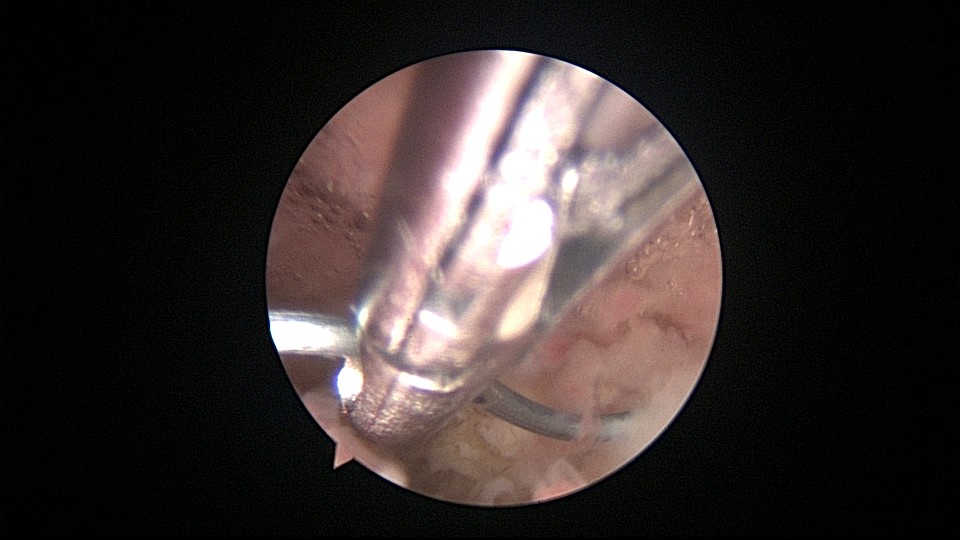
52岁,G3P1,剖宫产1次,宫外孕保守治疗1次。安环18年,月经明显增多2个月,33天前外院取环失败,当天转到我院宫腔镜取环,宫腔镜下未找到环,我从一个会议现场回医院手术室救急。宫腔杂乱、狭小、组织充血,无法看到正常宫腔,腹部B超监护,宫腔多个强回声点,无法和气泡区分,放弃继续寻找节育环,患者离院前行腹部平片检查,子宫区见V型节育环,向左旋转移位。距第一次取环33天后再次宫腔镜取环,术前与B超医生会诊,子宫前倾后屈位,子宫球形、饱满,9.8cm*8.5cm*9.6cm大小,宫颈管3cm长,诊断腺肌症合并腺肌瘤,节育环位于宫底,距宫底浆膜面1.0cm,子宫长径加阴道长度几乎与宫腔镜长度相当。宫腔镜下仍无法找到节育环,异物钳在狭小的宫腔内左冲右突,无限接近节育环,就是找不到节育环,因手术时间长,子宫肌壁厚,膨宫压一直维持在150,担心水中毒,几次想再次放弃寻找。后用单极电针在B超指引下切开子宫前壁肌层,终于显露出部分节育环,异物钳顺利拉出完整V型环,整个节育环已移位到子宫前壁肌层。







