肺部磨玻璃影与肺结节有何区别?如何应对?1

周晓医生 发布于2024-08-19 10:01 阅读量1226

本文由周晓原创

随着健康体检的胸部CT检查的普及,越来越多的肺部结节和肺部磨玻璃影被发现,它们有哪些区别呢?我们应该如何应对他们呢?

该图片可能引起不适

继续查看

hdImg_19a7c3840c0dfdc7ad9aae6d8703888f1625270088080.jpg

首先,给大家科普一下肺结节!


肺结节它是影像学上的定义,并不是一个临床诊断,它指的是咱们人体肺组织内小于3cm的类圆形高密度影,它是一个统称,很多疾病都可以表现为肺结节,比如炎症、粉尘沉积、结核、尘肺、癌症等,都是可以表现为肺结节的;对于小于1cm的肺结节,我们又称之为肺小结节影;小于5mm的,又称之为肺部微小结节影。


肺结节一般包含了三种类型,也就是磨玻璃结节、实性结节和混合密度结节;混合密度结节指的是既包含了实性成分,又包含了磨玻璃成分的结节。


通常来说,肺结节以老年人多见,因为随着年龄的增长,人体肺组织在经过几十年的使用之后,开始逐渐老化,所以结节更加容易形成。


不过一个有意思的现象是,越来越多的中青年女性胸部CT检查发现肺部结节(尤其是肺部磨玻璃结节)!


该图片可能引起不适

继续查看

1625270124981_02dcf630j00qujlvz0079c000xc00m8m.jpg


什么又是肺磨玻璃影呢?


肺部磨玻璃影也是一个影像学上的概念,它指的是肺组织密度轻度升高,呈现磨砂玻璃样的改变,在磨玻璃病灶的内部,一般是可以看到血管纹理和支气管影像的。磨玻璃影不仅仅表现为结节,它也可以表现肺部弥漫性的改变,呈片状或者斑片状改变。


那么人体肺组织内为什么会出现磨玻璃影,磨玻璃影的本质其实是肺间质改变。在肺部,可以引起磨玻璃影改变的疾病是非常多的,比如说肺水肿、各类肺炎、病毒性肺炎、急性间质性肺炎、病毒肺炎等,都是可能表现为肺部磨玻璃影的。


当然,早期的肺癌也是可以表现为磨玻璃影,不过早期的肺癌形态一般都是比较规则的(表现为类圆形),所以一般我们又称之为磨玻璃结节。


对于肺部的磨玻璃影,区分他们的轻重缓急(尤其是他们的性质:良性还是恶性)很重要。因为有的急性病症出现磨玻璃影,往往提示有活动性的病灶,这个时候需要及时进行治疗;而如果是一些慢性疾病引起的磨玻璃影,我们则可以采取保守治疗;而如果是肺癌表现出来的磨玻璃影,则需要积极进行手术切除。所以大家可以看出,对于肺部磨玻璃影,确定是何种性质非常重要,因为它的治疗方法是完全不一样的。


该图片可能引起不适

继续查看

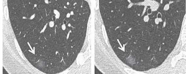
1625270150282_3f97a4edj00qujlvy001bc000hp0071m.jpg

典型的肺部磨玻璃结节


我们应该如何看待磨玻璃影和结节?


对于磨玻璃影,我们首先要结合患者的其他病史、症状、累及范围进行综合判断,如果判断是急症,那么需要积极进行治疗;如果判断是慢性病变,同时没有办法确定性质,那么最为主要的还是进行随访观察,也就是通过随访观察确定其性质。比如一些磨玻璃结节,第一次发现的时候没有办法确定性质,那么通过随访观察往往都是可以确定性质的。


该图片可能引起不适

继续查看

1625270203744_07e9696bj00qujlvy000dc00088004nm.jpg


对于肺结节,我们第一步首先也是通过影像学来判断其良恶性,如果是有比较典型的恶性征象,无论是实性结节、磨玻璃结节还是混合密度结节,最后的治疗办法都是进行手术切除;而如果是比较小的微小结节,第一次检查没有办法确定其性质,那么这个时候最为主要的办法还是进行随访观察,通过随访判断其性质。通常来说,良性结节随访过程中是不会增大的,可能一直没有变化,也可能不断缩小、甚至消失;而恶性的结节在随访过程中会逐渐增大,同时出现一些典型的影像学征象。


该图片可能引起不适

继续查看

1625270216278_4501aa6ej00qujlvy003gc000sf00iym.jpg


而一旦随访发现有恶性倾向,也要第一时间进行手术切除治疗;而如果提示良性,则一般不需要进行特殊的治疗。


总结

肺作为和外界相同的器官,是很容易出现各种各样的疾病的,所以一旦发现肺部疾病,我们一定要引起足够的重视,积极采取相应的治疗措施,做到早发现、早诊断、早治疗,避免肺部疾病进一步发展。

相关疾病: