肺结节良恶性从胸部CT上如何判断1

周晓医生 发布于2024-08-08 14:31 阅读量177

本文由周晓原创

新冠疫情发生以来,医院对住院病人加大了胸部CT的检查,也导致了病人肺结节的发现率增加。


这个问题我们已经讨论了许多了,但病人还是不放心,但仍然有许多人谈“结节”色变,一看到肺结节就联想到肺癌,甚至到了坐立不安的地步。


实际上,肺结节实际上严格意义上来说,它并不是一个具体的疾病名称,它是指在CT片子上看到的,肺内直径≤3cm的局灶性、类圆形的、密度增高的实质性或亚实质性的肺部阴影。


换句话说,只要是肺里面3cm以下的病灶都可以叫“肺结节”。


所以,肺结节可能只是炎症,也可能是结核或者肿瘤的表现。


根据《肺结节诊治中国专家共识(2018年版)》,CT查到肺结节后,需要专业的医生根据结节大小、形态、密度等特征进行判断。


1.外观评估:


(1)结节大小:随着肺结节体积增大,其恶性概率也随之增加。但肺结节大小的变化对其定性诊断价值有限,还需密切结合形态及密度的改变;


(2)结节形态:大多数恶性肺结节的形态为圆形或类圆形,与恶性实性结节相比,恶性亚实性结节出现不规则形态的比例较高;


(3)结节边缘:恶性肺结节多呈分叶状,或有毛刺征(或称棘状突起),胸膜凹陷征及血管集束征常提示恶性的可能;良性肺结节多数无分叶,边缘可有尖角或纤维条索等,周围出现纤维条索、胸膜增厚等征象则常提示结节为良性;


(4)结节-肺界面:恶性肺结节边缘多清楚但不光整,结节-肺界面毛糙甚至有毛刺;炎性肺结节边缘多模糊,而良性非炎性肺结节边缘多清楚整齐甚至光整。

该图片可能引起不适

继续查看

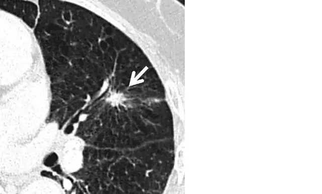
1589450247002_87ca075961b4d5cbc1bfaf4225aa0d5b.jpg

左肺上叶层厚 1 mm 的 CT 横断面图像,显示一个可疑的实性毛刺状结节(箭头)。手术证实为浸润性腺癌。


根据外观判断良恶性是"以貌取人",尽管"分叶、毛刺、胸膜凹陷征"是恶性病变的特点,但由于小结节中的早期肺癌很少见到这些特点,所以同时需要内部特征协助鉴别诊断。


2.内部特征:


(1)密度:


①密度均匀的纯磨玻璃结节(pGGN),尤其是<5 mm的pGGN常提示不典型腺瘤样增生(AAH);


②密度不均匀的混杂性结节(mGGN),实性成分超过50%常提示恶性可能性大,但也有报道微浸润腺癌(MIA)或浸润性腺癌(IA)也可表现为pGGN;


③持续存在的磨玻璃结节(GGN)大多数为恶性,或有向恶性发展的倾向;


④GGN的平均CT值对鉴别诊断具有重要参考价值,密度高则恶性概率大,密度低则恶性概率低,当然也需要结合结节大小及其形态变化综合判断。


(2)结构:


①支气管被包埋且伴局部管壁增厚,或包埋的支气管管腔不规则,则恶性可能性大。


②为了更加准确评估结节病灶内及周边与血管的关系,可通过CT增强扫描,将≤1 mm层厚的CT扫描图像经图像后处理技术进行分析、重建,结节血管征的出现有助于结节的定性。


专业建议


CT偶然发现肺部结节,建议咨询专业的医生,结合结节大小、数量、质地等综合进行判断,对于可疑肺癌结节,最好由多学科评估,胸外科医生、影像科医生和肺科医生等,共同来确定癌症诊断的可能性以及最佳的诊断或随访建议。


相关疾病: