骨恶性纤维组织细胞瘤是一种相对少见的恶性骨肿瘤,由多潜能间叶细胞发生,向组织细胞、纤维细胞两个方向分化,无成骨能力。
一、临床特点
1.年龄
自幼年到老年均可发病,多见于成年人,平均发病年龄为40岁。
2.性别
男性多于女性,其比例约为3:2。
3.部位
好发于四肢长骨。以股骨及胫骨干骺端或骨干为最多见,颅骨、下颌骨以及椎体亦有发生。
4.症状与体征
多数发展缓慢,主要症状是局部疼痛和逐渐长大的肿块,局部可有压痛。如关节活动受限,则有可能肿瘤侵及关节。病人突然发生剧痛,可能为病理性骨折,病理骨折的发生率可占全部病人的30~50%。
二、影像学特点
1.X线特点
表现为单纯的溶骨性骨组织破坏,常呈浸润性生长,边缘模糊。常见有骨皮质破坏和软组织包块,但无明显骨膜反应,病理性骨折较常见。如发生在脊椎者,常伴有椎旁软组织肿胀,与脊椎结核相似,但其椎间隙正常。
2、MRI特点
T1加权像呈中等信号强度,T2加权像可呈低信号(肿瘤组织内胶原纤维含量较多),也可为高信号(肿瘤组织内细胞成分多而胶原纤维含量少)。
三、病理改变
1.大体
肿瘤边界不清,切面呈灰白色鱼肉样,间杂有黄色及出血坏死灶。
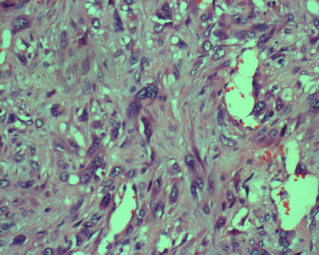
2.镜下
肿瘤由发生间变的组织细胞和纤维细胞构成,同时可见多核巨细胞和炎症细胞。伴有散在坏死出血灶。
四、鉴别诊断
1.骨纤维肉瘤
多见于青少年。中央型:以疼痛为主,X线表现在骨髓腔内常呈一个边缘参差不齐的囊样阴影,无扩张现象,可见骨皮质破坏,骨膜反应少。骨膜型:早期局部有较大软组织肿块,无疼痛,后期才出现疼痛。X线表现:在骨干旁呈一较大软组织阴影,邻近骨皮质缺损,肿瘤影两端有codman三角,镜检见骨纤维肉瘤由肉瘤性成纤维细胞及胶原纤维构成。
2.溶骨性骨肉瘤
病人年轻、最早出现的临床症状是疼痛,多为隐痛、持续性,夜间痛较白天明显,瘤体较大时可出现皮肤表面静脉怒张现象,碱性磷酸酶升高。X线表现呈溶骨性改变,有软组织肿块及骨膜反应,可见codman三角。瘤体可呈粉红色“鱼肉样”改变。镜下可见多形性和异形性明显的肿瘤细胞,以及由它直接形成的肿瘤性骨样组织及骨小梁。
五、治疗及预后
以手术治疗为主,手术方法的选择取决于组织学分级和解剖部位。对范围局限、分化高的肿瘤,可行瘤段广泛切除术。对破坏广泛、低分化或术后复发病例,需行截肢术,并辅以全身化疗;亦可按骨肉瘤治疗方法先行术前化疗,再行瘤段广泛切除术。本病对放疗不敏感。
本病恶性程度较高,易发生远处转移特别是肺转移,预后较差。有文献报道骨恶性纤维组织细胞瘤伴明显硬化者5年生存率为20%,而富于炎症细胞浸润者5年生存率达78%。
六、典型病例
患者 女 48岁 右肱骨上段恶性纤维组织细胞瘤并病理性骨折
图 1 术前X线片

图 2 术后X线片

图 3 组织学表现: 瘤细胞呈多形性改变,
有梭形、圆形、多边形,可见核明
显异型的多核巨细胞。
