2024年初春的深圳,诊室里的空气带着一丝凝重。
眼前的倪女士她全口牙龈红肿一碰就出血,多颗牙甚至能轻轻晃动——这是我从医20多年来,见过最严重的慢性牙周问题之一。
“林博,我爸妈9年前在您这儿种的牙,现在还好好的。这次实在没办法了,只能再麻烦您......”倪女士的声音带着焦虑,她刚从1.2千公里外的江苏赶来,手里紧紧攥着当地医院的检查单。
横跨1.2千公里:只为“抢救”1.59mm的牙槽骨

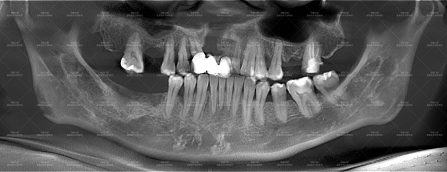
倪女士治疗前CT片检查:
全口牙槽骨:不同程度吸收
牙缺失:12、16、26
继发龋+根分叉病变:47
残根+根尖周炎:46
牙结石:全口牙齿
初见倪女士时,她的口腔状况让我揪心!
牙龈红肿得厉害,轻轻一碰就出血;牙齿上堆满了黄黑色的牙结石,说话时都能看到;更严重的是,不少牙齿周围的“缝隙”(医学术语:牙周袋)深到10毫米——要知道,健康的牙周袋最多3毫米,超过这个数,就像城墙地基被蛀空,牙齿早晚会松动脱落。
口腔CT片更直观地暴露了问题:支撑牙齿的骨头(牙槽骨)几乎被“啃”掉了三分之二,最薄的地方仅1.59mm......
患者术前牙槽骨最“薄”处仅1.59mm
更麻烦的是,她还有几颗牙蛀得很深,牙齿排列歪歪扭扭,不仅影响吃饭,连种牙的空间都不够,只能牙周正畸联合治疗才能达到做种植牙的手术标准
半年的“闯关”:先稳住松动的牙,再做矫正排齐
“你这牙周炎拖太久了。”我指着CT片上发黑的区域解释:“治疗的第一步,是给摇摇欲坠的牙齿‘止血固基’,刮掉那些藏在“缝隙”里的顽固结石和细菌”。
“只要能治好,能像我爸妈那样正常吃饭,再辛苦都值!”
倪女士眼里的光暗了暗,又很快亮起来。
持续治疗多月后,2024年8月复查显示她的牙龈不肿了,出血也少了,那些深达10毫米的"缝隙"缩到了5毫米以内——炎症终于被控制住了。
但新的问题来了!倪女士的牙齿歪得厉害,有的地方空隙太大,有的又挤在一起就算炎症好了也无法直接种牙,尤其是16、26号牙位的修复空间严重不足,需要通过矫正排齐。
“得先把牙齿排整齐,给未来的种植牙腾地方。”我指着CT全景片告诉倪女士说:“而且你的牙槽骨太薄了,矫正时力必须精准控力,不然牙齿可能直接脱落”。
倪女士毫不犹豫地答应配合接下来的治疗。
于是,我们用了隐形牙套(隐适美),每次加力都像给嫩芽松土,小心翼翼地调整牙齿位置,到2024年11月牙齿终于排到了适合种牙的位置。

