踝关节骨折的微创治疗1

李文翠医生 发布于2024-03-29 17:02 阅读量450

本文由李文翠原创

踝关节骨折的传统治疗

踝关节骨折是一个常见的损伤,因为是负重关节,所以严格的复位是非常至关重要的。传统的治疗是切开复位内固定。因为是皮包骨的地方,切口比较明显,大切口偶尔会导致钢板外露、愈合不良。

微创治疗

因为有关节镜的介入,有些踝关节骨折可以通过关节镜复位,然后利用Mippo技术进行内固定,以很小的切口获得最大的收获,既美观创伤又小。

该图片可能引起不适

继续查看

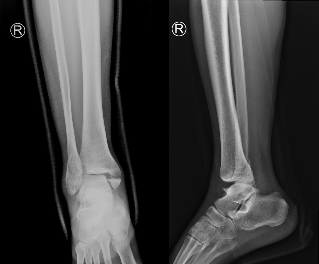
1523602633.png

术前骨折照片

该图片可能引起不适

继续查看

1523602634.png

术后皮肤照片

该图片可能引起不适

继续查看

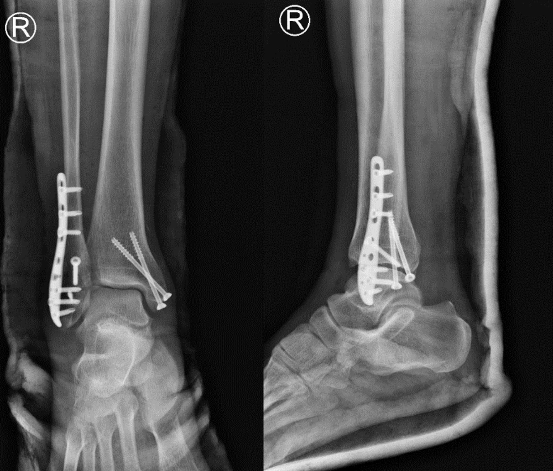
1523602647.png

骨折复位固定照片


相关疾病: