肺部5mm微小实性结节,有可能是恶性程度最高的肺癌1

周晓医生 发布于2024-08-19 10:01 阅读量925

本文由周晓原创

患者、吸烟男性,有肺气肿,胸部CT体检发现的胸膜下实性微小结节(≤5mm),绝大多数为陈旧性病灶。多无需处理,观察即可。但是有一种人群,胸膜下实性微小结节需要关注,那就是——男性、吸烟、肺气肿患者。


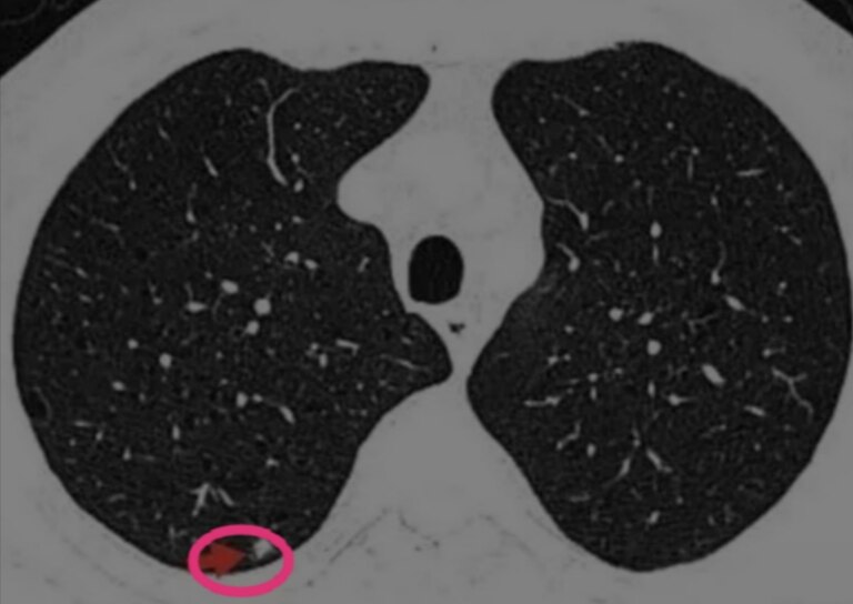
看下这个结节。男性,重度吸烟史,肺气肿背景,CT发现右上肺后段胸膜下,实性5mm的结节。


该图片可能引起不适

继续查看

Screenshot_20210107_053311.jpg

右下肺后段肺部微小实性结节


该图片可能引起不适

继续查看

Screenshot_20210107_053436.jpg

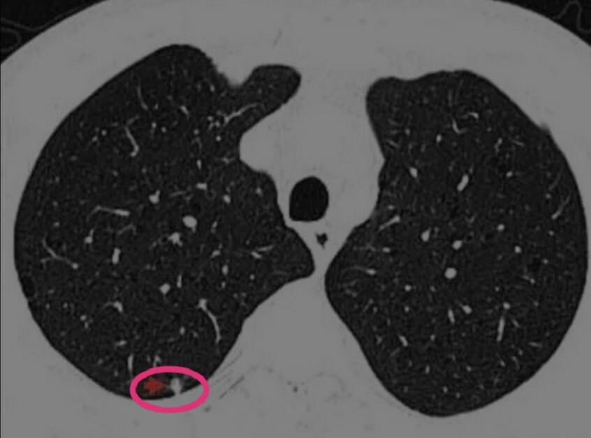
右下肺后段肺部微小实性结节


该图片可能引起不适

继续查看

Screenshot_20210107_053638.jpg

右下肺后段肺部微小实性结节


此为实性结节,5mm,没有毛刺征、胸膜凹陷征及血管弯曲等任何肿瘤的特征性表现。单凭这个CT,任何一个医生或者人工智能AI,都可能会认为这个结节良性可能大,无法确认这个结节是肺癌。


这个时候,就需要通过患者的临床特点和连续动态胸部CT检查结果:肺部结节发生发展趋势来判断肺结节良恶性了。


首先,男性、吸烟、肺气肿背景,是肺实性结节为恶性的危险因素,也是肺磨玻璃结节生长的危险因素。因此这个患者的肺结节需要重视。


马上再来看一下这个患者肺结节4个月之前的胸部CT图像:


该图片可能引起不适

继续查看

Screenshot_20210107_054032.jpg


可以看到,这个肺部实性结节四个月之内有增大趋势。这个时候就更需要警惕了。那么,是否可以就此确定这个肺部微小实性结节就是肺癌吗?还是不行,因为右上肺尖后段为结核好发部位,结核也可能短期内增大。


这里有个需要注意的点:4个月短期增大的肺部实性结节,要么是恶性程度很高的肺癌,低分化神经内分泌癌(或者转移性),要么是炎症性(包括结核)。


那么怎么鉴别肿瘤和结核?


决定性的证据来了:


回看患者5年前(2015年)的胸部CT,该相同位置,表现为一个肺部微小的磨玻璃结节。


该图片可能引起不适

继续查看

Screenshot_20210107_054330.jpg


这显然不符合肺结核以及其他肺部炎症结节的生长规律,病史上可以排除肺结核和肺部炎症。


至比,我们认为这个肺结节是恶性的可能大,患者接受微创胸腔镜手术切除,术后病理为神经内分泌癌。


这个患者显然是不幸中的大幸,这个结节已经进入快速生长阶段,如果再等半年,很有可能已经转移。


最后,再次建议不要吸烟。


相关疾病: