困难取环18

张林医生 发布于2026-01-13 08:42 阅读量7

本文由张林原创

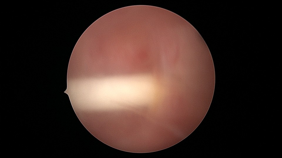
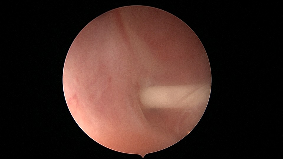
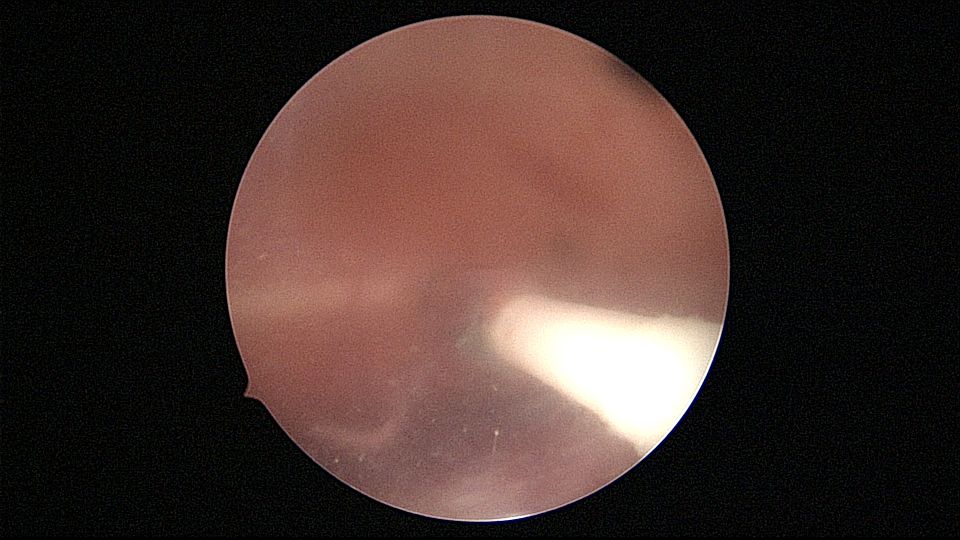
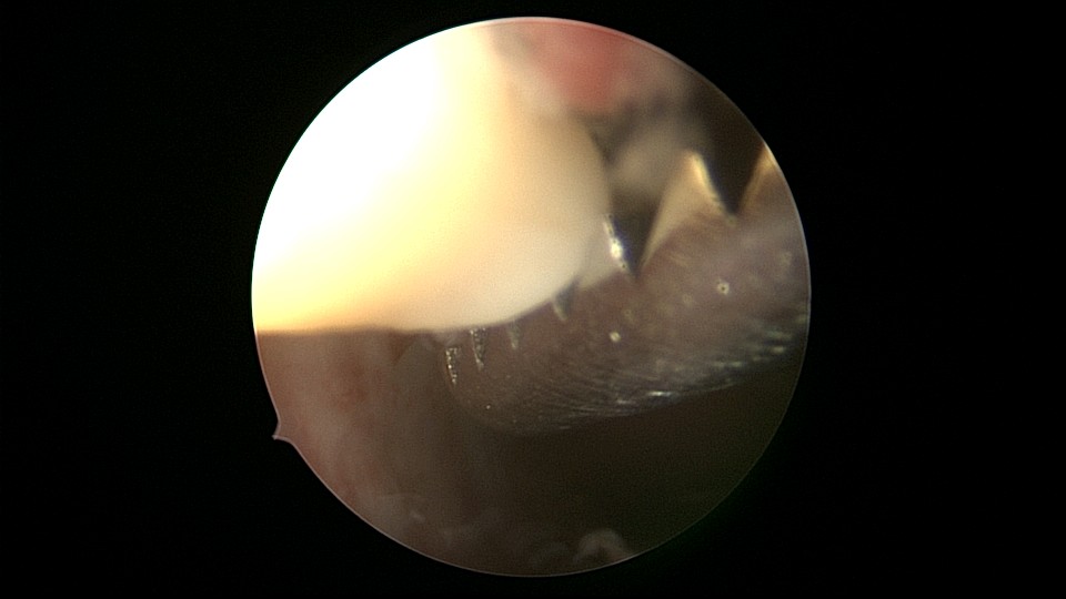
患者53岁,G3P1,剖宫产1次。安环13年,绝经8年,外院取环失败。患者阴道、宫颈及子宫萎缩,很难置入扩阴器,很难牵拉宫颈,宫颈外口位于前穹隆顶端,子宫极度前倾前屈位,且子宫与盆壁粘连,被拉长,宫腔镜很难进入,B超监护下异物钳扩张宫颈管上段及宫颈内口,宫腔镜艰难进入宫腔,见T型环两横臂嵌顿于两侧宫角,尾丝断裂,异物钳取出节育环,宫腔未见其他异常。


图片发自160App


图片发自160App


图片发自160App


图片发自160App


图片发自160App


图片发自160App


图片发自160App
相关疾病: