微创肺结节术后疼痛原因分析

周晓医生 发布于2024-08-19 10:01 阅读量416

本文由周晓原创

在全国各大医院胸外科,现在的肺结节手术基本上都采用腔镜下的微创手术,看到“微创”这个词,再加上手术后三天就可以出院,很多人认为一定是创伤极小的。然而,做过肺结节手术的不少病人发现,本来术前并不咳嗽,手术后不仅出现咳嗽症状,而且有的患者出现胸部手术切口(或者附近)疼痛难忍。那么肺结节微创手术之后,患者出现疼痛原因有哪些呢?


该图片可能引起不适

继续查看

Screenshot_20210823_235426.jpg


一般来说,传统肺部手术创伤比较大,胸部通常有一个十几公分的一个长长的斜切口经常令人触目惊心。传统手术需要切开皮肤、皮下组织和肌肉,然后还要切断肋骨,术中通过专门的肋骨撑开器扩大切口,从而暴露出手术视野。这直接造成皮肤、胸壁神经肌肉及肋骨的离断,造成局部肿胀和肋间神经的损伤,这么大伤口疼痛是在所难免的,此外,术后还有留置引流管,每次呼吸运动都会对胸壁造成影响。

该图片可能引起不适

继续查看

Screenshot_20210824_000357.jpg

然而,胸腔镜手术,作为微创手术,也并不是完全无创,所以同样会有疼痛,有的病人疼痛还比较剧烈。这种疼痛原因来自于三方面。


1.无论是单孔腔镜还是多孔腔镜,胸壁总归是需要打孔的,这个切口虽然小,同样需要切开皮肤、皮下肌肉组织,局部肋间神经受损,所以会有疼痛感。


该图片可能引起不适

继续查看

Screenshot_20210824_000419.jpg

该图片可能引起不适

继续查看

Screenshot_20210824_000509.jpg


2.手术中胸腔镜手术器械频繁出入切口,这样会对胸壁肋间神经以及肌肉组织形成钝性损伤,使得术后病人会出现疼痛感。


3.手术之后需要放置胸腔闭式引流管,引流管放在肋骨间之间,随着呼吸会产生摆动,也会导致疼痛。


该图片可能引起不适

继续查看

Screenshot_20210824_001237.jpg


一般来说,术后急性疼痛通常在一周之内,3~5天,随着时间推移,疼痛逐渐减轻并消失。


医学上还有个概念叫“术后慢性疼痛”,是指接受外科手术后2个月以上,病人手术切口已愈合而切口部位、引流管疤痕部位仍持续存在疼痛或疼痛症状再次出现。


术后慢性疼痛的主要原因就是肋间神经受损伤。临床上肺结节手术以后的慢性疼痛可能会维持 3~5个月,少数病人疼痛时间更长,尤其是一些耐受程度较差,疼痛阈值低的人,会表现痛感较为强烈。


该图片可能引起不适

继续查看

Screenshot_20210823_235701.jpg


早期的疼痛可通过止痛泵止痛,也可以口服或静脉使用一些阿片类镇痛药物帮助病人有效减轻疼痛,采取胸带外固定的方式,可限制病人咳嗽时胸廓的活动幅度,一定程度上也可减轻术后病人的疼痛。


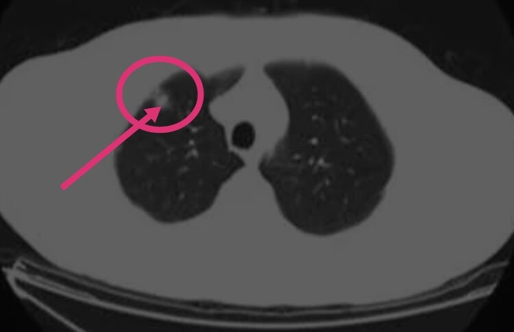
如果患者持续出现疼痛,且伴有高热等,则需要行相关检查,包括胸部CT以及血常规检查,排除是否伴有胸腔内感染或者肺脓肿形成的情况。


总体来说,胸腔镜肺部切除手术是临床上胸外科最常见的手术之一,相比较传统开胸手术,腔镜手术具有创伤小、疼痛感轻、术后恢复快的优点。


相关疾病: