困难取环14

张林医生 发布于2026-01-11 10:36 阅读量73

本文由张林原创

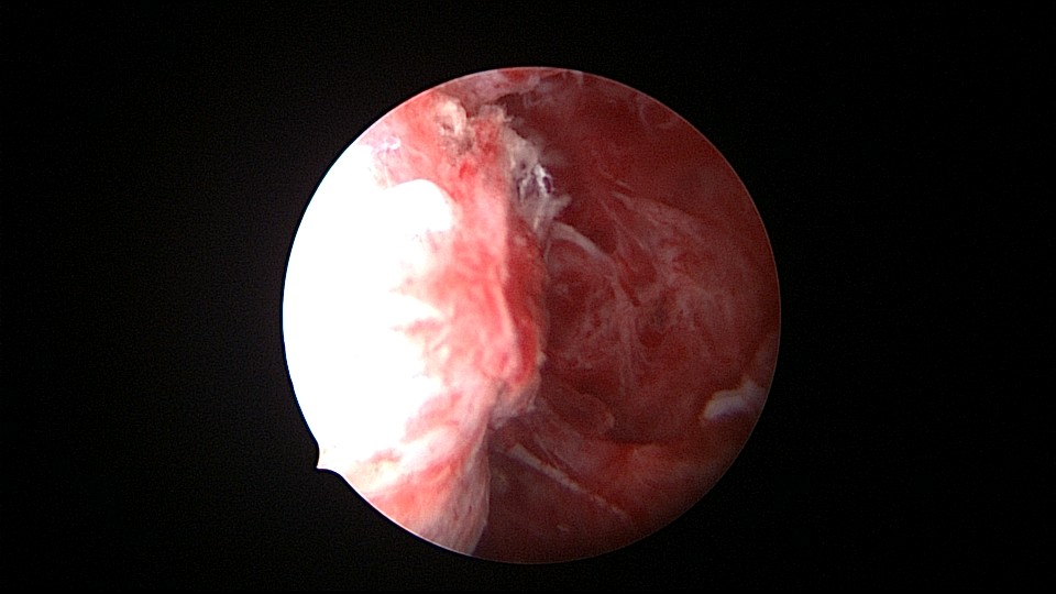
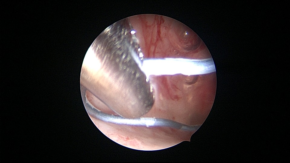
患者55岁,G4P1,顺产1次。安环16年,绝经5年,外院取环失败。子宫前位,宫颈萎缩,宫腔下段左后壁见假道,假道内见肌瘤结节突出,爱母环位置正常,宫腔左侧壁及前壁见占位质脆组织,表面有异常粗大血管。异物钳顺利取出节育环,占位组织病检为内膜样癌。取环造成的假道让病人因祸得福,提前发现了子宫内膜样癌,得以及时手术治疗。


图片发自160App


图片发自160App


图片发自160App


图片发自160App


图片发自160App


图片发自160App


图片发自160App


图片发自160App
相关疾病: