双肺多发微小结节产生原因及处理策略1

周晓医生 发布于2024-08-08 14:31 阅读量844

本文由周晓原创

由于大家对健康体检的重视,许多朋友们在做胸部CT检查,发现双肺多发微小结节,究竟是什么原因呢?以及怎么处理呢?


首先要明确的是:引起双肺多发微小结节的原因很多,具体是什么原因,需要结合结节的形态、大小、数量进行综合判断。


在肺部,大家关心最多的就是肺部结节,肺结节也是困扰很多人的一个问题,那么对于双肺多发微小结节,都有可能是哪些原因造成的呢?今天安徽医科大学第二附属医院胸外科周晓医生就和大家讲一讲可能导致双肺多发微小结节的常见原因,希望对大家有所帮助。


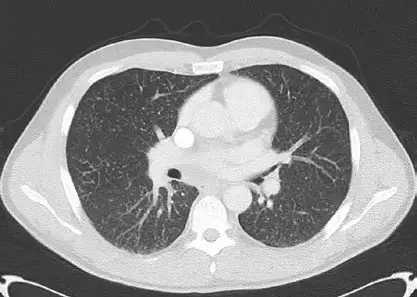
一. 急性粟粒型肺结核


急性粟粒型肺结核,在医学上也称之为血行播散型肺结核。它属于肺结核的一种,常常起病比较急,而且症状也比较重,有寒战高热等症状。


它在胸部CT上主要表现为:双肺多发的粟粒样小结节影,直径一般在2—4mm左右,典型的患者一般还有“三均匀”的特点,也就是大小均匀、分布均匀、密度均匀。

该图片可能引起不适

继续查看

1597986568202_0069aefcp00qfe3xk003lc000bl0089m.png.jpg

急性粟粒型肺结核结节的“三均匀”特点,也就是大小均匀、分布均匀、密度均匀。

同时,由于它属于血行播散,所以可能还会合并肺门及纵隔淋巴结、脊柱、肾上腺以及肾脏结核等,可以累计全身多个组织器官。


当然,除了CT检查,血清抗结核菌抗体检测也是非常重要的一项辅助检查方法。一般情况下,结合上述两项检查,常常都可以确诊有无急性粟粒型肺结核。


而一旦诊断为急性粟粒型肺结核,积极进行抗结核治疗非常重要。因为它属于急性播散期,如果不及时治疗,很可能导致非常严重的后果,甚至危及生命。抗结核治疗的主要作用包括:杀菌作用和防止耐药菌产生。


杀菌作用可以迅速地杀死病灶中大量繁殖的结核分支杆菌让患者由传染性转为非传染性,减轻组织的破坏,缩短治疗的时间。


防止耐药菌产生可以防止获得性耐药变异菌的出现,这是保证能够治疗成功的重要措施;因为如果耐药菌产生,它会导致治疗失败和复发,同时还可能造成耐药菌的传播。


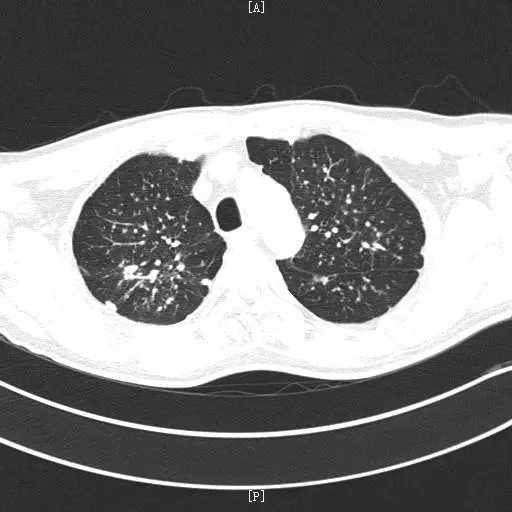
二. 尘肺病


尘肺病是一种职业病,可能很多人都听说过,它主要是患者长期从事的工作中含有比较多的粉尘,这导致他们粉尘吸入过多,引起肺组织的纤维化。在我国,尘肺病是最常见的职业病,几乎占到了全部职业病的80%左右,而且还有很多没有被发现的尘肺病患者。


