
病例回顾

01
胸闷、气短,检查发现巨大肿瘤

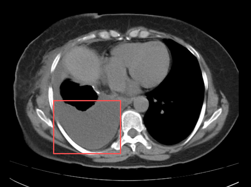
近来,56岁的邹阿姨(化名)活动后反复出现胸闷、气短的症状,到就近医院就诊后,胸部CT检查提示:右侧胸腔内可见约10cm巨大占位,右肺下叶膨胀不全。进一步完善PET-CT检查显示:右侧胸腔背侧占位,FDG代谢不均匀性稍增高,考虑为胸膜来源的低度恶性肿瘤可能大。
由于邹阿姨的肿瘤体积巨大、影像学难以明确肿瘤性质及具体来源,为寻求进一步治疗,邹阿姨来到我院太湖总院胸外科就诊。
02
高风险手术,团队迎难而上
胸外科副主任医师吴献华接诊后,对患者病情进行了全面细致的评估。考虑到肿瘤体积大,已明显影响患者生活质量,且性质不明,无法明确是否来源于胸膜、肺或纵隔;若为胸膜来源,极可能伴随广泛粘连、出血风险高、解剖层次不清。

但如果不及时治疗,患者将长期承受症状困扰,甚至延误病情。胸外科团队迎难而上,在与患者及家属充分沟通后决定手术治疗。术前,团队围绕多种可能情况反复推演手术方案,制定了详尽完备的预案。
术中采用3D单孔胸腔镜技术进行探查。右下肺可见约10cm巨大肿物,明确肿瘤来源后,顺利完成3D单孔胸腔镜下右下肺叶切除术。整个手术在确保肿瘤完整切除的同时,最大程度减少了患者创伤。术后病理结果显示:间叶源性肿瘤,考虑为孤立性纤维肿瘤。
得益于微创手术和规范化围手术期管理,邹阿姨术后恢复顺利,术后第2天即可下床活动,呼吸功能明显改善,术后第5天出院。
孤立性纤维性肿瘤(SFT)
吴献华介绍,孤立性纤维性肿瘤(SFT)是一种起源于间质的孤立性疾病,这种肿瘤可发生在人体的任何部位,但最常见于胸部。早期没有明确或特定的症状,通常在影像学检查时偶然发现。当疾病发展到一定程度时,会逐渐出现呼吸困难、咳嗽、胸痛、咯血或肺炎等症状。治疗上首选手术切除,术后的总体生存率一般较好。
邹阿姨手术的成功,体现了我院医护团队面对困难不回避、面对风险敢担当的医疗精神,在疑难复杂病例面前,用实际行动为患者托起生命与希望。

专家简介


来源:胸外科 王子辰
编辑:陶然
审核:宣传部
苏州市立医院
南京医科大学
附属苏州医院

博爱 | 诚信 | 敬业 | 创新