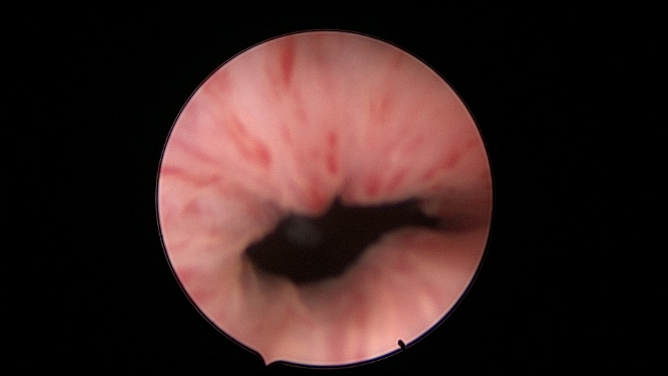
患者57岁,G2P2,顺产2次。1985年在医院足月分娩,1987年安环,1989年带环受孕,在家足月分娩,节育环情况不详,后偶有B超检查,医生未告知患者宫内节育环情况。现绝经8年,腰骶部及小腹部不适5年,外院B超检查提示宫内节育器,病人很惊讶有环。子宫前位,宫深6cm,宫颈及子宫萎缩,宫腔镜见宫颈管封闭粘连,宫腔镜直视下充盈膀胱,B超监护下镜鞘分离粘连,进入宫腔,见宫型环位于宫腔内,与左侧宫壁嵌顿,异物钳难以取出,取环钩将环拉至宫颈外口,中弯钳拉出节育环,环变形,完整,宫壁见节育环割裂痕迹,宫腔无其他异常。每个节育环都有一个故事。







