一网打尽:几种常见肺部良性结节影像学表现

周晓医生 发布于2024-08-08 14:31 阅读量458

本文由周晓原创

安徽医科大学第二附属医院胸外科周晓医生和你聊一聊,几种常见肺部良性结节的影像特点!


肺癌是最常见的恶性肿瘤之一,全球肺癌新发病例约为209万例,死亡约176万例,分别占恶性肿瘤新发病例及死亡病例的11.6%和18.4%,居恶性肿瘤第一位。肺癌的早期形态大多表现为无症状的肺部结节。


近年来,随着影像诊断技术的不断进步,临床对肺部恶性结节的认知更广,但针对肺部良性结节认识普遍不足,那么肺部良性结节的影像特点都有哪些呢?


肺部良性结节分类主要分为孤立性实性结节、孤立性非实性结节、多发实性结节和多发非实性结节,其中实性结节临床中较为常见,可能的原因很多,持续存在的亚实性良性结节会在影像中出现晕征、磨玻璃样、混合密度磨玻璃样改变等需与肺癌进行鉴别诊断。


一. 孤立性良性实性肺结节


良性肿瘤:错构瘤 (体检中经常遇到) 、肺动脉畸形;


感染性疾病:肉芽肿 (肺结核,炎性假瘤) 、球形肺炎、脓肿、脓毒栓子;


非感染性疾病:淀粉样变形、胸膜下淋巴结、类风湿结节、肉芽肿性血管炎、局灶性瘢痕、肺梗塞;


先天性疾病:肺隔离症、支气管囊肿、支气管闭锁伴粘液嵌塞。


二. 持续存在的亚实性良性结节


机化性肺炎;局灶性间质纤维化;子宫内膜异位症。


针对不同种类的肺部良性结节,其影像学表现各不相同,其中可能会与恶性结节或其他疾病相似,需要借助更多影像学检查并结合实验室检查及临床表现进行进一步诊断。


1. 错构瘤


错构瘤作为临床尤其是体检过程中的常见的良性肺结节,其典型影像表现为中心部位脂肪及钙化。但在实际临床中,并非所有的错构瘤都具有典型结构,软骨性错构瘤在临床影像中也较为常见,软骨性错构瘤需要和小细胞肺癌进行鉴别。


错构瘤形态多样,可以有分叶,但很少出现毛刺,CT值显示软组织密度,针对较大的错构瘤,内部可能出现钙化的形态,此时需要与肺细胞瘤进行鉴别。

该图片可能引起不适

继续查看

1599960677996_314ba80aj00qgk3gh000rd200fg006gg00fg006g.jpg

图1 软骨性错构瘤

需要注意的是,并非所有的良性肺结节都不会生长,错构瘤会缓慢地生长。

该图片可能引起不适

继续查看

1599960777552_1fc28740j00qgk3gh000qd200lq008sg00g2006h.jpg

图2 错构瘤五年生长对比图

2. 动静脉畸形

肺动静脉畸形经过通过影像技术进行增强处理后诊断明确。

该图片可能引起不适

继续查看

1599960835177_67c8a3c2j00qgk3gh000sd200lq0098g00g2006t.jpg

图3 肺动脉畸形

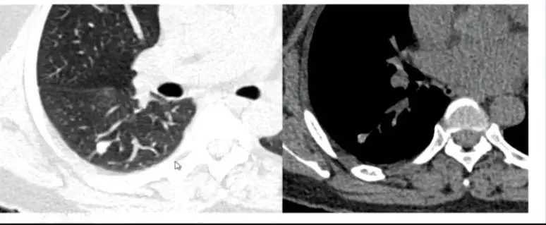
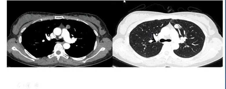
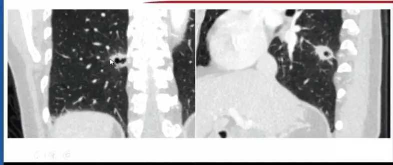
3. 肺细胞瘤(SP)

曾经被命名为肺硬化性血管瘤(一种较为少见的肺部良性肿瘤)。

通常情况下,肺细胞瘤需与错构瘤进行鉴别诊断,在进行最大密度投影处理后,CT可见肺细胞瘤对周围血管有推移作用。经过影像后处理,可以通过进一步判断肺结节与附近病变和周围血管的关系进行诊断。

该图片可能引起不适

继续查看

1599960868737_d35ae18cj00qgk3gh0010d200lh0082g00g20060.jpg

图4

该图片可能引起不适

继续查看

1599960886025_68b7e734j00qgk3gh0013d200lm0090g00g2006o.jpg

图5 图4-5 CT及处理后图像对比,可明确血管推移,进行诊断

该图片可能引起不适

继续查看

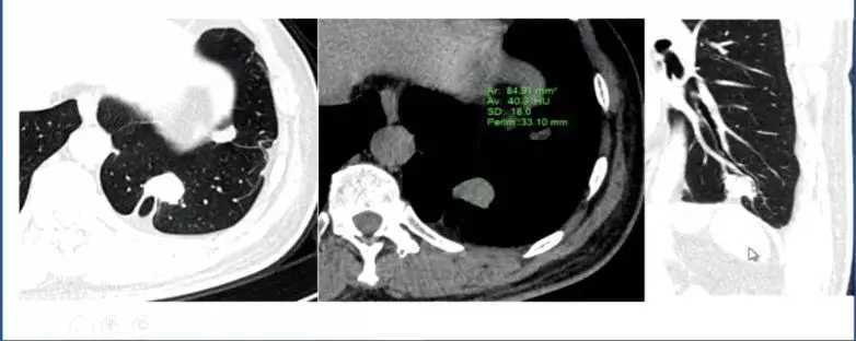
1599960996764_24667ba2j00qgk3gh000ld200lm0080g00g2005x.jpg

图6 三维图像重建图像,此类情况需与肺内肉瘤和小细胞肺癌进行鉴别,嘱患者保持每3个月随访一次

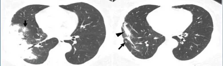
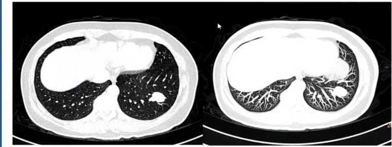
临床工作中肺细胞瘤可能出现周围出血的情况,与错构瘤从影像表现上很难鉴别,伴有肺泡出血的肺细胞瘤会周围会有晕征。

该图片可能引起不适

继续查看

1599961054372_376da54dj00qgk3gh000vd200lo008kg00g2006c.jpg

图7 肺细胞瘤伴周围肺泡出血CT表现

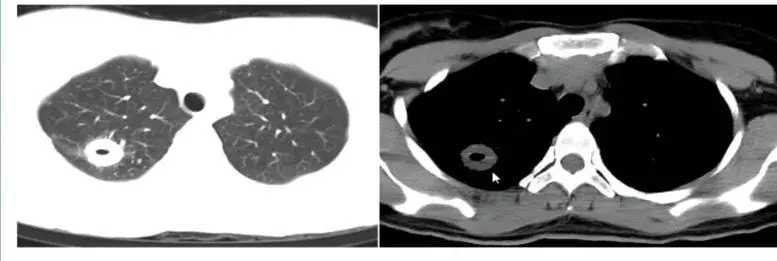
4. 肺内淋巴结

肺内淋巴结在体检中也较为常见,肺内淋巴结的影像特点主要以下特点:贴近胸膜;位于肺小叶的不同部位,其形态多变,三角形、圆形、扁圆形、梭形、五角形等都是常见的肺内淋巴结形状。


肺内淋巴结通常需要与肺腺癌进行鉴别诊断,腺癌结节通常中心位于肺内,这一特点能够与肺内淋巴结贴近胸膜的特点进行区分。

该图片可能引起不适

继续查看

1599962435410_55fb07c2j00qgk3gh000ld200lp008wg00g2006k.jpg

图7 肺内淋巴结鉴别诊断

5. 结核球

结核球影像增强后内部会出现坏死,糖尿病患者的结核球会出现空洞情况。需要注意的是,结核球可能处于不同时期、位于不同部位,所以会有不同形态,例如出现毛刺、胸膜牵拉征的表现,需要结合实验室检查结果注意与肺癌进行进一步鉴别诊断。

该图片可能引起不适

继续查看

1599962507640_893f00bfp00qgk3gi004bd200jj00a5g009x0055.png.jpg

图8 结核球

6. 肺结核

肺结核征象同样多变 ,常见为周围卫星灶及磨玻璃样改变,易被误诊为其他感染性疾病,需要实验室检查支持如T-SPOT等进行诊断。

该图片可能引起不适

继续查看

1599962719309_182fe9c6j00qgk3gi000xd200li008vg00g2006m.jpg

图8 肺结核表影像学表现

结核空洞通常周围为薄壁空洞、壁均匀、细支气管受累、肺野内出现树芽征。

该图片可能引起不适

继续查看

1599962817714_9eba0799j00qgk3gi001ad200lo009eg00g2006y.jpg

图9 左下肺结核空洞表现

7. 肺脓肿

增强后可见液化坏死区,一定要进行多方面的图像处理,结合实验室检查,进行综合诊断。

该图片可能引起不适

继续查看

1599962890552_3f0e591bj00qgk3gi000ad2008q003sg00g2006y.jpg

图10 肺脓肿

8. 机化性肺炎

机化性肺炎临床多持续存在,影像学表现为有分叶,并出现胸膜凹陷的情况。值得注意的是,机化性肺炎和真菌感染形成的肉芽肿在进行PEC-CT时摄取值同样增高,容易造成误诊。机化性肺炎通常与胸膜有牵连,胸膜出现收缩,但并非牵拉,为局限性的胸膜凹陷。


厚壁空洞,增强后厚薄不一,小叶间隔,容易误诊为肺癌。

该图片可能引起不适

继续查看

1599963394958_fb02f9c2j00qgk3gi000yd200mu009fg00g0006l.jpg

图11 出现厚壁空洞的机化性肺炎表现

对于存疑的诊断,一定要结合实验室检查,可进行穿刺检查进行进一步检查或者直接行胸腔镜手术切除。


9. 球形肺不张

大量胸腔积液吸收后易出现出现球形肺不张。肺内结节有实性密度增高表现,并带有“尾巴”。

该图片可能引起不适

继续查看

1599963495357_fc3e0b43j00qgk3gi000yd200lq008og00g2006e.jpg

图12 球形肺不张

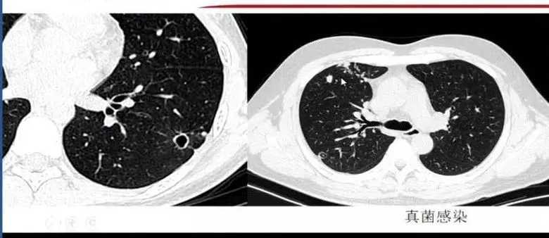
10. 真菌

真菌不同时期表现不同,有晕征 、支气管充气征、新月征、胸膜牵拉等可能表现。


隐球菌作为常见的真菌感染,易误诊为肺癌,影像表现为胸膜下带有晕征的小结节,三维重建后呈球形,单个结节诊断较为困难。隐球菌出现空洞时,空洞位于中央,可存在分隔,诊断时需要参考实验室检查结果。

该图片可能引起不适

继续查看

1599963626251_b9559d65j00qgk3gj000td200lt0097g00g2006r.jpg

图13 隐球菌

隐球菌感染范围扩大形成实变后,治疗前后影像表现会有明显变化。

该图片可能引起不适

继续查看

1599963701966_b88b5363j00qgk3gj000md200lo006hg00g2004s.jpg

图14 隐球菌实变治疗前后对比

11. 结核厚壁空洞

该图片可能引起不适

继续查看

1599963746091_56946557j00qgk3gj000pd200ll0079g00g2005e.jpg

图15

图15 结核厚壁空洞,结核处于活动期的典型表现,可结合实验室检查。


12. 炎症及炎症吸收

炎症可以表现为典型磨玻璃样变,经过治疗会吸收,此类情况容易被误诊为肺癌,出现这一类情况时一定要嘱患者进行随访。


最后总结肺部良性结节诊断要点:


肺部良性结节种类繁多,表现多样;


肺部良、恶性结节的影像表现有重叠;


诊断需结合临床、实验室检测综合分析。


相关疾病: