困难取环21

张林医生 发布于2026-01-15 08:21 阅读量27

本文由张林原创

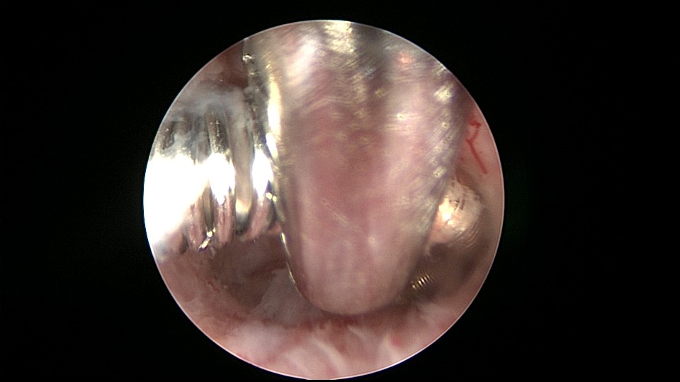
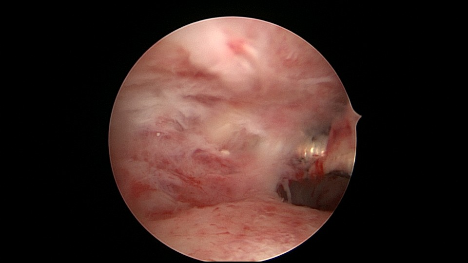
患者51岁,G4P3,顺产3次,闭经半年,外院B超提示有2个环。反复追问病史,还原宫内双环情况,24年前最后一次妊娠可能为带环受孕,行人流术,环未取出(医生和病人不知道有环),随即再次放环一枚。宫腔镜见母体乐环位置下移,纵臂卡在宫颈管内,宫腔镜难以进入宫腔,异物钳先取出母体乐。宫腔内见另一O型环,与右侧宫壁广泛嵌顿,异物钳、取环钩配合中弯钳拉出节育环,环完整,扭曲变形,宫壁见节育环割裂痕迹,宫腔无其他异常。


图片发自160App


图片发自160App


图片发自160App


图片发自160App


图片发自160App


图片发自160App


图片发自160App


图片发自160App
相关疾病: