骨软骨瘤是发生在骨表面的被覆软骨的骨性突起,是最常见的良性骨肿瘤,发病率占良性骨肿瘤的40%-50%,。骨软骨瘤常分为单发性与多发性两种,单发性骨软骨瘤又称外生骨疣,多发性骨软骨瘤亦称为遗传性多发性骨软骨瘤、骨软骨瘤病(Osteochondromatosis)、骨干续连症(Diaphyseal aclasis),目前多数学者称之为遗传性多发性骨软骨瘤。
一、临床特点
1.年龄
本病好发于青少年,10~30岁患者占70%~80%。
2.性别
单发性骨软骨瘤男女发病率无明显差异,遗传性多发性骨软骨瘤男性则多于女性,男女发病率约为2~3:1。
3.部位
多见于四肢长骨干骺端,下肢多于上肢,尤以股骨下端、胫骨上端、肱骨上端最为多见,也可见于肩胛骨、髂骨等。
4.症状与体征
一般无自觉不适症状,常因为无意中发现皮下硬性包块而就诊。当肿瘤过大,或生长于特殊部位时,可以压迫邻近的血管、神经,从而产生相应的临床症状。例如胫骨近侧干骺端的骨软骨瘤可能压迫腓总神经而产生足部感觉及活动障碍。遗传性多发性骨软骨瘤可以造成骨骼畸形或关节活动受限。
二、影像学特点
1.X线特点
典型表现为从长骨干骺端向外突出的指状或类圆形骨质,以窄蒂或宽蒂与长骨相连,肿瘤突起的表面为软骨覆盖,一般不显影,有时可见钙化影。
2. CT检查:
对于解剖较复杂的部位,如骨盆、肩胛骨可行CT检查,准确了解肿瘤大小及范围,并可根据肿瘤影像特点、增强程度、钙化程度与骨膜软骨肉瘤进行鉴别诊断。
三、病理学特点
1.大体
骨软骨瘤由骨松质、软骨帽及纤维膜三部分构成,自干骺端向外生长,一般借蒂部与长骨相连。软骨帽平均厚度6mm,极少超过1cm。
2.镜下
可见典型的三层结构:(1)软骨膜-薄层胶原纤维;(2)软骨帽:成熟透明软骨,与关节软骨形态相似;(3)成熟骨小梁。
四、鉴别诊断
1.软骨肉瘤
最常见的症状为逐渐加重的疼痛,以及进行性增大的包块。X线检查可见边界模糊的不规则溶骨性破坏,可突破骨皮质形成软组织肿块,肿瘤内可见棉絮状的钙化影。当骨软骨瘤在成年后又恢复生长时,应考虑软骨肉瘤可能。
五、治疗及预后
一般不需治疗。如发现肿瘤生长加快,或出现临床症状时,应将肿瘤整体切除,以免复发。
单发性骨软骨瘤约有1%发生恶变,遗传性多发性骨软骨瘤恶变率约为10%~20%,位于躯干骨(骨盆、脊柱、肩胛骨等)者尤高。
六、典型病例
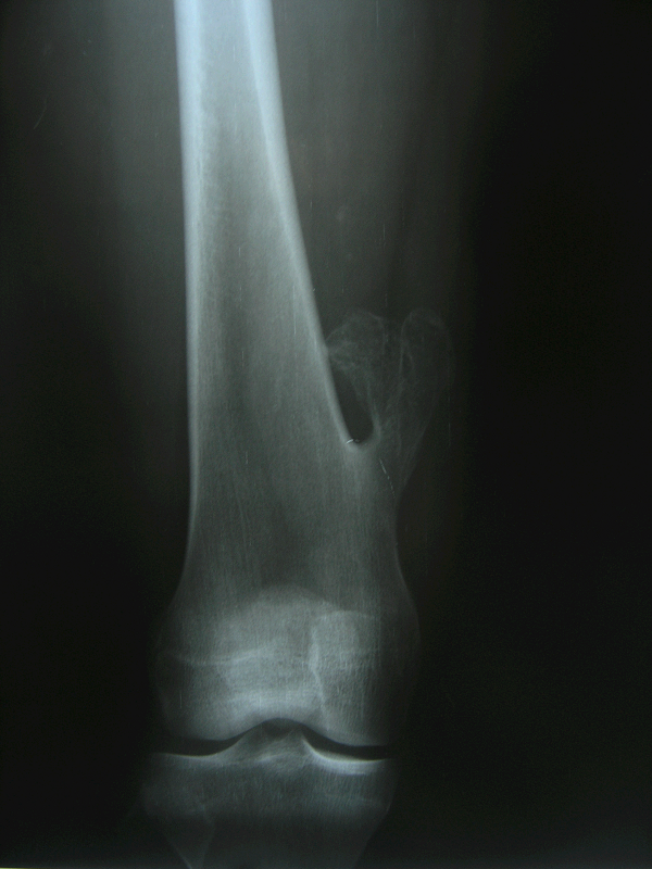
1.病例1: 女 16岁 右股骨下端骨软骨瘤
图 1 术前X线片
a:正位 b:侧位


图 2 术后X线片

图 3 组织学特点:见表面纤维膜,软骨帽
及海绵状骨质三层结构

2.病例2: 男 14岁 多发性骨软骨瘤
图 4 左肱骨近段病灶

图 5 右肱骨近段病灶

图 6 双股骨远端病灶(正位)

图 7 双股骨远端病灶(侧位)

图 8 双胫骨近端病灶(正位)

图 9 双胫骨近端病灶(侧位)
