?
1、视神经脊髓炎(早期只是视神经炎或脊髓炎) 2、多发性硬化(大脑、视神经、脊髓多灶、多时相) 3、单纯视神经炎 4、动脉瘤压迫眼动神经 5、眼动神经炎症 6、线粒体脑肌病 7、垂体瘤卒中 8、眼睑痉挛 9、炎性假瘤 10、重症肌无力 11、偏头痛 12、脑中风

神经眼科疾病的常见症状有哪些?

跟大家分享一下常见眼科疾病的症状:
视物模糊视物遮挡可能有转眼痛反复复发、治疗后可能好转。

常见症状-视神经脊髓炎

您的眼皮经常会跳动吗?您还会以为这是“左眼跳财,右眼跳灾”的暗示吗?NO!NO! NO !当心这是“眼睑面肌痉挛”的前兆。

头痛前后也会有视物模糊症状

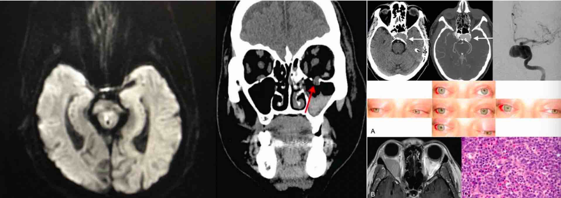
如果你有甲亢病史,注意️甲亢性眼肌病也会导致视物模糊、视物重影现象
甲亢的病因有很多种,其中约80%为Graves病(弥漫性毒性甲状腺肿)引起,其具体病因目前尚不明,但已知病理机制中最主要的原因就是存在针对甲状腺的自身抗体,此病属于器官特异性自身免疫疾病,由于其自身免疫的的机制,在疾病病程中,大量淋巴细胞在眼球后的侵润,眼眶后成纤维细胞大量分泌多糖和糖肽聚糖并在眼球后组织沉积,导致眼外肌和脂肪肿胀,最终引起突眼

头晕眼花也会表现为视物旋转、视物模糊。
神经眼科的检查,除了我们众所周知的视力视野和视觉检查、瞳孔检查以外,近些年不断涌现的新兴检查为神经眼科疾病的诊断和鉴别诊断提供了很大便捷。


神经眼科疾病会出现视力下降、视物重影、视物模糊、眼睑下垂、眼睑痉挛,有上诉症状除了找眼科医生看病,也记得找神经科医生咨询有无神经科疾病导致的眼部问题!