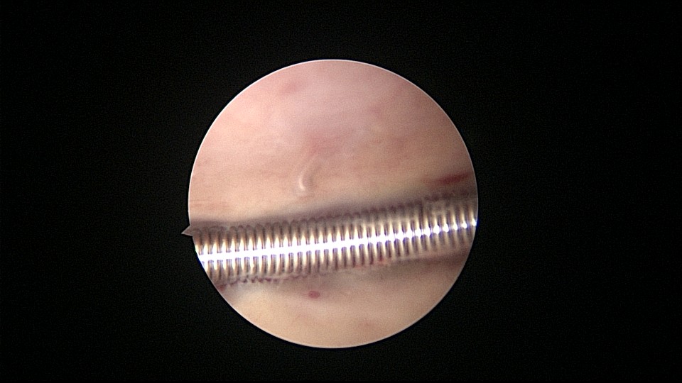
患者55岁,G1P1,顺产1次。安环34年,闭经半年,2天前外院取环失败,感下腹疼痛不适。术前复查B超,子宫前壁肌瘤直径4cm,宫内节育器回声。术中见子宫前倾后屈位,宫颈外口见息肉,镜鞘旋转扩宫进入宫腔,O型环位置正常,宫腔右前壁见直径2.5cm肌瘤结节突向宫腔,取环钩顺利取出节育环,宫腔无其他异常。该患者常规取环时未膨宫,子宫位置特殊,加之子宫受刺激后肌瘤凸向宫腔,可能对取环器械形成支点及杠杆效应,取环器械难以到达节育环位置,导致取环失败。







