肺原位癌手术效果好(不会复发转移,手术可根治)1

周晓医生 发布于2024-08-08 14:31 阅读量55

本文由周晓原创

肺原位腺癌的患者相比较以前是明显增多了,这个得益于不少单位体检中将胸部CT作为体检项目。我们医院每年职工体检中都能查出几个高危磨玻璃结节,手术后诊断为肺原位腺癌,其中年轻女性居多。


原位癌指的是粘膜上皮层内或皮肤表皮内的非典型增生,常累及上皮的全层,但上皮下的基底膜是完整的,也就是说肿瘤细胞没有侵犯基底膜或侵入基底膜下的间质或真皮组织,更没有发生浸润和远处转移。

该图片可能引起不适

继续查看

1589296317512_a30f0e28j00qa82h2003oc000gy00bfm.jpg

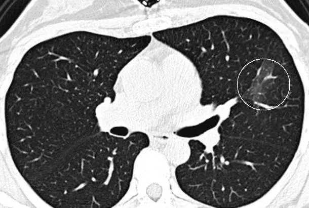
肺原位腺癌指的是发生在支气管或肺上皮层,并且没有突破基底膜的腺癌。肺原位腺癌一般肿瘤较小,基本上直径都在1cm以内,CT上大多数为纯磨玻璃结节或含实性成分的混合磨玻璃结节。在TNM分期中,肺原位癌为0期癌,属于极早期。即便不手术,这类肿瘤细胞非常惰性,贴壁生长,生长缓慢,很多人随访数年,结节并没有明显增大,部分人结节在数年后才加速增长。所以,肺原位癌不用担心短期内出现快速生长,甚至转移到其他地方。治疗上只需要在腔镜下手术切除就可以了,生长在周边的肺结节仅需要做肺段切除或楔行切除,可以最大程度的保留肺组织。肺原位腺癌术后不需要任何后续治疗,5年生存率接近100%。


为何肺原位腺癌术后不用担心复发转移?


如果肿瘤细胞没有突破基底膜,一方面肿瘤细胞很难侵犯到血管而发生转移,另一方面切除的时候基本上不会有残存的肿瘤细胞,容易切干净,更重要的是,肿瘤细胞在上皮层内很难诱导血管生成以供应肿瘤细胞生长。所以,不仅肺原位癌,任何部位的原位癌术后预后都是非常好的,通过手术切除可以达到治愈的效果。从2007年开始,我国商业保险业就将原位癌排除在重大疾病保险之外。


既然肺原位癌手术可以治愈,为何还要定期复查?


不少人肺部结节并不是单个的,存在着多发磨玻璃结节,有的大,有的小。当较大的恶性结节切除后,小结节有可能逐渐增大。其实这个不是发生了肺内转移,而是多点原位癌。也就是说,这些癌结节都是原发的,独立存在的。多点原位癌有时候会给治疗带来一定的困难。曾经在门诊遇到一个30岁年轻女性,左肺原位癌进行了肺段切除,半年后发现右肺又出现数个磨玻璃结节,部分怀疑恶性,只好再次手术治疗。肺原位腺癌术后随访复查,就是为了尽早发现是否会有新的癌结节出现。


相关疾病: