困难取环8

张林医生 发布于2026-01-08 15:02 阅读量215

本文由张林原创

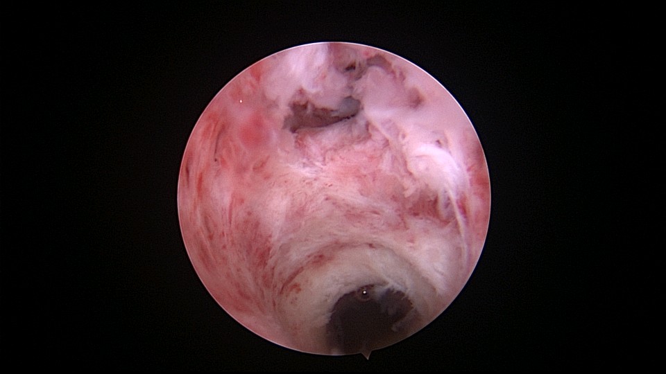
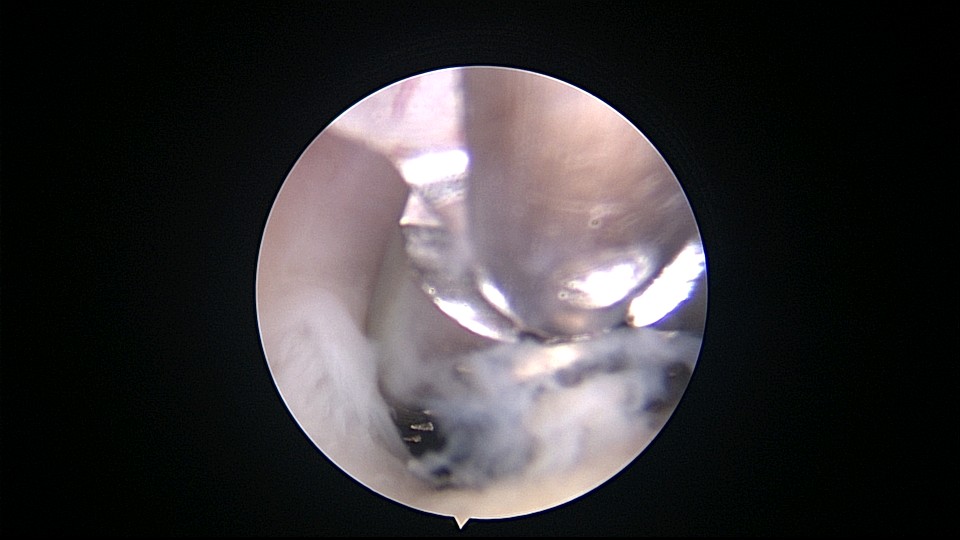
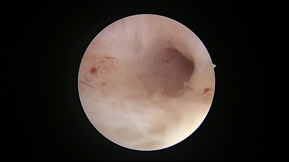
患者56岁,G2P1,剖宫产1次。安环30年,绝经7年,外院取环失败,形成假道。子宫后倾后屈位,宫颈外口萎缩狭小,宫颈管扩张膨大,宫颈管左前壁假道,宫颈内口狭窄坚硬,宫腔镜见宫腔偏向右后方,并向左后侧屈,镜子艰难进入宫腔,O型环位置正常,异物钳取出,宫腔无其他异常。

图片发自160App

图片发自160App

图片发自160App

图片发自160App

图片发自160App

图片发自160App

图片发自160App

图片发自160App
相关疾病: