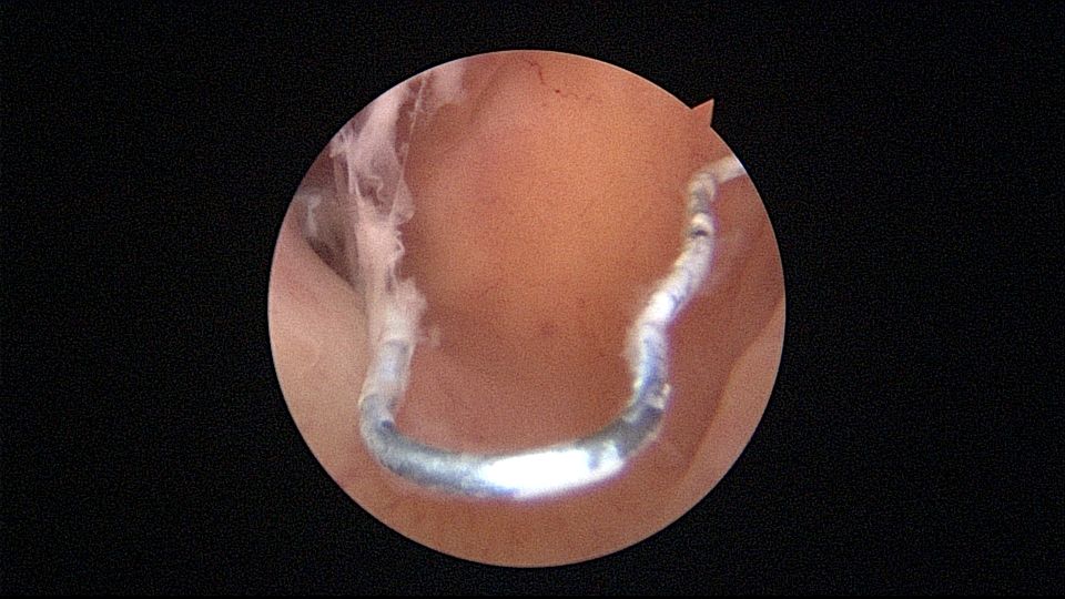
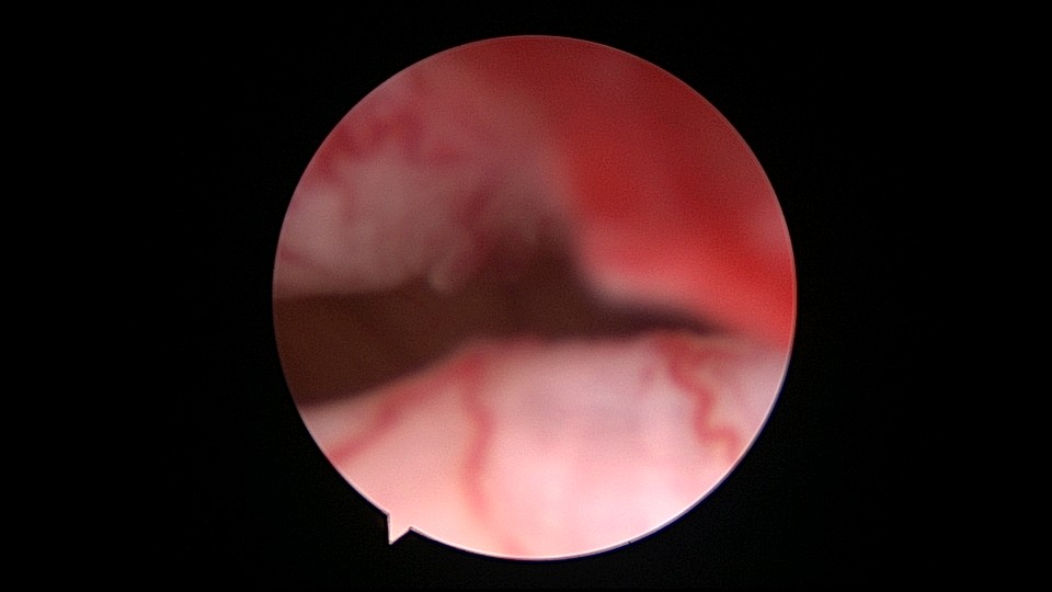
很有意思的一次取环经历:患者33岁,G2P1,剖宫产1次。安环7年,月经淋漓不尽3个月,2家医院取环失败,两次取环时间相隔24天,第二次取环失败后第二天到我院行宫腔镜取环。子宫后倾后屈位,剖宫产切口憩室处组织杂乱,爱母环位置正常,感觉是个比较简单的取环,取环钩探寻节育环,顺利取出。用刮匙准备诊刮,刮匙很容易进入,感觉很深,达13cm,但前面宫腔镜检查没有异常,以为是B超测量子宫有误,或者剖宫产粘连把子宫拉上去了,没有往子宫穿孔方面想,刮匙试探几次均是相同结果,试着刮了几下,没有内膜组织,再次置镜检查,结果镜子进入盆腔,看见网膜脂肪组织。宫颈内口闭塞,花了较多时间也进不去宫腔,穿孔处无出血,盆腔无积血,放弃诊刮。打电话给第二家取环医院的医生,得知前一天取环时感觉穿孔,放弃取环,介绍到我这里宫腔镜取环。分析整个过程,第一家医院在切口憩室处已穿孔,取环失败,穿孔处虽然愈合,却是一个薄弱环节,第二家医院和我们的宫腔镜均在该处进入盆腔,刮匙探查有底,是因为刮匙抵到了骶骨。






