笑起来门牙有条缝
是种什么体验?
精致的面容遇上灿烂的微笑
“牙缝”封印了1.8米的气场
温柔中透露出一丝显老的邋遢
补牙,容易染色
做冠,得磨真牙
正畸,时间太长
Ennn......咋整??
我是明森口腔牙周/种植科副主任医师张宇,将通过一则真实案例,分析如何利用微创瓷贴面技术,便捷、可靠地解决门牙缝隙问题,希望能为大家提供参考。
一笑就露缝?职场人的社死现场
今年年初,张女士(化名)来到我的诊室指着自己上前牙间隙,语气里满是无奈:“自己作为公司部门领导,常年要和客户谈判给团队做汇报,眼瞅着牙缝越来越宽”心里急啊,渐渐的也就不敢露齿笑了......
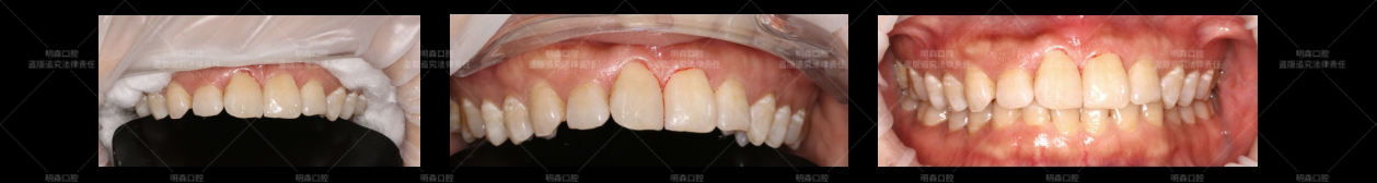
我进行口腔检查时发现,她的11和21 号牙之间宽度足有1-1.5mm,两颗门牙还微微扭转。而且,23 号牙是先天缺失的,好在没有间隙问题,主要困扰还是前牙的“缝隙”。

“之前了解过正畸,说要戴两年牙套,我这工作哪抽得出时间定期复诊啊?”张女士(化名)摇着头说:“不想磨牙,总觉得用自己的牙齿才好”。
“目前有三种zhi疗方案:1、正畸需要时间;2、树脂充填不够持久;3、瓷贴面既能做到微创(磨除 0.3-0.5mm,几乎可以忽略),又能快速关闭间隙,颜色还能和邻牙融合。”我拿出口腔模型演示给张女士看。

听到“不磨牙”(实际是极少量磨除)和“快速见效”,张女士(化名)眼睛都亮了:“就选微创贴面!”
微创瓷贴面治疗流程详解
基于张女士的核心诉求,我们对上颌11、21号牙进行微创瓷贴面修复,“瓷贴面修复是一项精密技术,每个步骤都关乎最终效果与长期稳定。”张宇yi生强调说,全过程分为七步:
1、数字化分析与美学设计
· 使用先进口腔数字扫描仪获取牙齿三维模型;
· 结合患者面型、笑容线、肤色、唇色及邻牙条件,进行数字化微笑设计(DSD),模拟修复后效果;
· 制作诊断蜡型规划贴面形态、大小及关闭缝隙的程度。

2、效果预览(Mock-up技术)
根据临时树脂材料制作模拟修复体(Mock-up),先让张女士即时预览设计效果,确保患者对预期效果完全满意后再进行牙体预备,避免沟通误差。

3、精准牙体预备
使用精细金刚砂车针对11、21号牙进行预备,严格控制磨除量仅0.3-0.5mm(约一张A4纸厚度),局限于牙釉质层保护牙体健康。

4、比色与信息传递
在自然光环境下,使用专业比色板,结合DSD设计、邻牙颜色及患者肤色,选定贴面色号,追求自然和谐的“仿生美学”。

5、高精度贴面制作
由资深技师采用高品质瓷块,通过计算机辅助设计/制造(CAD/CAM)或传统堆塑烧结工艺制作超薄瓷贴面,精细刻画牙釉质纹理,力求与天然牙无异。

6、试戴、粘接与精细调整
贴面回置后,进行口内试戴,严格检查边缘密合度(探针无法探入)、颜色匹配度、形态协调性及咬合关系;

· 张女士确认满意后,使用高强度、半透明树脂水门汀进行粘接;
· 最终高度抛光,使贴面表面光洁如天然牙釉质。


结束那天,张女士对着镜子看了足足五分钟。她惊喜地说:“完全不硌,像自己长出来的一样!”,3个月后我们再次随访发现,贴面完好无损,边缘封闭良好,牙龈健康没问题。
张女士反馈说:“现在开会谈判笑容更自信了,这效果远超预期。”!