软骨粘液样纤维瘤的发病率很低,是一种起源于成软骨性结缔组织,呈现粘液及软骨特征的良性骨肿瘤。首先由Jaffe将其与其它肿瘤相区分,并命名为“软骨粘液样纤维瘤”。
一、临床特点
1. 年龄
软骨粘液样纤维瘤好发于5~30岁。
2.性别
多发于男性,男女之比约为2:1。
3.部位
多见于下肢长管状骨干骺端,其中胫骨近端最常见,其次为股骨、腓骨、骨盆。
4. 症状与体征
起病缓慢,临床症状较轻,大多数是偶然发现,或出现病理性骨折时发现。部分患者因疼痛、肿胀及关节活动受限而就诊。
二、影像学特点
1.X线特点
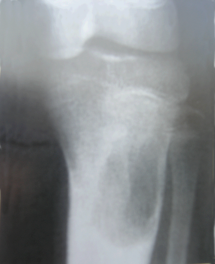
典型X线表现为长骨干骺端圆形或椭圆形溶骨性破坏,常有斑点状钙化,呈偏心性,骨皮质膨胀变薄,病损长轴与病骨长轴平行,病灶边缘清晰,周围可见反应性硬化带。肿瘤内部有时出现的粗细不等的骨性间隔,类似于骨小梁,系因肿瘤呈分叶状生长,骨皮质膨胀性破坏不均匀所致,又称为“假性骨小梁形成”。
2.CT检查
CT扫描可将含有多种组织成分的溶骨性病变更清楚地显示出来,并能发现局限性骨皮质破坏及软组织肿块,有助于制定手术方案。
3.MRI检查
病灶边界清楚,T1加权相呈低或中等信号,T2加权相呈混杂信号,高信号为软骨、粘液,低信号为纤维组织,增强后部分或全部不规则强化。此外,MRI常显示肿瘤有局限性骨皮质破坏及软组织肿块,但并不一定是恶性表现。
三、病理改变
1. 大体
肿瘤呈灰白及淡蓝色,以粘液组织为主的呈胶冻样,以软骨组织为主的质地较韧,松脆。
2. 镜下
四、鉴别诊断
1.骨巨细胞瘤
好发于20~40岁,肿瘤常位于长管状骨的骺端,偏心性、膨胀性生长,边缘无硬化带。
2.非骨化性纤维瘤
好发于长骨的干骺端,一般体积较小,呈椭圆形、偏心性,周围硬化带明显。
3.骨囊肿
好发部位为肱骨及股骨近端,中心性、膨胀性生长,边缘硬化带明显。
4.粘液性软骨肉瘤
最常见的症状为逐渐加重的疼痛,以及进行性增大的包块。X线检查可见边界模糊的不规则溶骨性破坏,可突破骨皮质形成软组织肿块,肿瘤内可见钙化影。组织学检查可见异形性明显的肿瘤细胞。
五、治疗和预后
本病必须手术治疗,一般行病灶刮除自体或异体骨移植术。
本病为良性肿瘤,刮除不彻底可复发,其复发率达25%。多次复发的肿瘤会有一定的侵袭性,虽然病理改变仍为良性,但是在治疗上宜参照恶性肿瘤行广泛切除术。
六、典型病例
患者 男 15岁 左胫骨近段软骨粘液样纤维瘤
图 1 术前X线片
a:正位 b:侧位


图 2 组织学特点:肿瘤组织呈分叶状,
小叶内为明显粘液样组织,小叶
间为圆形、梭形细胞。
