脊索瘤起源于胎儿脊索的残余,约占原发性恶性骨肿瘤的1~4%,是骶尾部常见的原发性肿瘤,男女发病比例约为2~3:1,常见于50岁以上老年患者,半数以上的脊索瘤位于骶骨和尾骨,其余的分别位于颅骨基底部和脊柱其它部位。
一.临床特点
1.年龄
好发于成年人,50岁以上多见。
2.性别
男性多于女性,约为2~3:1。
3.部位
半数以上的脊索瘤位于骶骨和尾骨,其余的分别位于颅骨基底部和脊柱其它部位。
4.症状与体征
初期症状为轻度不适,随着肿瘤增大症状逐渐加重,主要表现为腰骶部疼痛,多为胀痛,随着肿瘤的生长,压迫到马尾神经,疼痛可放散至臀部或下肢,常被误诊为腰椎间盘突出,严重病例可有大小便功能障碍。早期病例体检时外观无变化,晚期或多次手术复发的病例可以见到骶尾部隆起的包块,会阴部感觉出现障碍,骶尾部可有压痛及叩击痛。肛门指诊对于骶骨脊索瘤非常重要,常可以触及骶前包块,突入直肠内。
二.影像学特点
1. X线特点
由于和腹部器官重叠的原因,早期X光片可能没有阳性发现,因此对于怀疑骶骨脊索瘤的病人一定要在灌肠后拍X光片,典型的X光片上可以看到骶骨溶骨性破坏,可以发生在骶1-骶5的任何范围,边界不清,没有周围硬化带,其内有时可见散在的钙化点。
2. CT表现
CT对于早期病例的诊断有较大意义,对于怀疑骶骨脊索瘤的病例可以行CT扫描以明确诊断。CT可见肿瘤膨胀性生长,较大时可以突破骶骨,呈偏心性生长,在骶前形成软组织包块,骶骨破坏区呈溶骨性改变,周围没有骨质硬化现象,肿瘤呈低密度或中等密度, 瘤腔内可以有分隔及钙化点。
3. MRI表现
肿瘤边界清楚,边缘无低信号硬化带,瘤体在T1加权呈低信号或等信号,在T2加权呈高信号,多数信号不均匀,呈高低不等的混杂信号。
三.病理改变
1.大体
见肿瘤呈灰红到灰白色,质地较软而脆,呈分叶状或结节状,有较多的粘液组织,可见瘤内出血点。
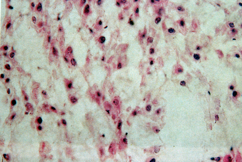
2.镜下
可见瘤细胞散在粘液组织中,细胞呈空泡状,细胞体积较大,细胞核位于中央,胞浆空泡内含有较多粘蛋白,可以用粘蛋白特殊染色而显色,往往可以见到不同程度分化的软骨。
四.鉴别诊断
1. 骨巨细胞瘤
骨巨细胞瘤发病年龄较轻,常为20-40岁成年人,临床症状与体征很难与脊索瘤鉴别,X光片可见溶骨性破坏,周围有时可以看到硬化区,CT片可见瘤腔内有明显分隔,周围有硬化带。少见瘤内钙化点。
2. 神经鞘瘤及神经纤维瘤
骶前神经鞘瘤与神经纤维瘤X光片常无明显改变,CT可见边界清楚的骶前包块,瘤体密度较高,MRI常呈均质的低信号。
五.治疗及预后
骶骨脊索瘤治疗较为困难,虽然骶骨脊索瘤为低度恶性,转移较少,但易局部复发,而反复复发的病例可能导致转移, 因此,应尽量做到瘤外的完整切除。对于骶4以下的小肿瘤可以采用单纯后路手术切除,对于侵及骶2的肿瘤,常采用前后联合入路手术切除,首先通过前路,结扎双侧髂内动脉以减少手术中出血,分离肿瘤前方边界,在后路手术中,保护双侧骶2以上的神经根,行骶骨部分切除。对于侵及骶1以上的脊索瘤,治疗非常困难,国外有采用骶骨全切方法,但必然牺牲全部的骶神经根,术后遗留下肢功能障碍及大小便功能障碍,而瘤内切除肿瘤导致极高的复发率。一般来讲,手术只要能够保留一侧骶1~3神经根,术后大小便功能多可保留,保留双侧骶1~2神经根,多数病人不会造成大小便和下肢功能障碍。对于侵犯到骶髂关节的病人,手术切除后常常需要进行脊柱稳定性重建,避免脊柱下沉。
瘤外完整切除是治疗骶骨脊索瘤的关键,可以有效地降低术后复发率,而瘤内切除或术中不慎打开瘤腔,将导致术后复发,反复多次复发的病例肿瘤可能生长巨大,外观可见骶尾部巨大包块,肿瘤向盆腔生长,有时几乎可以将整个盆腔占据,病人痛苦万分。反复复发的病例导致肿瘤全身转移,威胁病人生命。局部放疗对于骶骨脊索瘤有一定的帮助,可以作为术后辅助性手段应用,但放疗后导致局部粘连严重,为可能的再次手术带来很大的困难。脊索瘤对化疗不敏感,因此,全身化疗很少使用。
六.典型病例
患者 女 27岁,骶骨巨大脊索瘤。
图 1 术前CT

图 2 术前肿瘤外观

图 3 术中刮除之肿瘤组织

图 4 组织学表现:瘤细胞胞浆较多,淡染,可见空泡,核有异形。
