大家好!我是拥有超过20,000颗种植牙经验的林俊生博士。今天我将与大家分享一例尖牙区种植的案例。
尖牙区种植案例在临床上较为常见,但由于修复空间有限,种植空间也十分紧凑,这为手术操作带来了很大挑战。
患者是一位37岁的女性,左上尖牙已缺失3年,并寻求种植修复。在此之前,患者咨询过许多医生,一直犹豫不决,最后带着疑问找到了我。


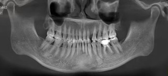
(术前CT)CT检查显示尖牙区牙齿缺失
案例难度:
1. 由于解剖结构的限制,尖牙区邻牙间隙较窄,且靠近重要解剖结构,这要求术者必须进行非常精准的种植,对技术要求很高。
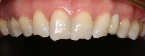
2. 23左上尖牙属于美学区种植,对牙齿的外观、色泽、饱和度等有较高要求。
3. CBCT显示:水平骨量不足3.5mm。
通过术前SAC评估,我们发现患者种植手术最大的困难是由于解剖结构的限制,尖牙区邻牙间隙较窄,且靠近重要解剖结构,这要求术者必须进行非常精准的种植,对技术要求很高。
术前设计:
在与患者充分沟通后,我以微创和美学为导向进行了术前设计。尖牙区骨量充足,满足种植条件,重新设计了修复形态和位置。
治疗计划:
1. 患者可选择23左上尖牙种植、活动义齿或固定桥修复,患者选择了种植修复。
2. 根据ITI指南种植体三维位置要求,我们选用了安卓健Axiom® 2.8窄直径种植体。


通过这个案例,我们可以看到,尽管尖牙区种植具有一定的挑战性,但通过精确的术前评估和手术设计,我们可以取得良好的治疗效果。