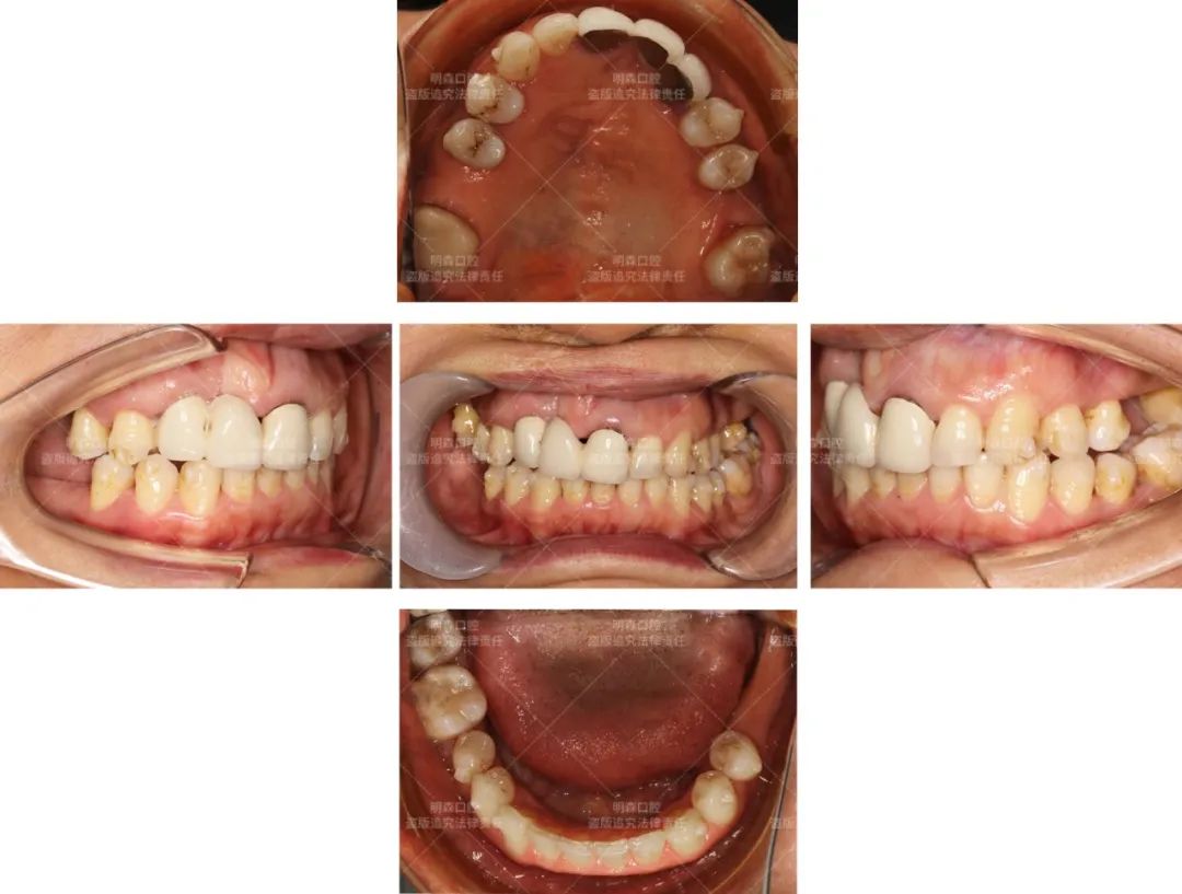
经过多月治疗炎症明显改善:
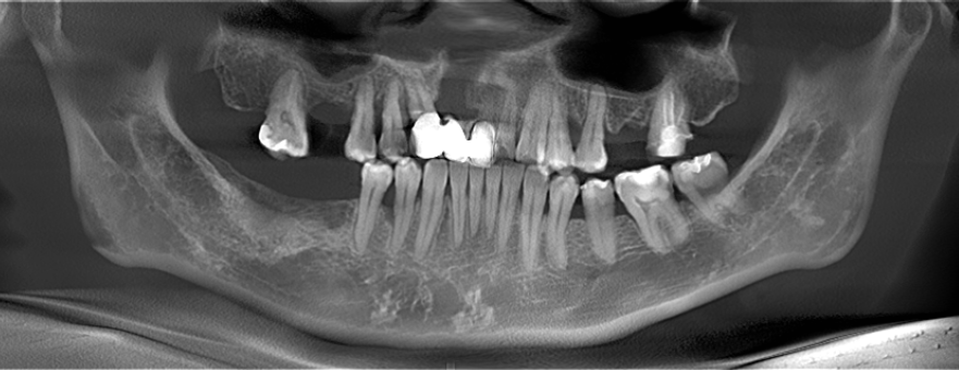
患者CT全景片中的阴影明显淡化,牙齿矫正后已排列好。

患者控制牙周炎+矫正后的口内照:
现在倪女士牙缝收紧,牙齿也相应变得更整齐,16、26号牙位的空间已经充足。
2025年:精密“重建”牙槽骨厚度完成种植牙
时间来到了2025年5月,但CT片显示倪女士16号牙的骨量只有1.59mm太少了,这远远还达不到做种植牙的条件!
我指着CT片给倪女士制定治疗计划:“你上颌窦(鼻子旁边的空腔)离骨头太近,得把这个空腔轻轻往上推一点,再填上人工骨粉,等骨头长好才能种牙”。
5月24日手术那天,倪女士紧张得手心冒汗,我握着她的手说:“你父母当年种牙也紧张,现在不也好好的?放心,我们一步一步来”。
手术时,我先在她牙龈上开了个小口子,小心翼翼地把上颌窦的黏膜往上抬(这就是上颌窦内提升术),再填入0.5克进口骨粉,用生物膜像盖被子一样盖住,防止骨头长歪。
下颌另外两颗骨头条件好的位置(46、47号牙),则直接种上了种植体。 整个手术用了1个多小时,结束后拍CT确认:三颗种植体都稳稳地“长”在了新填的骨头上。

患者在做种植牙术前的ct片

患者做了种植牙后的ct片
如今,倪女士的种植体已经开始和骨头长在一起,16号牙的骨量从1.59mm增长到10.57mm,再过几个月就能装上牙冠。

术前术后ct对比:牙槽骨从1.59mm增厚至10.57mm
从江苏到深圳1.2千公里的距离,隔不断的是信任——就像她父母当年说的:“把牙交给你,我们放心。”而这份对明森口腔的信任,又传到了女儿身上。

收到患者及家属的感谢
注:本文章为医疗健康科普为目的,不能替代任何个人的医学诊断方案。如有不适请及时前往正规医疗机构就诊。