困难取环10

张林医生 发布于2026-01-09 09:07 阅读量176

本文由张林原创

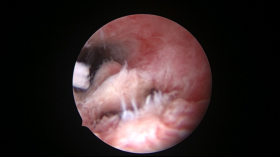
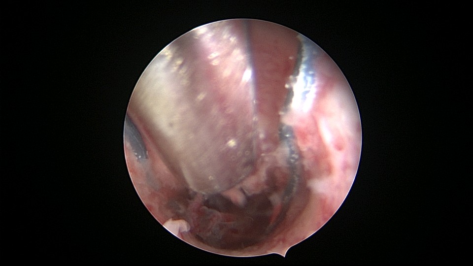
患者48岁,G5P1,剖宫产1次。安环20年,闭经3个月,外院取环失败,形成假道。子宫极度前倾前屈位,宫腔镜见宫颈管上段组织杂乱,左后壁假道,宫腔镜寻找到宫颈内口,艰难进入宫腔,爱母环位置正常,异物钳顺利取出,宫腔无其他异常。


图片发自160App


图片发自160App


图片发自160App


图片发自160App


图片发自160App


图片发自160App
相关疾病: