一、什么是邻面龋?
邻面龋:属于牙齿平滑面龋的一种,是指发生在两颗牙相邻接触面的龋坏,发生于后牙的邻面龋隐蔽性强,普通检查难以发现,常常需要通过X光片才能确诊。
症状及表现:
① 牙缝变黑/发黄
② 吃东西塞牙/用牙线卡牙线
③ 冷热刺激敏感不适
④ 可能出现牙龈红肿出血

如何自测有无邻面龋:
① 看到牙缝颜色有变化
② 用牙线清洁时,如果牙线容易起毛或带出异味,可能牙缝已有龋坏。

二、为什么邻面更需要我们注意?
① 隐蔽性强,不易发现:研究表明,牙刷只能去除70%左右的细菌,剩下的细菌藏在牙缝之中,如同卫生死角一般,久而久之,就形成龋齿,待出现症状时,可能已经需要根管治疗;
② 破坏2颗牙齿,邻面龋一旦扩大,相邻的2颗牙齿都会遭殃,补1颗变2颗,治疗成本翻倍。

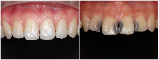
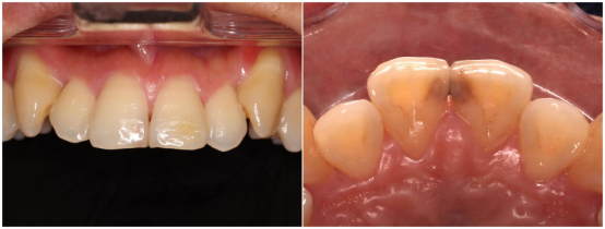
正面看似完好的牙齿,背面已悄悄被侵蚀
三、如何预防邻面龋
① 每天使用牙线,清除邻面牙菌;
② 定期涂氟,增强牙釉质抗酸能力;
③ 定期检查,早发现早治疗。


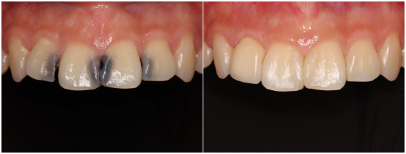
补牙前与补牙后
四、 牙线的使用方法及适用场景
普通牙线/牙线棒:敏感人群 追求方便、性价比的人群
水牙线(冲牙器):
① 手部不能完成精细动作的人群,如关节活动障碍、义肢、老年人等;
② 张口度有限,动作不熟练的人群;
③ 特殊人群:口内有种植体、正畸装置等,使用牙缝刷不便时,优先使用水牙线。

图片转自中华口腔医学会(扫码可观看操作视频)
建议每年定期检查时,可以在医生指导下使用菌斑染色剂等判断清洁效率,自己学会检查自己的刷牙、用牙线是否清洁到位。
(本文卡通图片来源于网络,侵权请联系删除)