一、冠心病是什么?
心脏如同人体的发动机,冠状动脉是给它供油的"输油管"。当血管内脂质斑块(如同水垢)沉积,导致血管狭窄甚至堵塞,就会引发心绞痛、心肌梗死——这就是冠心病。冠心病是心脏血管堵塞导致的“隐形杀手”,全球每10秒就有一人因此丧生。心绞痛、胸闷气短、甚至心梗猝死,都是它发出的危险信号!

二、两种"抢修方案":搭桥术 vs 冠状动脉内膜剥脱术
1、冠状动脉旁路移植术(搭桥术)
原理:从患者自身(胸壁、腿部)取血管,在堵塞血管的"上游"和"下游"架起"高架桥",绕过堵塞段恢复血流。
适合人群:多支血管严重狭窄、左主干病变、合并糖尿病患者等。

2、冠状动脉内膜剥脱术
原理:切开严重钙化/闭塞的冠脉,像"清除水管锈垢"一样剥离血管内斑块,恢复管腔通畅。
适用人群:血管全程严重钙化,无法常规搭桥或支架;搭桥目标血管远端存在弥漫病变,需先疏通"下游通道"。
3、为什么需要"双管齐下"?
部分冠心病患者病情复杂:主干血管近端适合搭桥,但远端分支被钙化斑块完全堵死,若直接搭桥,血流可能因远端阻力过高而失效。此时联合手术的意义就体现出来了,通过内膜剥脱,清除远端血管的"顽固路障",打通血流通道;随即搭桥,利用剥脱后的通畅血管作为"桥接终点",确保桥血管长期通畅。
典型病例:左前降支全程钙化闭塞,先剥脱疏通远端,再用乳内动脉搭桥至剥脱段远端。
4、联合手术优势
远期通畅率高:自体血管桥+内膜剥脱血管可实现更彻底的血运重建,降低二次手术风险,远期效果更优,10年通畅率超90%*。(数据来源:2023年国际心脏外科研究统计)
三、术后康复指南:让心脏更强韧
监护期重点(术后72小时):强化抗凝:肝素过渡至双联抗血小板(防剥脱段血栓);监测心肌酶:警惕远端小血管栓塞导致的心肌损伤。
长期管理:药物:抗血小板药物(两种药物联用至少1年);他汀类药物(稳定斑块,LDL-C<1.4 mmol/L)。
影像随访:术后6个月冠脉CTA评估桥血管及剥脱段通畅性;每年血管超声评估桥血管/剥脱血管通畅性。
危险因素控制:严格控糖(糖尿病患者HbA1c<7%);戒烟(术后再吸烟者血管事件风险翻倍);运动:心肺康复训练(如步行、踏车,需医生指导);饮食:低盐低脂,戒烟限酒。
四、哪些人适合这项手术?
1、冠状动脉多支严重狭窄,尤其合并糖尿病或血管钙化;
2、左主干病变或前降支近端复杂病变;
3、支架治疗失败或血管再狭窄;
4、血管内膜增厚严重,需直接疏通“原生血管”。
五、患者常见问题解答
Q1:两个手术一起做风险更大吗?
A:看似风险增加,实则通过精细规划(如先剥脱后搭桥),反而降低分次手术的麻醉和卒中风险。
Q2:内膜剥脱术会把血管壁变薄,更容易破裂吗?
A:术中会保留血管外膜支撑,且术后严格控压,破裂风险极低。
Q3:术后还能正常生活吗?
A:多数患者术后1-3个月恢复日常活动,心绞痛症状显著改善,运动耐量提高。
Q4:血管再堵了怎么办?
A:严格用药+生活方式管理可大幅降低复发概率;若再狭窄,可选择药物球囊或再次手术。
结语
冠心病搭桥联合内膜剥脱术,犹如为心脏血管进行"深度清淤+重建水利",通过个体化方案突破复杂病变的桎梏。随着精准医学的发展,这类手术正在让更多"绝望型"冠心病患者重获生机。
患者故事:
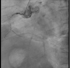
69岁的葛女士,1年前无明显诱因出现胸闷胸痛症状,呈压榨性疼痛,无放射痛,伴活动后气促,当时就诊于某医院,行左、右冠状动脉造影提示:LAD近中段90%狭窄,D1近段迂曲并有90%狭窄伴钙化。LCX中段完全闭塞;RCA全程钙化影,近段70-90%狭窄,中段完全闭塞,术中于前降支置入1枚支架。1周前葛女士再次出现活动后胸痛气短症状,伴背部放射痛,有胸闷、乏力,遂至我院就诊。
入院后完善冠脉造影提示多支血管狭窄较前进一步增加,进行MDT讨论后,决定行三根冠状动脉搭桥+冠状动脉内膜剥脱术。手术过程顺利,术后ICU过渡3日后转回普通病房,术后2周顺利出院。

患者冠脉造影图像

剥下来的钙化冠状动脉内膜