一般情况下,小于10微米的可吸入粉尘进入肺部之后,很难被分解和清除,所以长期积累,很容易造成肺部的细胞和组织损伤,最终导致纤维化。


哪些人容易患上尘肺呢?比较常见的有:矿山开采工人、机械制造工人、石匠、水泥工人、煤矿工人等这些人群都属于高危人群,因为他们就会长期接触小于10微米的可吸入粉尘。


而尘肺的确诊,胸部CT是必不可少的一项检查项目。在CT上,尘肺主要表现为:双肺多发小结节影,结节直径一般小于10mm;除了小结节之外,还可能出现网格状影、蜂窝状影等等。它在肺上的结节常常分布不均匀,最开始主要是双肺上叶或者下叶背段,双肺下叶一般相对来说结节要少些,这也有助于它和急性粟粒型肺结核进行鉴别。除此之外,尘肺的结节常常密度比较高,还常常合并钙化灶。

该图片可能引起不适

继续查看

1597986776296_82455d1cj00qfe3xk000yc000e800e8m.jpg

对于尘肺病,一旦确诊,首先要做的就是尽量远离有粉尘的工作岗位,同时积极进行治疗。对于尘肺病,到目前为止都还没有比较特效的药物,也无法彻底治愈,所以只能通过对症治疗以及管理来缓解病情,提高生活质量。


