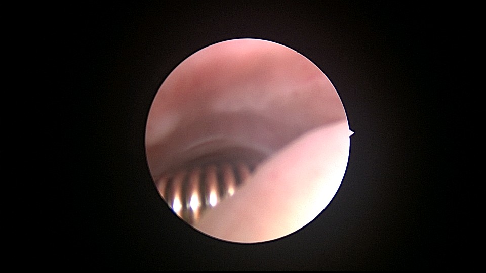
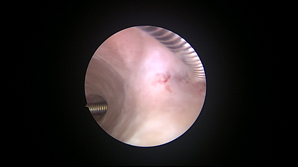
患者56岁,G4P1,顺产1次。1990、1991、1992年三次安环,均自然脱落,1993年第4次安环至今,共31年。现绝经4年,外院取环失败。患者阴道、宫颈、子宫萎缩,宫颈外口无法夹持,探针、中弯钳均无法打开宫颈外口,一筹莫展多时。最后用缝线缝住宫颈11点位及1点位,牵拉宫颈,尖刀片十字切开宫颈外口,B超监护下宫腔镜艰难进入宫颈管,见宫颈管封闭粘连,宫颈内口左侧粘膜下肌瘤遮挡视野。多次努力,镜子成功进入宫腔,见O型环两侧与子宫肌壁嵌顿,异物钳牵拉几次失败,用取环钩钩取,多次尝试终于成功钩住环,牵拉到宫颈外口,用中弯钳取出节育环,环变形,宫壁见节育环割裂痕迹,宫腔少许积血,无其他异常。








