肺部磨玻璃结节到底是不是肺癌及如何处理1

周晓医生 发布于2024-08-08 14:31 阅读量413

本文由周晓原创

肺结节,是出现在体检单上的最常见问题,现在俨然成了社会问题!我在好大夫网上问诊平台回复患者朋友们的咨询中,几乎一半以上是咨询肺结节的问题。

不少人重视肺结节甚至到了恐慌的地步,尤其是检查报告上出现“磨玻璃结节”(GGN)三个字时,患者更为焦虑,觉得就是癌症了。

今天就来给大家科普下,关于肺磨玻璃结节,到底是不是“癌症”(肺癌)的问题。

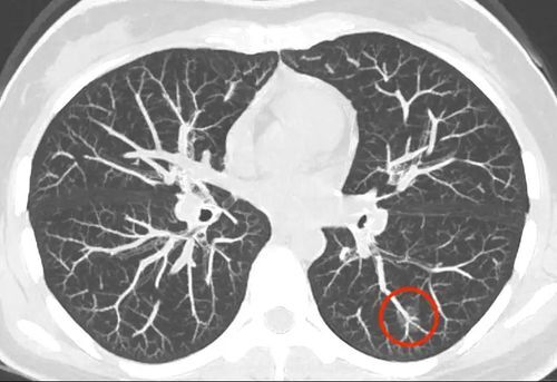
1. 什么是肺部磨玻璃结节?

肺部磨玻璃结节,是我们在胸部CT上可以看到的类圆形的模糊影,看起来感觉就像磨砂玻璃一样。

通常,胸部CT上表现为肺部磨玻璃结节的病因有6种:

该图片可能引起不适

继续查看

①急性肺部感染:细菌,病毒,真菌等造成;

②慢性炎症,纤维增生;

③肺泡出血;

④间质性肺炎;

⑤少数良性肿瘤;

⑥肺癌:癌前病变如不典型腺瘤样增生、原位癌、微浸润性腺癌、浸润性腺癌;或极少数转移性肺癌。

所以,肺结核、真菌感染等感染性疾病,慢性炎症都有可能在肺上产生结节。

其实大部分病人肺结节只是良性增殖灶而已。

当然,也有一部分肺部磨玻璃结节可能是癌前病变或早期肺癌,肺磨玻璃结节约34%是恶性,如果其直径>15mm或呈圆形,则恶性可能性增加。

2. 哪类肺部结节是早期肺癌?

影像学表现为 GGO的肺部病变病理上可能是良性病变,但持续存在的 GGO 多提示早期肺癌。和传统肺癌不同,GGO 型肺癌常见于年轻、女性和不吸烟人群,具有惰性生长的特点,外科处理窗口期长,GGO 是部分传统肺癌的早期表现。

该图片可能引起不适

继续查看


磨玻璃结节中,有一种比较危险。

磨玻璃结节,根据密度不同,分为“纯磨”(pure ground-glass nodules,pGGN)和“混磨”(mixed ground-glass nodule,mGGN)。

纯磨玻璃结节是是指CT肺窗上的局灶性磨玻璃样阴影,且结节内不含(能遮挡血管或支气管结构的)实性成分。

胸部CT显示的肺内密度轻度增高云雾状淡薄影,但通过病灶仍能看到肺纹理影,就像透过磨砂玻璃观察一样。可以是弥漫性散在生长,也可以聚集在局部,看起来像一个小磨玻璃结节。

一般来讲,前者多为良性病变,而后者局灶性生长的容易演变成不好的东西。

“混磨”中有磨玻璃成分和部分实性结节。伴有实性成分的混合磨玻璃结节,恶性概率相对较高,易形成肺腺癌,通常由纯磨玻璃结节引起。

国外指南对这种结节有规定:直径小于等于5mm的,进行年度随访即可;6-8 mm的,建议6-12个月随访一次;大于8mm的,则每3-6个月随访一次。

3. 胸部CT的英文缩写是什么意思?

在肺部CT检查报告中,有些除了标注结节大小、位置、形态之外,阅片医给出倾向性诊断,用英文字母缩写“AAH”、“AIS”和“MIA”表示,很多人不知道代表什么,这里来解释一下。

GGO:Ground Glass Opacity,磨玻璃病灶

GGN:ground-glass nodule, 磨玻璃病灶(这两个可以互换)

AAH: (atypical adenomatous hyperplasia), 不典型腺瘤样增生。小于5 mm的pGGN通常为 AAH ,若pGGN最大径为2 mm-5 mm,其为AAH的可能性约为97% 。非典型腺瘤样增生是从良性病变到恶性病变的中间点,世界卫生组织(WHO)提出的肺腺癌最新分类法将不典型腺瘤样增生列于腺体前驱病变。目前没有任何药物能够让这种呈现为纯磨玻璃小结节的病变消失或者逆转为正常细胞,所以,不需要吃药,也不需要手术,定期随访复查就行。

AIS: adenocarcinoma in situ,原位癌。典型的影像学表现为直径大于5 mm且小于30 mm的纯磨玻璃结节。肺原位腺癌指的是发生在支气管粘膜或肺上皮层,没有突破基底膜的病变。虽然名字中有癌,但WHO的肺癌最新分类中,肺原位癌也被划入腺体前驱病变。

MIA: minimally invasive adenocarcinoma, 微小浸润性腺癌。MIA是一类早期肺腺癌(≤3 cm),主要以贴壁方式生长,且病灶中任一浸润病变的最大直径≤5 mm,不伴有浸润胸膜、血管、淋巴管或肿瘤性坏死。其在影像学上多数表现为pGGN,也有部分表现为部分实性结节,极少数表现为实性结节。

IAC:invasive adenocarcinoma cancer,浸润性腺癌。浸润性肺癌具有手术切除的指征。影像学上,非钙化的实性结节若无典型良性结节特征(如错构瘤、胸膜旁结节),直径大于8 mm或体积大于300 mm^3,边界存在毛刺征,则恶性可能性大。部分实性结节如果实性部分直径大于5 mm, 或实性面积占比总面积大于25%,往往提示结节已浸润发展。浸润性腺癌患者,推荐常规基因突变检测(推荐常规检测靶标包括EGFR、ALK、KRAS、ROS1、RET)。

4. 什么样的肺部结节需要手术?

目前国内外指南都有标准。一般来说,大于8mm的肺部结节,才会考虑手术。如果结节怀疑是原位癌、微浸润癌,或者结节的大小、形态、密度发生变化,可以随访或择期选择手术。

结节位置如果位于肺的外周,那比较好处理,可以采用局部切除,对肺的损伤也小;如果位置较深,“强行”切除过程中就有可能损伤肺血管和支气管,造成术后咯血、肺膨胀受限等并发症。

上海市肺科医院诊疗共识建议,对于疑似肺腺癌的GGN进行多学科评估,依据诊断选择合理的处置方式。

对于疑似原位腺癌AIS,稳定存在的AIS应当进行胸部薄层CT随访,或在特定情况下进行不超过肺段切除的限制性肺切除;

对于疑似微小浸润性腺癌IAC,推荐进行限制性肺切除或肺叶切除;

对于疑似浸润性腺癌,建议依据病灶是否含有磨玻璃成分、位置、大小、个数及患者躯体情况,选择合理的手术方式;

肺多发结节的处理原则推荐主病灶优先,兼顾次要病灶,综合选择治疗方案。

相关疾病: