这是一个非常常见且重要的问题。对于老年人半月板撕裂是否应该手术,没有一个绝对的“应该”或“不应该”的答案,答案完全取决于“个体化”评估。
核心原则是:治疗的是“人”,而不是“核磁共振片子上的撕裂”。 手术与否,是生活质量、症状严重程度、身体状况和患者个人意愿的综合权衡。
我们可以从以下几个关键维度来分析和决策:
一、首先,明确“半月板撕裂”在老年人中的特殊性
1. 多为退行性撕裂:年轻人的半月板撕裂多是运动损伤(急性撕裂),而老年人的撕裂常常是随着年龄增长,半月板本身老化、变脆,在轻微活动(如蹲起、转身)中发生的退行性撕裂或复合撕裂。
2. 常伴有骨关节炎:很多老年人的膝盖本身已经有不同程度的软骨磨损(骨关节炎)。半月板撕裂可能是关节炎进展的一部分,而不仅仅是孤立的问题。
3. 愈合能力差:半月板血供差,尤其是老年人,自我修复能力很弱。
二、决策的关键考量因素(医生通常会全面评估)
1. 症状的严重程度(这是最重要的指标)
· 疼痛:是否疼痛剧烈,严重影响日常生活、走路、睡眠?保守治疗(如药物、理疗)后是否无法缓解?
· 交锁:膝盖是否经常“卡住”动弹不得,需要手动晃动或休息一段时间才能解锁?这是手术的一个较强指征。
· 打软腿:走路时是否突然感觉膝盖无力、要跪倒?
· 肿胀:是否反复出现关节积液、肿胀?
· 功能障碍:是否无法完成上下楼、蹲厕、短距离行走等基本生活动作?
2. 患者的整体健康状况和活动水平
· 年龄与生理状态:实际“生理年龄”比“日历年龄”更重要。心、肺、肾等主要脏器功能能否耐受麻醉和手术?
· 活动需求:患者是喜欢散步、旅游、带孙子,还是主要以静坐为主?高活动需求者可能更需要手术来解决机械性症状。
· 体重:体重过大会增加关节负荷,影响保守治疗效果和手术预后。

3. 膝关节的总体情况
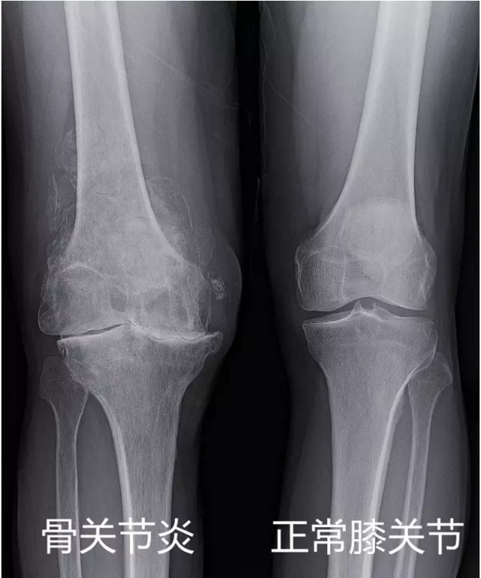
· 关节炎的严重程度:这是决定性因素之一。如果X光片显示关节间隙已经严重狭窄,软骨磨损殆尽,那么单纯的半月板手术效果可能很差,因为疼痛主要来源于关节炎。此时可能需要考虑膝关节置换术,而不是单纯的半月板手术。
· 撕裂的类型和位置:有些类型的撕裂(如桶柄状撕裂伴交锁)更可能需要手术;有些则相对稳定。
4. 保守治疗的效果
· 是否已经进行了足够时间和规范的保守治疗?(通常建议至少3-6个月)
· 保守治疗包括:休息、冰敷、口服或外用消炎镇痛药、物理治疗(强化大腿股四头肌等周围肌肉)、关节腔注射(如玻璃酸钠、皮质类固醇)、调整活动方式等。
· 如果规范保守治疗后,症状依然严重影响生活,那么手术的价值就大大增加。
5. 患者的个人意愿和期望值
· 患者对疼痛的耐受度。
· 对生活质量的期望。
· 对手术风险和恢复过程的恐惧与接受程度。
三、手术 vs. 保守治疗:利弊分析
治疗方案 优点 缺点 / 风险
保守治疗 无手术麻醉风险,无创伤,费用低。通过强化肌肉,对膝关节长期健康有益。 效果可能不彻底,症状可能持续或反复。无法修复已撕裂的半月板。
关节镜手术 (部分切除/修整) 微创,能有效解除交锁、打软腿等机械症状,缓解疼痛。恢复相对较快。 麻醉风险(虽低但仍存在)。微小感染、血栓风险。可能加速关节退变(因切除部分减震垫)。效果不持久,关节炎本身会继续发展。
关节镜手术 (缝合修复) 保留了半月板组织,理论上更有利于保护关节。 老年人退变性撕裂的愈合率很低,通常不适用。恢复期长,限制负重。
膝关节置换术 如果关节炎是主要问题,这是根治性方案,能显著缓解疼痛,改善功能。 大手术,创伤大,风险高,恢复期长(数月到一年)。有假体相关风险。

四、一般性建议路径(供参考,请务必咨询医生)
1. 优先尝试保守治疗:对于绝大多数无交锁、疼痛可忍、关节炎不重的老年退变性半月板撕裂,首选规范保守治疗。加强股四头肌力量是核心。
2. 考虑手术的情况:
· 经过充分保守治疗(3-6个月)后,疼痛、交锁等症状仍严重困扰生活。
· 频繁发生关节交锁或顽固性积液。
· 患者身体状况良好,活动需求高,且影像学显示关节炎不严重。
· 医生评估后认为撕裂是导致症状的主要原因,且手术可能带来明确改善。
3.可能不适合单纯半月板手术的情况:
· X光显示严重的骨关节炎(关节间隙几乎消失)。此时半月板手术意义不大,应直接考虑关节置换评估。
· 患者身体状况差,无法耐受麻醉和手术。
· 症状轻微,对生活影响不大。

给您的最终建议
1. 带上您所有的资料(尤其是最近拍的X光片和核磁共振片子),去正规医院的骨科或运动医学科就诊。
2. 与医生进行一次深入的沟通,向医生详细描述您的症状(怎么疼、什么时候疼、影响做什么),并告诉医生您的生活方式和期望。
3. 让医生为您进行全面评估,并结合您的具体情况,详细解释:
· 您的症状主要来自半月板撕裂,还是关节炎?
· 如果手术,具体做什么方式?预期效果如何?不手术会怎样?
· 手术和保守治疗各自的风险与收益是什么?
总结而言: 如果关节炎不重,症状以半月板引起的机械性问题(交锁、卡顿)为主,且保守治疗无效,身体状况允许,那么手术是一个很好的选择。如果关节炎已经很严重,或者症状轻微,那么加强康复锻炼、控制体重、药物止痛等保守治疗是更合理的选择。
请务必在专业医生的指导下,做出最适合您或您家人具体情况的选择。祝早日康复!