肌内粘液瘤(Intramuscular myxoma)
肌内粘液瘤是一种分化不确定的良性软组织肿瘤,其特点是:肿瘤间质有丰富粘液,其中有良性梭形细胞,血管稀少。
一、临床特点
肌内粘液瘤发病率很低,女性发病多于男性,多发生于40~70岁年龄段。常见发病部位为:大腿、肩部、臀部及上臂肌群。
临床表现为肌肉内生长缓慢的无痛性肿块。肿块边缘非常清楚,有张力感,质地偏硬,可活动,无压痛,局部皮肤正常。因肿瘤位于大块肌肉内,位置深且无疼痛,不易引起病人注意,就诊时肿物常已较大。
二、影像学特点
X线照片无异常表现。MRI显示肿瘤边界非常清晰,T1WI为低于肌肉的低信号,T2WI为均匀高信号,增强后T1WI有明显不均匀强化。
三、病理学改变
1.大体
瘤体被肌肉完全或部分包裹。为单发性,呈球形或椭圆形外观,边界清楚,肿瘤外周常有一层薄的假膜覆盖。肿瘤表面光滑,呈灰白色,剖面上类似于冻鱼肉样外观,一般无出血现象。
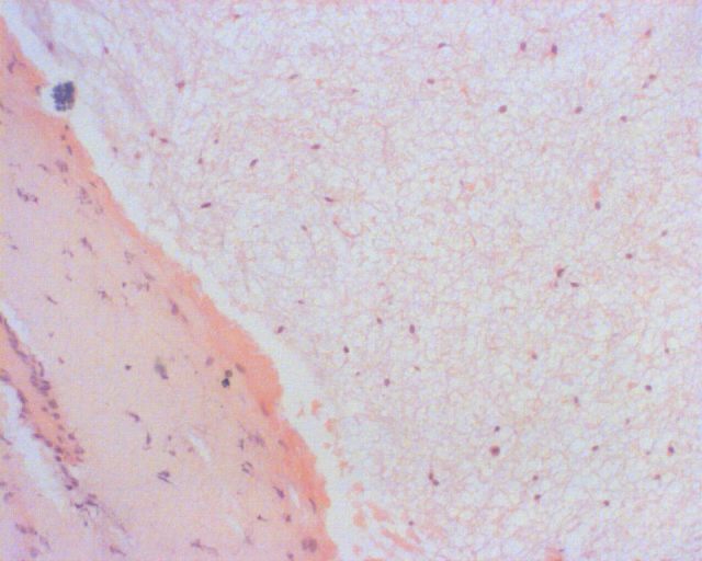
2.镜下
显示为均质性的细胞成分少的粘液组织,细胞呈梭形或星形,核较小,胞浆嗜酸性。细胞间有丰富的粘液样间质,粘液中存在稀疏和菲薄的嗜银网状基质,极少含有胶原纤维,血管细微而稀少,肿瘤的边缘有纤维性包膜,有时欠清楚,易与萎缩退化的肌肉组织混淆。
四、鉴别诊断
肌内粘液瘤应与粘液型脂肪肉瘤、恶性纤维组织细胞瘤、葡萄状横纹肌肉瘤及粘液型软骨肉瘤等进行鉴别,除不同临床特性外,这些肿瘤还显示:细胞数多及细胞多形;肿瘤血供丰富;特殊的细胞成分。
五、治疗与预后
手术切除是肌内粘液瘤唯一的治疗方法,边缘切除易行且预后良好,术后极少复发。
六、典型病例
患者,男,40岁,左臀部肌内粘液瘤

MRI-T1WI

MRI-T2WI

MRI增强像

组织学特点:大量的粘液样物中散在少许梭形、星形、圆形的瘤细胞。