常用的方法包括积极控制症状,肺部灌洗等。肺部灌洗对于部分早期的尘肺患者有一定效果。


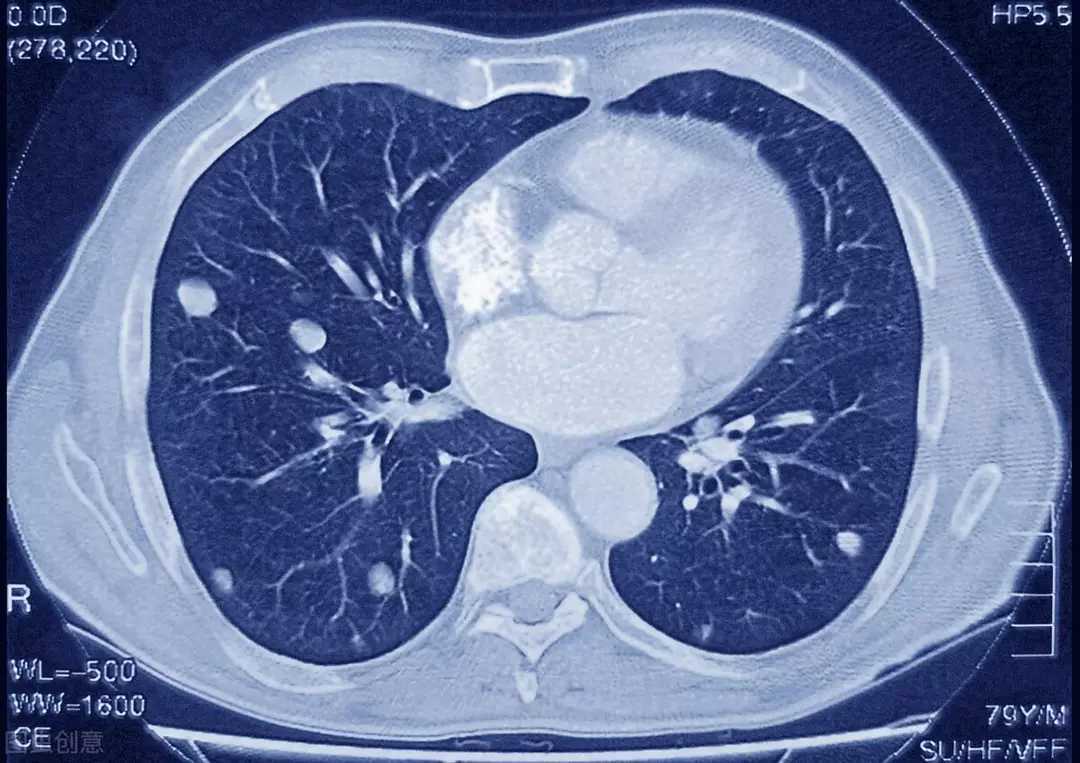
三. 肺转移瘤


肺转移瘤同样可以表现为双肺多发的小结节影。一般情况下,肺转移瘤在CT上表现为:双肺多发大小不等的实性结节影,对于早期转移瘤,是可以表现为微小结节的,同时结节分布也没有特异性,一般是随机分布,双肺任何地方都可以出现。

该图片可能引起不适

继续查看

1597987332627_3eb1c8e1j00qfe3xk0072c000xc00njm.jpg

同时需要提醒的是,肺转移瘤一般都有原发恶性肿瘤的病史。比如说,如果一位患者之前有肝癌的病史,那么在做胸部CT检查的时候发现了双肺多发的小结节影,那么这个时候就需要首先考虑是肺转移瘤了;相反,如果一个患者没有原发恶性肿瘤的病史,那么一般都不会首先考虑肺转移瘤。


对于肺转移瘤,在治疗上常常需要结合原发肿瘤的类型、控制情况来选择合适的治疗方法,主要的治疗一般都是药物治疗。因为转移瘤一般都是多发存在,手术治疗一般是不合适的。


常见的药物治疗方法包括化疗、靶向治疗、免疫治疗等。通过多种治疗方式结合, 治疗的目的主要在于控制病情,避免其进展过快,提高患者生活质量,延长生存期。


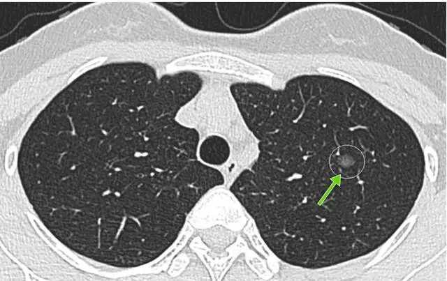
四. 单纯炎性结节


对于双肺多发微小结节影,还有一种可能就是单纯的炎性结节。对于有的患者,由于炎症对肺组织的刺激,可能在肺内形成多发的小结节。


而对于这一类微小结节,如果患者肺内没有其他的感染灶,那么可以不用进行特殊的治疗,进行定期的随访观察就可以了。


定期随访观察是管理肺结节最为有效的方法。这也适用于肺内单发结节,特别是很多体检发现的肺结节。因为结节非常小,很多时候常常没法定性,而通过随访观察,动态观察结节的变化情况,可以能够更好的判断它的良恶性。


比如体检发现了肺部微小结节,如果长期随访观察都没有任何变化,或者甚至有缩小,那么一般考虑是良性的结节;而如果在随访过程中结节出现了增大,或者结节实性成分出现了增多,那么这个时候就要考虑是恶性的可能了。而如果怀疑是恶性,那么需要立即进行手术切除治疗。对于早期的肺癌,手术切除一般都可以取得非常不错的治疗效果。

该图片可能引起不适

继续查看

1597987031379_ccb0f32ej00qfe3xk001ec000hs00b7m.jpg

左上肺部磨玻璃结节(早期肺癌)

总结:对于老百姓说的双肺多发微小结节的原因,比较常见的就是以上几种原因,除此之外还有最近出现的双肺多发肺部磨玻璃结节,尤其需要密切随访,定期观察,一旦出现恶性倾向,及时手术治疗,这才是上上之策


相关疾病: