困难取环11

张林医生 发布于2026-01-10 08:27 阅读量151

本文由张林原创

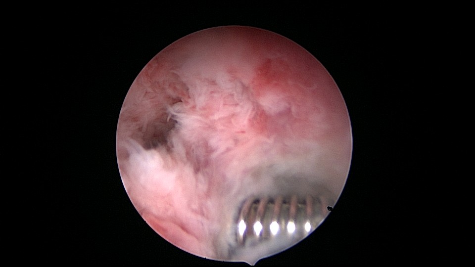
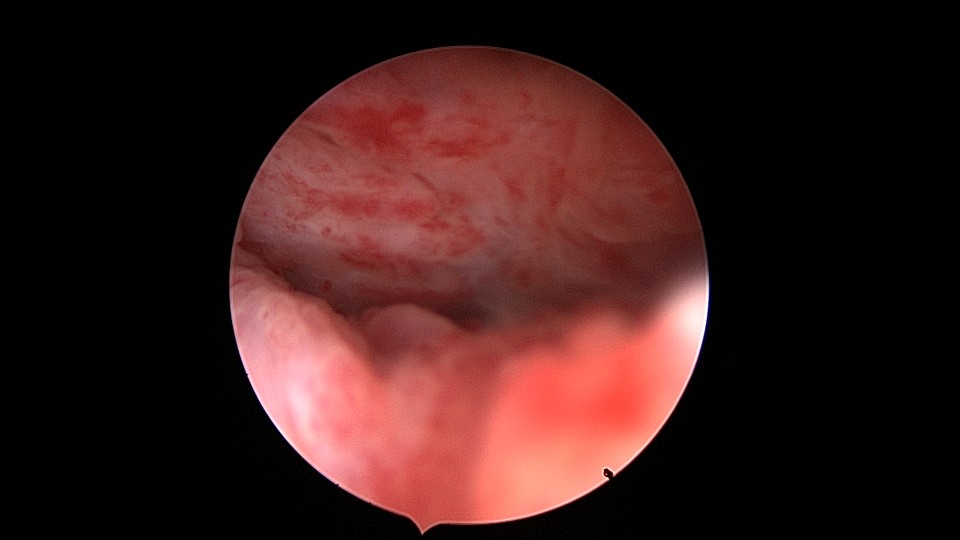
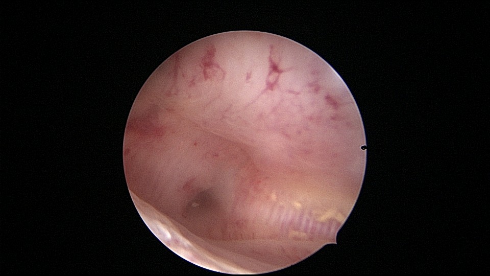
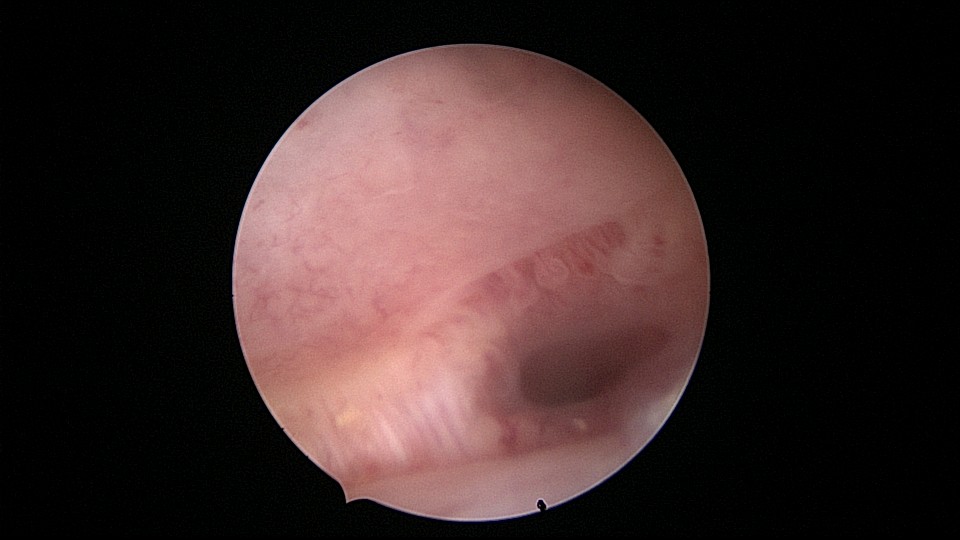
患者54岁,G1P1,顺产1次。安环30年,闭经半年,外院取环失败(没有碰到环)。子宫后位,宫腔镜见宫颈管组织杂乱,宫腔右前壁见假道,器械容易进入假道,宫腔镜直视下充盈膀胱,B超监护下异物钳探查宫腔方向,分离宫颈管上段粘连,扩张宫颈内口,缓慢进入宫腔,顺利取出O型环一枚,宫腔无其他异常。


图片发自160App


图片发自160App


图片发自160App


图片发自160App


图片发自160App


图片发自160App


图片发自160App


图片发自160App


图片发自160App
相关疾病: