早期肺癌(肺部磨玻璃结节)胸部CT影像与手术处理及预后1

周晓医生 发布于2024-08-08 14:31 阅读量266

本文由周晓原创

随着人们健康检查发现的肺部磨玻璃结节的增多,许多朋友拿到报告后都非常担心,但又看不懂CT图像,到底哪个是肿瘤?有多大?是肺癌中的哪一种?要不要开刀?手术怎么做?切多少合适?今天我们将常见的肺部磨玻璃结节的各个期别肺癌类型各举一例,来看它们的典型影像表现,并告诉你是否需马上手术及切多少合适。

第一类:腺瘤样不典型增生(AAH)

意义:它是腺癌范畴里最不危险的一种,有许多专家认为不能算是肺癌,但我认为腺癌的病理分类中把它与原位腺癌都算作腺癌范畴里的浸润前病变,那么癌还是癌了,或者是癌前病变。

典型影像表现:肺部淡磨玻璃结节,但轮廓较为清楚。如下图:

该图片可能引起不适

继续查看

1592886835682_5b36525ap00qbyiu4004oc000h700arm.png.jpg

非典型增生

手术与否:可以观察随访,直到进展或明显恶性特征再考虑手术;如果持续存在,位置靠边,又思想负担很重,也可以考虑局部(楔形)切除。

第二类:原位腺癌(AIS)

意义:已经在显微镜下见到癌细胞,确定是癌,但它不会转移,如果手术后也不会复发。

典型影像表现:密度偏高的纯磨玻璃结节,病灶与正常组织之间界限清楚。如下图:

该图片可能引起不适

继续查看

1592886887409_04283ae7p00qbyiu6003ec000bt0089m.png.jpg

原位腺癌

手术与否:可以手术切除(若在肺的中央部位,要做肺叶切除,建议再观察为宜),也可观察随访,直到进展再考虑手术;手术方式考虑选择局部(楔形)切除。

第三类:微浸润性腺癌(MIA)

意义:明确为腺癌,有转移的扩散的能力,但能力有限,走不远。

典型影像表现:较大的纯磨玻璃结节或者是混合磨玻璃结节,但实性成分较少。如下图:

该图片可能引起不适

继续查看

1592887032747_159acb68p00qbyiu4005pc000e400b1m.png.jpg

微浸润腺癌

手术与否:应当及时手术,如果对手术有顾虑,也可短期观察随访。手术方式以楔形切除或肺段切除为宜,优选肺段切除。

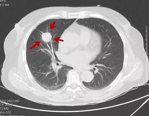
第四类:浸润性腺癌(IAC)(表现为混合磨玻璃结节)

意义:会转移与复发的肺腺癌,可能会淋巴结转移或血行转移。但实性部分若甚少,则转移可能性很小,实性部分占比越大越危险。

典型表现:混合磨玻璃结节,实性部分有收缩纠集感,边上磨玻璃部分可有细毛刺征(边缘不锐利,有细小锯齿状)。如下图:

该图片可能引起不适

继续查看

1592887240473_8c3294cdp00qbyiu60064c000hn00g1m.png.jpg

浸润性腺癌(部分成分磨玻璃),绿色箭头示胸膜牵拉

手术与否:建议立即手术,不能等待!基本上都需要肺叶切除加淋巴结清扫。实性成份少或者肺功能受限也可考虑肺段切除及淋巴结采样。

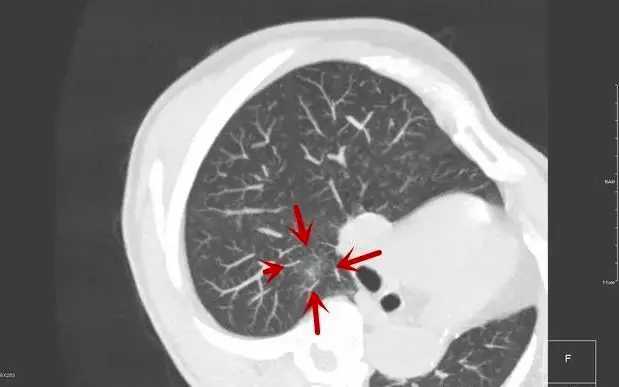
第五类:浸润性腺癌(IAC)(实性结节)

意义:典型肺癌,有转移的能力,且能力大。

典型影像表现:结节分叶状、有毛刺、有胸膜凹陷、有血管集束征等典型恶性征象(不一定同时具备)。

手术与否:只要没有远处转移,宜立即手术!首选肺叶切除及淋巴结清扫,妥协性时也可肺段切除并清扫淋巴结。

温馨提示

该图片可能引起不适

继续查看

1579324047451_Cgs2Z6Fb92tpNrcD5jwo1Y5JSP1IFqDMFvg02LZ4Ke9tM1578641841468.jpeg.jpg

把人体的肺看成是一颗倒着的树

不同术式的示意:我们可以将人体的肺看成是一颗倒着的树,气管就是树干,它往上分2支,分别是左主支气管与右主支气管;再往远端,右侧分3支,分别为上叶、中叶、下叶;左侧分2支,分别为上叶与下叶;如果肺叶支气管再往远端分,就是肺段支气管。肺叶切除就是切除上述两侧5叶中的一叶,肺段切除就是切除某一肺叶中再往下一级的结构,全肺切除就是切除全部左边的肺或者全部右边的肺;袖式肺叶切除就是将肺叶以及叶支气管开口对过去的主支气管壁也切掉,再将余下的肺叶支气管与主支气接起来。

相关疾病: